Vụ việc hy hữu này xảy ra tại Trung Quốc và được báo chí nước này đưa tin vào hôm 24/8. Người vợ trẻ 26 tuổi có biệt danh là Xiao Qing đã nhập viện cấp cứu vì cơn đau bụng dữ dội sau cuộc ân ái mặn nồng với chồng.
=
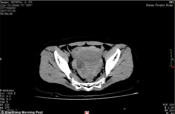
Hình ảnh scan của Xiao Qing cho thấy xuất huyết máu ồ ạt trong vùng khoang xương chậu.
Các bác sỹ cho biết nang buồng trứng bị vỡ khiến người vợ mất gần 40% lượng máu trong cơ thể. Nhưng may mắn cô đã qua cơn nguy kịch và đang điều trị tại bệnh viện.
Theo Xiaoxiang Morning Post, Xiao Qing không gặp chồng trong 6 tháng vì hai người làm việc ở hai thành phố khác nhau. Hôm 19/8, đi đến thành phố Trường Sa, tỉnh Hồ Nam, nơi chồng cô làm việc, hai người đã được gặp nhau.
Tuy nhiên, sau những phút đoàn tụ lãng mạn, bi kịch đã xảy ra khi Xiao Qing bị đau bụng dữ dội và phải cấp cứu của Bệnh viện Nhân dân tỉnh Hồ Nam.

Sau những phút đoàn tụ lãng mạn, bi kịch đã xảy ra khi Xiao Qing bị đau bụng dữ dội và phải cấp cứu
Bác sĩ Huang Mei nói với phóng viên rằng Xiao Qing không có bầu nhưng có một lượng chất dịch và máu lớn trong vùng bụng và vùng chậu theo kết quả chụp CT.
Bác sỹ Mei đã lập tức tiến hành nội soi bụng chẩn đoán cho Xiao, kết quả cho thấy Xiao có máu trong khoang phúc mạc.
"Có khoảng 1.500ml máu bị mất từ phần bụng của bệnh nhân, chiếm khoảng 40% lượng máu của cô. Nếu tới bệnh viện trễ hơn, tính mạng của bệnh nhân có thể đã bị đe dọa", bác sỹ nhấn mạnh.
Các bác sĩ cũng tìm thấy một nang buồng trứng đường kính 3 cm bị vỡ bên buồng trứng phải của Xiao Qing. Đây chỉ là một u nang lành. Cô đã trải qua phẫu thuật cắt bỏ u nang.
Bác sĩ Huang giải thích rằng có hai nguyên nhân khiến u nang buồng trứng bị vỡ: Có thể xuất phát từ một phần của chu kỳ kinh nguyệt của phụ nữ do huyết áp cao; hoặc có thể do các hoạt động tình dục quá mạnh.