Đa số người nhiễm Covid-19 chỉ có triệu chứng nhẹ. Tổ chức Y tế Thế giới cho biết khoảng 80% số bệnh nhân hồi phục mà không cần điều trị chuyên khoa. Nhưng khoảng 1 trên 6 người ốm nặng và “khó thở”.
Giáo sư John Wilson, chủ tịch của Đại học Bác sĩ Hoàng gia Australasian và là bác sĩ chuyên khoa hô hấp, nói với Guardian Australia rằng người nhiễm Covid-19 trở thành ca bệnh nặng hầu hết là do viêm phổi.

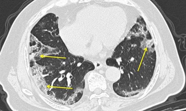
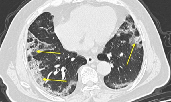
Chụp CT từ một bệnh nhân Covid-19. Các mảng mờ ở rìa ngoài của phổi (mũi tên) là phần phổi bị viêm. Ảnh: Bệnh viện Mount Sinai/AP.
6% ca Covid-19 nhập viện có triệu chứng nặng
Ông Wilson nói người nhiễm Covid-19 nhìn chung có thể chia ra làm bốn nhóm.
Ít nghiêm trọng nhất là những ca nhiễm virus nhưng “dưới mức có triệu chứng lâm sàng”.
Kế đến là những ca nhiễm ở phần trên của đường hô hấp, khiến người bệnh bị sốt, ho và các triệu chứng nhẹ như đau đầu hay viêm kết mạc. Những người này vẫn có thể lây nhiễm virus mà không biết.
Nhóm tiếp theo, là nhóm lớn nhất, gồm những người có các triệu chứng giống cảm cúm khiến họ không thể đi làm, và nhiều khả năng sẽ tới viện khám.
Nhóm còn lại sẽ có triệu chứng nặng, bao gồm viêm phổi.
“Ở Vũ Hán, trong số những người dương tính và đến khám, 6% có triệu chứng nặng”, ông Wilson nói với Guardian.

Phản ứng miễn dịch của các bệnh nhân đối với Covid-19 đang được nghiên cứu kỹ lưỡng. Ảnh: AFP.
Viêm phổi khiến ca nhiễm Covid-19 tử vong
Khi người nhiễm Covid-19 bị ho, sốt, đó là kết quả của nhiễm trùng các nhánh đường hô hấp. Niêm mạc của đường hô hấp bị tổn thương, gây viêm. Điều đó khiến nơ-ron thần kinh ở niêm mạc đường thở dễ bị kích ứng. Chỉ một hạt bụi cũng có thể khiến người bệnh ho.
“Nhưng nếu tình trạng tệ đi, sự viêm nhiễm đi sâu hơn, đi qua niêm mạc đường dẫn khí, vào đến phế nang là những điểm trao đổi khí ở cuối đường dẫn khí”, ông Wilson nói.
“Một khi những điểm đó bị nhiễm virus, chúng phản ứng bằng cách tiết ra các chất dịch... ở dưới cùng của phổi”, ông nói thêm.
Các chất dịch khiến các túi khí bị viêm, dẫn đến tình trạng viêm phổi. “Đó thường là nguyên nhân gây tử vong khi viêm phổi trở nên trầm trọng”.

Một phòng lab đang nghiên cứu vắcxin phòng Covid-19 ở Meriden, bang Connecticut, Mỹ. Ảnh: AP.
Chưa có cách ngăn viêm phổi ở bệnh nhân Covid-19
Giáo sư Christine Jenkins, chủ tịch Tổ chức Phổi Australia và là bác sĩ hô hấp hàng đầu, nói với Guardian Australia: “Thật không may, hiện chúng ta chưa có cách nào để ngăn hiện tượng viêm phổi”, dù nhiều loại thuốc đang được thử nghiệm.
“Hiện giờ chưa có pháp đồ điều trị rõ ràng nào ngoài điều trị hỗ trợ, chính là cách điều trị các bệnh nhân chăm sóc đặc biệt... chúng tôi hỗ trợ thở máy, duy trì mức oxy cao cho đến khi phổi của người bệnh có thể hoạt động bình thường trở lại và họ hồi phục”, bà Jenkins nói.
Giáo sư Wilson nói bệnh nhân bị viêm phổi virus cũng có nguy cơ bị viêm nhiễm thứ cấp, do vậy họ cũng sẽ được điều trị bằng thuốc kháng virus và kháng sinh.
“Trong một số trường hợp, như vậy cũng không đủ”, ông nói về dịch bệnh Covid-19 hiện tại. “Chứng viêm phổi không giảm và bệnh nhân không qua khỏi”.

Nhân viên đang chỉnh mặt nạ bảo hộ trước khi bước vào một viện dưỡng lão ở Kirkland, bang Washington ngày 11/3, nơi có đợt bùng phát Covid-19. Ảnh: AP.
Viêm phổi do Covid-19 ảnh hưởng toàn bộ phổi
Giáo sư Jenkins cho biết viêm phổi do SARS-CoV-2 gây ra khác biệt với các trường hợp viêm phổi khác thường buộc người bệnh phải nhập viện.
“Hầu hết loại viêm phổi mà chúng tôi biết và tiếp nhận người bệnh vào viện là do vi khuẩn, và có thể điều trị bằng kháng sinh”, bà nói.
Ông Wilson nói có bằng chứng cho thấy viêm phổi do Covid-19 có thể đặc biệt nghiêm trọng. Viêm phổi ở các ca nhiễm Covid-19 thường ảnh hưởng tới toàn bộ phổi, thay vì chỉ những phần nhỏ của phổi.
Ông nói: “Một khi chúng ta có triệu chứng viêm phổi, và nếu có liên quan tới các phế nang, phản ứng của cơ thể đầu tiên sẽ là cố gắng tiêu diệt virus, hạn chế sự sao chép”.
Nhưng ông Wilson cho biết cơ chế phản ứng ban đầu đó có thể bị suy yếu ở một số nhóm bệnh nhân, bao gồm bệnh nhân có bệnh tim, bệnh phổi, tiểu đường, hay ở những bệnh nhân cao tuổi.
Bà Jenkins nói thông thường, những người có nguy cơ bị viêm phổi là người trên 65, người có bệnh nền như tiểu đường, ung thư, bệnh mạn tính ảnh hưởng tới phổi, tim, thận, gan, những người hút thuốc, hay trẻ dưới 12 tháng tuổi.
“Tuổi là yếu tố dự báo chính đối với nguy cơ tử vong vì viêm phổi. Viêm phổi luôn trầm trọng đối với người cao tuổi, và thực tế nó từng là nguyên nhân chính gây tử vong ở người cao tuổi. Nhưng giờ đây chúng ta có nhiều cách điều trị viêm phổi”, bà nói.
“Nguy cơ viêm phổi tăng theo tuổi, bất kể bạn có khỏe hay hoạt động thể chất nhiều. Đó là vì hệ miễn dịch suy yếu một cách tự nhiên theo tuổi, khiến có thể khó chống lại nhiễm trùng và bệnh tật hơn”.
Theo Zing
