Mỗi ngày, cơ thể chúng ta đều diễn ra quá trình trao đổi chất, đào thải những chất cặn bã không cần thiết ra khỏi cơ thể. Nhờ vậy mà cơ thể chúng ta mới luôn sạch sẽ, khỏe mạnh như vậy.
Tuy nhiên, chế độ sinh hoạt không hợp lý sẽ khiến lượng "rác" trong cơ thể vượt quá tiêu chuẩn. Nếu không dọn dẹp kịp thời, bạn hãy coi chừng bệnh tật đang tìm đến, đồng thời tuổi thọ sẽ bị ảnh hưởng.

7 dấu hiệu cho thấy nội tạng chứa quá nhiều độc tố
1. Thường xuyên bị táo bón: Ruột chứa cả "ổ rác"
Cơ thể con người có thể mất tới 1-2 ngày để tiêu hóa hết thực phẩm. Trong quá trình đó, các chất dinh dưỡng được giữ lại để nuôi sống các cơ quan nội tạng. Còn các chất cặn bã của thức ăn sẽ tạo thành phân, theo trực tràng thải ra ngoài.
Tuy nhiên, với những người có chức năng tiêu hóa bị trục trặc, các chất cặn bã sẽ không được thải ra trơn tru mà tạo thành táo bón. Táo bón gây đầy bụng, khó chịu cho đường tiêu hóa. Trong trường hợp nghiêm trọng, nó thậm chí có thể làm suy yếu chức năng của các cơ quan khác trong cơ thể và làm giảm sức đề kháng.

2. Cơ thể nhiều mỡ hơn những người khác: Nội tạng chứa "rác"
Mỡ, cholesterol, đạm, đường,… là những chất dinh dưỡng cần thiết để nuôi sống cơ thể hàng ngày, nhưng nếu nạp quá mức sẽ trở thành một loại "rác". Việc tích tụ các chất này sẽ gây tăng mỡ thừa ở nội tạng, thậm chí khiến máu bị kết dính, làm xơ cứng thành mạch, dễ gây ra các bệnh hen suyễn, rối loạn nội tiết và các bệnh tim mạch. Từ đó, có thể gây suy giảm tuổi thọ.

3. Sạm da: Chứa đầy "rác" trong gan
Gan là một cơ quan quan trọng để phân hủy rượu, thuốc và chất dinh dưỡng, nếu "rác" trong gan vượt quá tiêu chuẩn thì trước tiên sẽ gây rối loạn nội tiết và làm cho da bị sạm. Nếu những chất độc hại trong gan không được đào thải kịp thời, các bệnh viêm gan, xơ gan có thể xuất hiện.
4. Nổi mụn trứng cá trên da: Da chứa độc tố
Mụn trứng cá là tình trạng da xuất hiện các nốt mụn có kích thước nhỏ. Khi các cặn bẩn trên da xuất hiện, không đào thải được đã gây ra mụn, đây là một dấu hiệu không tốt, cần phải can thiệp kịp thời.
5. Hôi miệng: Lá lách và dạ dày chứa lượng "rác" vượt quá tiêu chuẩn
Nếu đã vệ sinh răng miệng đầy đủ mỗi ngày mà miệng vẫn có mùi hôi, đây có thể là dấu hiệu cho thấy lá lách và dạ dày chứa lượng "rác" vượt quá tiêu chuẩn. Những người tỳ vị hư yếu, chức năng tiêu hóa kém, thức ăn không được phân hủy hết sẽ đọng lại trong dạ dày, gây bốc mùi hôi thối lên miệng.

Các thói quen tiêu thụ đồ ăn cay, nồng hoặc thường xuyên ăn quá no sẽ gây hại cho sức khỏe của lá lách và dạ dày, từ đó gây ra mùi hôi miệng.
6. Ho: "Rác" quá nhiều trong phổi
Thói quen hút thuốc lá trong nhiều năm, sinh sống ở những khu vực có chất lượng ô nhiễm cao… đều là nguyên nhân khiến phổi tích tụ một lượng chất độc hại rất lớn.
Một khi "rác" trong phổi vượt quá tiêu chuẩn, biểu hiện rõ ràng nhất là ho và khạc ra nhiều đờm, đây là hành động phản xạ bảo vệ của chính cơ thể và là biểu hiện của việc phổi đang nỗ lực tự làm sạch.
Nhưng ho chỉ là cách chữa tạm thời chứ không phải chữa tận gốc, để giải quyết vấn đề, bạn vẫn cần bỏ thuốc lá, hít thở không khí trong lành, loại bỏ "rác" và bảo dưỡng phổi càng sớm càng tốt.
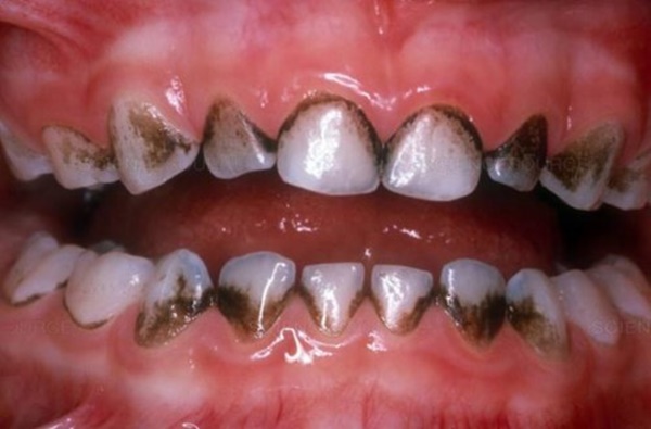
7. Răng chuyển sang màu đen: Có nhiều "rác" trong khoang miệng
Hàm răng khỏe mạnh thường sáng bóng và có màu trắng. Ngược lại, nếu có quá nhiều vi khuẩn và cặn thức ăn trong khoang miệng thì răng sẽ dần chuyển sang vàng ố, thậm chí đen xỉn. Đó là dấu hiệu "rác" trong khoang miệng quá lớn. Điều này nhắc nhở bạn phải đánh răng thường xuyên, lấy cao răng định kỳ, nếu mức độ nghiêm trọng thì bạn phải nhờ đến sự trợ giúp của nha sĩ.

Cần làm ngay 4 việc để thanh lọc độc tố, kéo dài tuổi thọ
1. Uống nước đầy đủ để "làm sạch" dạ dày và ruột
Trên thực tế, chất tẩy rửa tốt nhất để làm sạch dạ dày và ruột chính là nước lọc. Mỗi ngày cần uống 2000-3000ml, chia nhỏ nhiều lần trong ngày để tăng tốc độ trao đổi chất, bôi trơn ruột và giúp đại tiện trơn tru.

2. Tập các bài tập thể để làm sạch tim, phổi
Các bài tập thở giúp phổi, tim có thể từ từ làm sạch "rác". Bạn cũng có thể áp dụng các bài tập thở sâu để giảm bớt sự khó chịu và đẩy nhanh quá trình "làm sạch".
Phương pháp thở tốt nhất đó là căng ngực và bụng khi hít thở sâu, dang hai tay ngang hai bên càng rộng càng tốt, hít vào càng nhiều càng tốt. Giữ hơi thở một lúc rồi từ từ thở ra ngoài, đồng thời siết chặt cánh tay. Hít thở sâu vào mỗi buổi sáng và tối ở nơi có không khí trong lành để đạt kết quả tốt nhất.
3. Đổ mồ hôi khi chơi thể thao để làm sạch da và loại bỏ độc tố cơ thể
Nhiều nghiên cứu cho thấy rằng: Những người trung niên đổ mồ hôi và tập thể dục hàng tuần có tỷ lệ tử vong thấp hơn 25% so với những người ít tập. Đồng thời, người chăm chỉ tập luyện có khả năng sống thọ cao hơn 10%, tỷ lệ mắc bệnh tim mạch thấp hơn 17%, tuổi thọ có thể kéo dài thêm 5-7 năm.
Đổ mồ hôi khi chơi thể thao, các chất chuyển hóa sẽ được bài tiết ra ngoài theo mồ hôi, tương đương với quá trình giải độc tích cực. Nó cũng có thể thúc đẩy lưu thông máu, cải thiện khả năng miễn dịch.

4. Ăn uống lành mạnh để "làm sạch" mạch máu
Trước hết, chúng ta phải giảm ăn các thực phẩm nhiều muối, nhiều calo, nên ăn nhiều rau lá xanh và hoa quả ít đường. Thứ hai, chúng ta phải kiểm soát lượng thức ăn, duy trì thói quen ăn uống điều độ đúng giờ, tránh ăn quá no.
Một số loại thực phẩm có thể loại bỏ huyết ứ, tăng tính đàn hồi của mạch máu, rất hiệu quả trong việc làm sạch "rác" trong mạch máu. Ví dụ như nấm đen, dưa leo, mướp đắng…
Theo Nhịp Sống Việt
