Có tiền sử hút thuốc lá nhiều năm, gần đây nam thanh niên 34 tuổi, quê Phú Thọ khó thở. Anh được gia đình đưa vào viện trong tình trạng đau ngực dữ dội.
Theo bác sĩ Nguyễn Việt Anh, Khoa Tim mạch, Bệnh viện Đa khoa Hùng Vương (tỉnh Phú Thọ), ngay sau tiếp nhận, nhận thấy dấu hiệu cảnh báo nguy cơ nhồi máu cơ tim cấp, huyết áp tụt, bệnh nhân sắp đi vào sốc, người bệnh được cho điện tim và đưa vào phòng can thiệp.
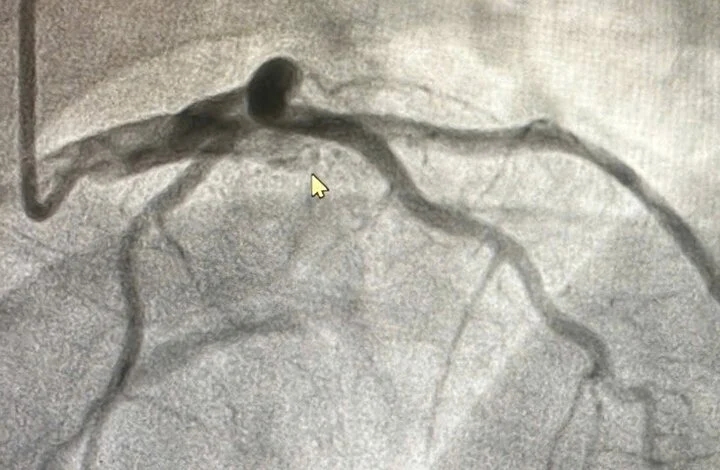
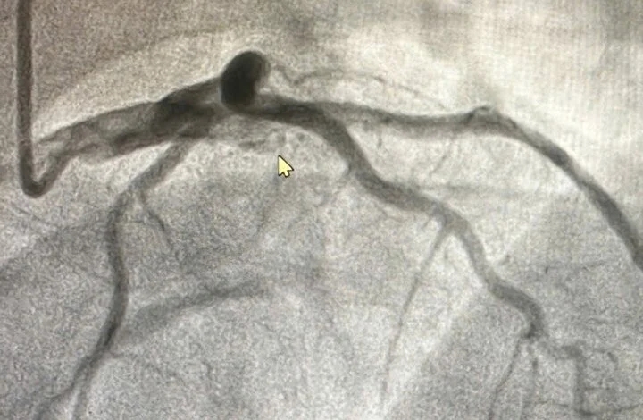
Khi chụp mạch vành, bác sĩ phát hiện tắc cụt hoàn toàn động mạch liên thất trước từ đoạn đầu, diện nhồi máu rất lớn, lý giải phần nào cho việc bệnh nhân đi vào sốc rất sớm.
"Sau 45 phút “căng não” xử lý, mạch vành tắc được tái thông, bệnh nhân tạm thời vượt qua lằn ranh sinh tử", bác sĩ Việt Anh nói.

Hình ảnh tắc cụt hoàn toàn động mạch liên thất trước từ đoạn đầu, diện nhồi máu rất lớn. (Ảnh: BVCC)
Trước đó không lâu, ngày 21/8, tại Bệnh viện Đa khoa tỉnh Tuyên Quang cũng tiếp nhận một trường hợp người trẻ bị nhồi máu cơ tim cấp. Đó là nam thanh niên 31 tuổi, trú tại huyện Chiêm Hóa, tỉnh Tuyên Quang. 23h đêm, người này bất ngờ đau tức dữ dội vùng ngực trái, phải đưa đến bệnh viện cấp cứu.
Ngay khi tiếp nhận bệnh nhân, các y, bác sĩ hội chẩn và cấp cứu. Hình ảnh chụp mạch vành của bệnh nhân phát hiện tổn thương nặng ở cả 3 thân động mạch vành. Trong đó 1 nhánh mạch vành trái LAD bị tắc hoàn toàn, 2 động mạch khác hẹp nặng 80-90%. Các bác sĩ nong bóng và đặt 1 stent tái thông mạch vành. Sau hơn 30 phút can thiệp tim mạch, người bệnh qua cơn nguy kịch.
Tháng 7/2024, một nam thanh niên 30 tuổi (ở Hà Nội) uống khoảng 500ml bia rượu cùng bạn bè. Về nhà khoảng 30 phút, anh đau co thắt lồng ngực, được đưa đến Bệnh viện Đa khoa Hồng Ngọc (Hà Nội) vào giờ thứ 2 của cơn nhồi máu cơ tim.
Sau khi điện tim, bác sĩ đang chuẩn bị giải thích tình trạng sức khoẻ của bệnh nhân với gia đình thì anh bất ngờ ngừng tim, rung thất. Bác sĩ sốc điện kịp thời, sau đó xử trí các thuốc cấp cứu và chuyển lên phòng mổ. Sau thông mạch, bệnh nhân tỉnh táo hoàn toàn, sức khoẻ ổn định và ra viện sau 2 ngày.
Theo các chuyên gia, bệnh lý tim mạch đang trẻ hóa. Các nghiên cứu cũng cho thấy ngoài yếu tố nguy cơ truyền thống như huyết áp, đái tháo đường, hút thuốc lá, hiện nay ở người trẻ có thêm các yếu tố nguy cơ là căng thẳng, thức khuya, béo phì.
Bác sĩ khuyến cáo, những bệnh nhân có tiền sử mỡ máu cao, hoặc có người nhà bị mỡ máu cao (yếu tố nguy cơ mang tính chất gia đình, do ăn cùng chế độ ăn uống và sinh hoạt…) nên theo dõi sức khỏe sát sao. Họ cần uống thuốc theo đúng đơn bác sỹ đã kê, ăn nhiều rau xanh, hạn chế ăn thịt đỏ và nội tạng động vật, tập thể dục thường xuyên và lưu ý đi khám sức khỏe định kỳ từ 3-6 tháng/lần.
Nếu có dấu hiệu bất thường về sức khỏe (đặc biệt là đột nhiên xuất hiện các cơn đau tức ngực, khó thở, vã mồ hôi, buồn nôn, nôn…) cần đến các cơ sở y tế sớm để được các bác sĩ thăm khám, tư vấn điều trị.
Theo VTC news
