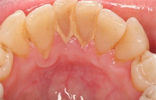
Nguyên nhân gây cao răng
Không chải răng thường xuyên

Chẳng ai biết là bạn lười chải răng nhưng mảng bám cao răng sẽ “tố cáo” bạn. Đánh răng nhẹ nhàng hai lần một ngày bằng cách sử dụng kem đánh răng có chứa flo sẽ giúp hạn chế bớt các mảng bám trên bề mặt răng.
Đồ ngọt
Ăn kẹo hoặc thức uống có đường sẽ khiến các mảng bám hình thành nhanh hơn, tạo điều kiện thuận lợi cho vi khuẩn hoạt động gây nhiều bệnh tật về răng miệng.
Không làm sạch răng miệng
Ngoài cách chải răng với kem đánh răng có chứa chất flo, một số loại thực phẩm cũng đóng một vai trò quan trọng trong việc giảm phát sinh mảng bám như ăn những loại quả cứng như ổi, táo, các loại rau giòn như cà rốt, dưa chuột.
Ngoài ra, một chế độ ăn uống với các loại trái cây và rau quả, ít thực phẩm chế biến giúp bảo vệ bạn khỏi bệnh béo phì, bệnh tim và ung thư.
Cách lấy cao răng
Dùng dấm và muối

Nguyên liệu bao gồm 2 thìa dấm , 1/2 thìa muối , 1 nửa bát con nước ấm.
Cách làm như sau: Cho dấm, muối vào bát nước ấm và hòa tan chúng lại với nhau tạo thành một dung dịch dùng để ngậm và xúc miệng.
Những thành phần trong dung dịch súc miệng này có công dụng tuyệt vời trong việc loại bỏ cao răng, không những thế nước súc miệng lấy cao răng này còn giúp bạn loại bỏ vi khuẩn có hại trong miệng, sát trùng và tránh viêm lợi, bảo vệ sức khỏe răng miệng hiệu quả.
Dùng vỏ chanh
Vỏ chanh: Vỏ chanh tươi + một thìa cà phê bột nở, một thìa muối biển.
Thái nhỏ vỏ chanh, trộn đều với bột nở và muối biển đã chuẩn bị. Để tạo độ đặc sệt vừa phải cho hỗn hợp, cho thêm một thìa cà phê nước sôi để nguội và trộn đều. Có thể sử dụng hỗn hợp này thay cho kem đánh răng, hoặc dùng sau khi vệ sinh răng miệng bằng kem bình thường.
theo khỏe&đẹp