1. Mệt mỏi, uể oải
Sau một đêm nghỉ ngơi, cơ thể chúng ta sẽ được phục hồi năng lượng nên khi tỉnh dậy có một tinh thần sảng khoái, thoải mái. Nhưng nếu buổi sáng thức dậy mà bạn vẫn cảm thấy mệt mỏi và không ngủ được thì rất có thể là do gan của bạn đang gặp vấn đề. Hãy chú ý đến dấu hiệu này để chủ động kiểm tra gan của mình nhé!

2. Khô miệng, đắng miệng
Sau khi đánh răng và uống nước mà bạn vẫn thấy mồm miệng mình khô và đắng thì điều này có thể là do chế độ ăn không ổn nên gây ảnh hưởng đến quá trình chuyển hóa gan. Do chức năng gan suy giảm nên làm độc tố tích tụ trong cơ thể, từ đó khiến hàm lượng đạm urê và amoniac trong máu tăng lên, gây ra tình trạng khô miệng, đắng miệng vào buổi sáng.

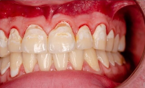
3. Chảy máu nướu răng
Tình trạng chảy máu nướu khi đánh răng vào buổi sáng có thể là do thói quen chải răng không đúng cách hoặc do các bệnh lý về răng miệng. Tuy nhiên, nếu chức năng gan bị suy giảm thì yếu tố đông máu cũng bị ảnh hưởng và dẫn đến hiện tượng rối loạn chức năng đông máu, gây chảy máu nướu.

4. Nước tiểu sẫm màu
Thường thì nước tiểu sẽ có màu vàng nhạt và rất trong, nhưng nếu thức dậy vào buổi sáng mà có hiện tượng nước tiểu sẫm màu thì bạn đừng nên bỏ qua. Đây là dấu hiệu cho thấy chức năng gan đã suy giảm vì cơ thể có quá nhiều bilirubin. Hậu quả là nước tiểu sẽ bị sẫm màu khác thường vào buổi sáng.

5. Đau vùng bụng trên bên phải
Nếu bạn bị đau vùng bụng trên bên phải sau khi ngủ dậy vào buổi sáng thì đó là cơn đau cảnh báo bệnh gan. Vì khu vực này chính là vị trí của gan nên tốt nhất bạn cần đi khám ngay khi có hiện tượng tức bụng, đau âm ỉ thường xuyên.

Theo Pháp luật & Bạn đọc
