Viêm môi ánh sáng đúng như cái tên của nó là ảnh hưởng của ánh sáng mặt trời đến môi gây tổn thương đến lớp mô ngoài. Tình trạng này không phải là một mối lo ngại nghiêm trọng về sức khỏe, nhưng nó làm tăng nguy cơ ung thư da.
Khoảng 90% trường hợp viêm môi ánh sáng (actinic cheilitis) là ở môi dưới.
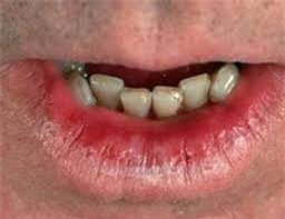
Các dấu hiệu thường gặp của viêm môi ánh sáng bao gồm: Khô toàn bộ da môi dai dẳng, có mảng vảy hoặc vết loét tổn thương, có các lớp khô vảy bong trên môi, bờ phân chia giữa môi dưới và vùng da xung quanh có xu hướng mất hoặc không rõ rệt, có tình trạng viêm, đau hoặc nứt nẻ môi rộng khắp môi, nứt sâu, lâu ngày.
Nguyên nhân
Viêm môi ánh sáng do thường xuyên tiếp xúc với ánh sáng mặt trời mạnh hoặc thời tiết cực đoan.
Nam giới trưởng thành có nhiều khả năng bị mắc bệnh hơn. Bệnh còn có tên là bệnh môi của thủy thủ, môi của nông dân, do đây là những nghề hay bị phơi nhiễm ánh sáng mặt trời nhất nên tỷ lệ mắc bệnh này nhiều nhất.

Do biểu mô môi ít sắc tố hơn và mỏng hơn lớp ngoài của da mặt làm cho nó dễ bị tổn thương nhiều hơn bởi tia cực tím của mặt trời.
Tiếp xúc quá nhiều hoặc lâu dài với tia UV-B sóng ngắn, một loại tia cực tím phát hiện trong ánh sáng mặt trời, có thể làm tổn thương DNA tế bào môi và gây ra những bất thường.
Một số yếu tố nguy cơ đối với tình trạng này là:
Phơi nắng: Môi thường xuyên bị phơi nắng. Phơi nắng nhiều tới mức làm cháy các tế bào da và làm tăng khả năng đột biến tế bào.
Giới tính: Nam giới mắc bệnh này cao gấp ba lần so với nữ giới.
Da trắng: Phần lớn những người bị viêm da ánh sáng đều có làn da trắng hoặc sáng. Tỉ lệ mắc rất cao ở những người bạch tạng hoặc những người có rối loạn sắc tố da.
Môi trường: Sống và làm việc trong môi trường nhiệt đới, cận nhiệt đới hoặc sa mạc tăng cường tiếp xúc với tia cực tím.
Thủy thủ và nghề đi biển thường xuyên phơi nhiễm với ánh mặt trời dễ bị viêm môi ánh sáng.
Các công việc liên quan đến việc ở ngoài trời: Việc làm hoặc sở thích đòi hỏi phải ở ngoài trời dưới ánh mặt trời làm tăng nguy cơ bị phơi nắng.
Các nhân viên cứu hộ, công nhân xây dựng, người đi bộ đường dài, vận động viên chạy marathon, nông dân và thủy thủ có thể có nguy cơ phát triển viêm môi ánh sáng cao hơn.
Tuổi: Thông thường kết quả của tổn thương da mạn tính là lâu dài, điều kiện chủ yếu ảnh hưởng đến người lớn.
Hút thuốc: Hút thuốc lá hoặc nhai trầu có thể làm yếu mô môi và làm cho nó dễ bị tổn thương do ánh nắng mặt trời.
Uống nhiều rượu. Nhiễm HPV, virut gây ra mụn cóc.
Các rối loạn về miễn dịch hoặc thuốc ức chế miễn dịch: Thuốc làm suy yếu và ức chế hệ miễn dịch thường làm tăng nguy cơ tổn thương do ánh nắng mặt trời.
Biến chứng có thể xảy ra
Ngoài các triệu chứng và thay đổi hình dạng thể chất, viêm môi ánh sáng cũng làm tăng nguy cơ phát triển các tình trạng sức khỏe nghiêm trọng hơn. Viêm môi ánh sáng được xem là tiền ung thư da.
Ước tính từ 10-20% trường hợp viêm môi ánh sáng dẫn đến ung thư ác tính trong vòng 20 năm sau chẩn đoán. Ngoài ra, 15-35% là ung thư do viêm môi ánh sáng lây lan sang các mô khác.
Các biến chứng tiềm ẩn của viêm môi ánh sáng bao gồm: ung thư biểu mô tế bào vảy xâm lấn, ung thư tế bào vảy khu trú hoặc bệnh Bowen.
Điều trị, phòng ngừa thế nào?
Hầu hết các trường hợp viêm môi ánh sáng đều có thể được điều trị bằng chất làm ẩm, uống nhiều nước và tránh ánh nắng mặt trời. Hạn chế tiếp xúc với ánh nắng mặt trời thường là phần quan trọng nhất của điều trị.
Đối với trường hợp cấp tính, các vết thương có thể lành lại sau khi tuân thủ điều trị trong vài ngày hoặc vài tuần.
Bờ môi mất nét trong viêm môi ánh sáng
Đối với các trường hợp mạn tính, có thể mất vài tháng để các triệu chứng biến mất. Thuốc dùng điều trị viêm môi ánh sáng cần được kê bởi bác sĩ da liễu sau khi thăm khám.
Trong trường hợp nặng, các mô bị ảnh hưởng có thể cần được điều trị bằng laser, electrocautery (dòng điện được sử dụng để loại bỏ các miếng da vảy bất thường).
Tránh phơi nắng quá nhiều hoặc lâu mà không được bảo vệ là cách tốt nhất để ngăn ngừa viêm môi ánh sáng.
Dùng kem chống nắng cho mặt, chớ quên bôi cho môi.
Sử dụng son dưỡng môi hoặc kem dưỡng ẩm có chỉ số chống nắng, thường xuyên cả ngày, đặc biệt là khi dưới ánh nắng mặt trời. Đội mũ rộng vành, dùng khẩu trang khi ra ngoài trời nắng.
Ngoài ra để giảm nguy cơ phát triển viêm môi ánh sáng và ung thư bao gồm: Ngừng hút thuốc lá, tránh uống rượu quá mức, tránh những loại kem, sữa rửa mặt và thuốc làm mỏng da.
Thận trọng chống ánh nắng mặt trời khi dùng thuốc ức chế miễn dịch hoặc chống viêm.
Lời khuyên của thầy thuốc
Bất cứ ai có triệu chứng viêm môi ánh sáng đều nên đi khám để điều trị, phòng ngừa biến chứng. Viêm môi ánh sáng thường là tương đối vô hại, nhưng chớ chủ quan.
Khi thấy môi khô thường xuyên, có một vết loét trên môi mãi không lành, liên tục bong vảy da khô, đau nhức quá mức, có thể là dấu hiệu cảnh báo của ung thư da, cần lưu ý.
Theo Trí thức trẻ

