Mới đây đội ngũ bác sĩ tại trường đại học Iqbal Medical College đã tiếp nhận điều trị một trường hợp vô cùng đặc biệt cho một bệnh nhân nữ giấu tên sống tại New York.
Được biết, đây là một phụ nữ 37 tuổi, chị nhập viện trong tình trạng nguy hiểm với nhiều triệu chứng như đau dạ dày dữ dội, ăn không ngon và nôn tháo mỗi khi ăn hoặc uống.
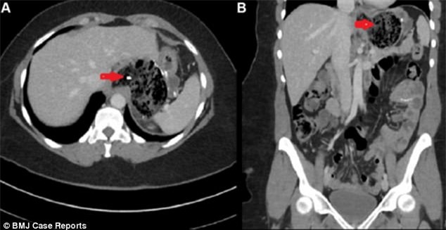
Sau khi tiến hành siêu âm vùng bụng, các bác sĩ đã vô cùng bàng hoàng khi phát hiện ra trong dạ dày của người bệnh là một khối dị vật khổng lồ gồm những tóc và tóc, có cả thức ăn trộn lẫn trong đó.
Qua thăm khám, các bác sĩ đã chẩn đoán, người phụ nữ bị mắc một hội chứng có tên y khoa là Rapunzel, một trong những hội chứng rối loạn tâm lý khiến người mắc phải sẽ có một thói quen khó bỏ, thậm chí có thể coi là nghiện, đó là tự ăn tóc của mình.
Nhận thức được tầm quan trọng và tính nguy cấp của vấn đề, các bác sĩ tại trường Iqbal đã lập tức tiến hành phẫu thuật cho bệnh nhân. Tuy nhiên cuộc phẫu thuật có vẻ không được suôn sẻ, những nỗ lực đầu tiên để lấy khối tóc trong dạ dày của người phụ nữ đã không thành công, bệnh nhân phải cần thêm ống thở để hô hấp.
Thế nhưng, cả đội đã không bỏ cuộc, họ đã bắt đầu lại lần thứ hai và những cố gắng của họ đã được đền đáp, "nguyên lý bó đũa" đã giúp họ thành công.
Trong khối tóc được lấy ra khỏi dạ dày của bệnh nhân, các bác sĩ còn phát hiện ra một chiếc cặp tóc.
"Chúng tôi đã chia nhỏ khối tóc thành những phần nhỏ và lần lượt lấy chúng ra, mọi thứ đã kết thúc tốt đẹp", bác sĩ Forest Hills, người đã thực hiện phẫu thuật cho bệnh nhân 37 tuổi này cho biết.
Điều đặc biệt, trong khối tóc được lấy ra khỏi dạ dày của bệnh nhân, các bác sĩ còn phát hiện ra một chiếc cặp tóc, "vật thể lạ" này đã khiến quá trình phẫu thuật thêm khó khăn.
Hơn nữa, đây không phải là lần đầu người phụ nữ đến từ New York này phải tiến hành phẫu thuật để lấy khối dị vật ra khỏi dạ dày. Được biết, 10 năm trước, cô cũng đã được đưa đến bệnh viện để cấp cứu lấy khối tóc tương tự ra khỏi bụng, cô thừa nhận rằng dù nhận thức được mức độ nguy hiểm của hội chứng này nhưng cô vẫn không thể từ bỏ thói quen của mình và tiếp tục việc "ăn tóc" một thời gian trở lại đây.
Rapunzel là một hội trứng rối loạn tâm lý hiếm gặp, nó khiến người bệnh mắc phải có một thói quen đó là ăn tóc của mình. Tích tụ lâu dài, những sợi tóc ăn vào sẽ không thể tiêu hóa được và tạo thành một khối dị vật. Khi dị vật này càng lớn, chúng sẽ gây ra buồn nôn và đau bụng.
Thông thường đa số những người mắc Rapunzel sẽ không thấy được triệu trứng của mình, điều này có thể gây nguy hiểm đến tính mạng vì nó có thể gây rách ruột và dạ dày. Chỉ 120 ca mắc Rapunzel được báo cáo từ trước tới nay, hầu hết là ở trẻ em và phụ nữ.
Theo Tri Thức Trẻ


