Mẹ bỏ đi từ nhỏ trong khi cha mắc bệnh tâm thần, bé trai mới 13 tuổi đã trở thành lao động chính trong gia đình. Thế nhưng chỉ vì trượt té trong lúc làm việc, cây sắt của máy cắt lúa đã đâm xuyên từ bụng, thấu ngực khiến nạn nhân nguy kịch.
Trường hợp thương tâm này được đại diện Bệnh viện (BV) Nhi đồng Thành phố (TP.HCM) cho biết trong ngày 6/3.
Nạn nhân là bé Nguyễn Văn Uôn (13 tuổi, ngụ Giồng Riềng, Kiên Giang) bị tai nạn thương tâm khi đang tất bật mưu sinh nuôi cả gia đình.

Bé Nguyễn Văn Uôn.
Được biết, mẹ bé Uôn đã bỏ nhà đi từ lúc em còn nằm nôi. Ông bà nội bé đã già yếu không còn sức lao động, trong khi ba mắc bệnh tâm thần chỉ có thể đi làm thuê lặt vặt với thu nhập ít ỏi, bữa có bữa không.
Với hoàn cảnh gia đinh rất khó khăn, Uôn đã phải nghỉ học đi phụ cha làm thuê và dần trở thành lao động chính.
Sáng ngày nhập viện, trong khi đang làm việc ở cánh đồng thì bé bất ngờ trượt té. Lúc này cây sắt của máy cắt lúa đâm thấu vào thành bụng, xuyên từ bụng thấu ngực nạn nhân gây nên tai nạn vô cùng kinh hoàng.

Tai nạn kinh hoàng khiến máu tràn đầy ổ bụng bệnh nhi.
Ngay lập tức bé được đưa đến BV địa phương rồi chuyển lên BV đa khoa Cần Thơ, rút dị vật nhọn, băng ép vết thương và đưa khẩn cấp lên BV Nhi Đồng Thành Phố.
Tại đây sau khi kiểm tra, kíp trực nhận thấy đây là một ca trầm trọng hy hữu và vô cùng thương tâm, do chiều dài cọc xuyên từ bụng tới ngực bên phải được ước tính 10-20cm.

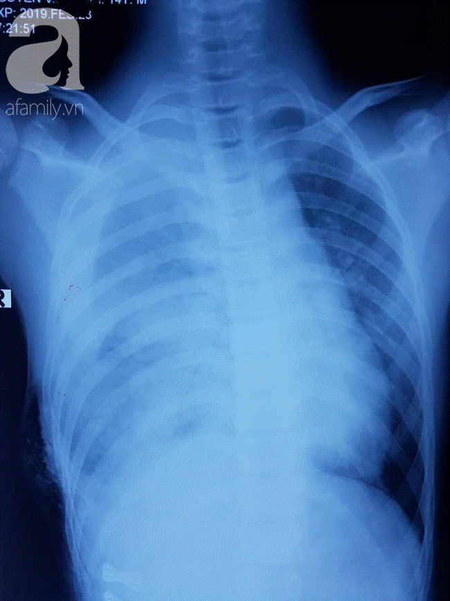
Ảnh chụp X-quang cho thấy bé bị xẹp một bên phổi.
Bệnh nhân nhập viện trong tình trạng doạ sốc mất máu, đa chấn thương nặng, mạch nhanh, huyết áp xu hướng tụt, tràn máu màng phổi nhiều làm xẹp hết 1 bên phổi gây suy hô hấp nặng nề
Bệnh nhi được đặt ống giúp thở và bật báo động đỏ toàn viện vì tình trạng nguy kịch phải được theo dõi đặc biệt, hồi sức tích cực, hội chẩn liên nhiều chuyên khoa.

Máu hút ra đến 1.500 ml.
Kết quả xét nghiệm bằng hình ảnh học cho thấy bệnh nhân bị đa vết thương, rách cơ hoành, vỡ gan, tràn máu phổi phải lượng nhiều (1.500 ml).

Ca phẫu thuật kéo dài hơn 5 tiếng.
Ca phẫu thuật cấp cứu được triển khai với các bác sĩ giàu kinh nghiệm cùng kíp mổ hơn 10 y bác sĩ.
Ekip đã khẩn trương vừa hồi sức tích cực vừa tiến hành phẫu thuật, xử lý vết thương xuyên rách gan, tiến hành lau rửa sạch và khâu đóng ổ bụng.

Vết thương thấu ngực bụng, thủng cơ hoành, thủng gan, tràn máu màng phổi được xử lý.
Ekip cũng khâu lại bết thương thấu ngực bụng xuyên thủng rách cơ hoành và hút tại chỗ khoang màng phổi hơn 1.500ml máu, sau đó dẫn lưu màng phổi phải.
Ca phẫu thuật kéo dài 5 giờ 30 phút đã giành lại sự sống ngoạn mục cho bệnh nhân.

Ca phẫu thuật cứu mạng bé trai nhưng gia đình bệnh nhi hiện đang gặp rất nhiều khó khăn.
Hiện tại bệnh nhi đã tỉnh táo, cai được máy thở, thuốc vận mạch liều thấp, rút được ống dẫn lưu máu màng phổi, dưới gan. Sức khoẻ bé Uôn dần hồi phục, tuy nhiên viện phí là thứ gia đình không thể kham nổi.
Ông bà già yếu, cha không còn tỉnh táo, giờ đây bé trai nghèo đang rất cần sự chung tay giúp đỡ từ cộng đồng.
|
Độc giả muốn ủng hộ hoàn cảnh bé Nguyễn Văn Uôn vui lòng gửi về: Chủ tài khoản: Bệnh Viện Nhi Đồng Thành Phố STK: 060011666888 Ngân hàng Sacombank - Chi nhánh Chợ Lớn Hoặc liên hệ trực tiếp Phòng Công Tác Xã Hội - Bệnh viện Nhi Đồng Thành Phố, số 15 Võ Trần Chí, xã Tân Kiên, huyện Bình Chánh, Tp.HCM SĐT: 0165 4883450 XIn chân thành cảm ơn. |
Theo Báo dân sinh
