>> Mổ cứu thai nhi do sản phụ bị bắn xuyên cổ
Liên quan đến vụ việc một thai phụ bị bắn khi đang sinh sống tại Lào, chiều 3/9, phóng viên đã có mặt tại Bệnh viện Việt Đức để ghi nhận tình trạng sức khỏe của bệnh nhân này.
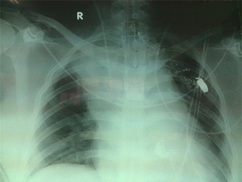
Theo ghi nhận của phóng viên tại khoa Hồi sức Tích cực (Bệnh viện Việt Đức), bệnh nhân hiện tại vẫn đang trong tình trạng bất tỉnh, thở máy và viên đạn vẫn chưa được lấy ra.

Các bác sĩ khoa Hồi sức tích cực cho biết, bệnh nhân là một phụ nữ tên Nguyễn Thị D. (34 tuổi, quê Thanh Hóa), chuyển từ Bệnh viện Đa khoa Hữu Nghị Nghệ An ra Bệnh viện Việt Đức vào đêm ngày 31/8 trong tình trạng vẫn còn nhận biết được.
Theo hồ sơ bệnh án từ Bệnh viện Đa khoa Hữu nghị Nghệ An, bệnh nhân D. được chuyển về từ Bệnh viện Viên Chăn (Lào) trong tình trạng chấn thương do súng bắn và đang có thai 28 tuần tuổi. Khi chuyển về Bệnh viện tỉnh Nghệ An, bệnh nhân đã được các bác sĩ mổ lấy thai nhi (thai nhi được 2kg), sau đó chuyển bệnh nhân lên Bệnh viện Việt Đức (Hà Nội) để tiếp tục điều trị.
Theo các bác sĩ khoa Hồi sức tích cực, bệnh nhân nhập viện Việt Đức trong tình trạng có vết thương ở nền cổ và ngực trái do bị đạn bắn. Bệnh nhân mới được mổ lấy thai nhi ở bệnh viện tuyến dưới.
Ngay sau khi tiếp nhận bệnh nhân, các bác sĩ Bệnh viện Việt Đức đã nhanh chóng tiến hành hồi sức bệnh nhân, hiện tại bệnh nhân đang bị sốc nhiễm trùng nặng, phải nằm thở máy cố định một chỗ nên chưa thể phẫu thuật lấy viên đạn ra được.
Ngoài sốc nhiễm trùng, bệnh nhân còn bị tổn thương phổi nặng, phải điều trị nhằm bảo vệ phổi. Đồng thời, các bác sĩ đang nghi ngờ vết thương của bệnh nhân ảnh hưởng đến dây thần kinh. Bởi, hiện tại hai chân của bệnh nhân không thể cử động được.

Tiên lượng về tình hình sức khỏe bệnh nhân, các bác sĩ cho biết, hiện tại vẫn chưa thể nói trước được điều gì bởi bệnh nhân vẫn đang trong giai đoạn nguy kịch. Cũng theo thông tin từ các bác sĩ, con của bệnh nhân sau khi mổ và nuôi trong lồng kính được hai ngày cũng đã tử vong do đẻ thiếu tháng.
Trước đó, chị Nguyễn Thị D. (người Việt ở Lào), đang mang thai gần 30 tuần, bị một tên cướp lao vào nhà ở thủ đô Vientiane giật dây chuyền chị đang đeo rồi nổ súng bắn vào cổ.
Ngay lập tức, chị D. được đưa vào một BV ở Lào. Sau 2 ngày nằm điều trị tại đây, chị D. sốt cao và được gia đình đưa về BV Hữu nghị đa khoa Việt Nam - Ba Lan (Nghệ An). Ngày 30/8, chị D. được phẫu thuật mổ lấy thai là một bé gái 30 tuần tuổi, cân nặng 2 kg.
Ngay sau khi phẫu thuật lấy thai thành công, bệnh nhân được chuyển tiếp đến BV Việt Đức điều trị.