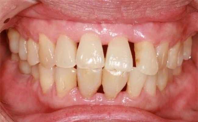
Nghiên cứu từ ĐH Tufts ở Mỹ cho thấy những người tham gia bị bệnh mất răng, một dấu hiệu viêm nha chu nghiêm trọng, bị tăng 80% nguy cơ phát triển ung thư đại tràng.
Trong số những người không hút thuốc lá, nguy cơ phát triển bệnh ung thư phổi và ung thư đại trực tràng là cao gấp hai lần ở những người bị viêm nha chu nghiêm trọng.
Một nghiên cứu khác, được công bố trên Tạp chí Ung thư Anh, cho thấy vi khuẩn Treponema denticola (Td) gây viêm nha chu cũng đóng vai trò quan trọng trong sự xuất hiện của ung thư tuyến tụy.

Nghiên cứu của các nhà nghiên cứu từ Đại học Helsinki đã chứng minh rằng vi khuẩn có thể lây từ miệng sang các bộ phận khác của cơ thể và gây ra khối u.
Bệnh viêm nha chu cũng liên quan đến tử vong do ung thư tuyến tụy, đây là kết quả được chứng minh trong một nghiên cứu khác bao gồm khoảng 70.000 người Phần Lan và được công bố trên Tạp chí Quốc tế về Ung thư.
Tình trạng viêm hệ thống mức độ thấp liên quan đến viêm nha chu tạo điều kiện thuận lợi cho lây lan của vi khuẩn đường miệng và các thành phần độc hại tới các bộ phận khác của cơ thể.
Các nhà nghiên cứu lưu ý rằng việc phòng ngừa và chẩn đoán sớm bệnh viêm nha chu là rất quan trọng không chỉ đối với sức khoẻ răng miệng của bệnh nhân mà đối với sức khỏe tổng thể của họ.
Theo Trí thức trẻ