Lạm dụng chỉ định, thực hiện sai kỹ thuật cùng với quảng cáo "thổi phồng" về răng sứ khiến không ít người phải trả giá nặng nề về quyết định thay đổi nụ cười của mình.
Ngày càng nhiều người lạm dụng bọc răng sứ
Cái răng, cái tóc là góc con người nên nhiều người cảm thấy tự ti khi hàm răng không được như ý. Bọc răng sứ là phương pháp làm răng thẩm mỹ khá phổ biến trong lĩnh vực nha khoa. Tại Việt Nam nói riêng và thế giới nói chung, rất nhiều người đã tìm đến dịch vụ này với mong muốn sở hữu hàm răng như ý.
Đây là phương pháp nhằm khắc phục các khiếm khuyết của răng như răng thưa, sứt mẻ, mất màu do dùng kháng sinh, sâu răng, viêm tủy, mòn men… So với các phương pháp khác, phương pháp bọc răng sứ được ưa chuộng hơn nhờ ít đau đớn và thời gian thực hiện nhanh.
Tuy nhiên, không ít bác sĩ đã thốt lên rằng việc lạm dụng bọc răng sứ như hiện nay đang trở thành trào lưu "chết người" bởi vì nhiều kỹ thuật viên không có trình độ và mài mòn răng của khách hàng ảnh hưởng tới khoảng sinh học trong làm răng.

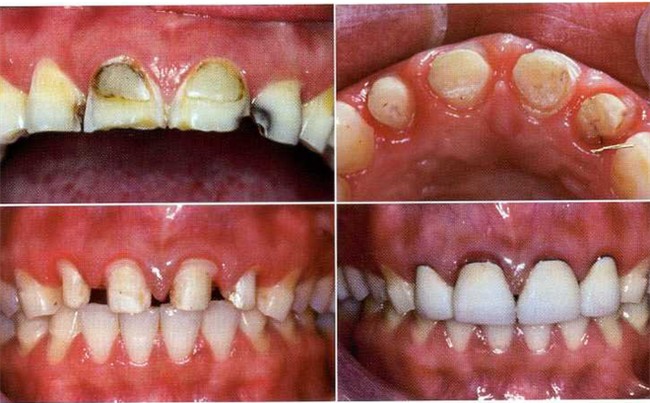
Ngày nay, với những chiêu thức quảng cáo biến tướng xu hướng bọc răng sứ ngày càng bất chấp chỉ định, hậu quả. Đa phần các trung tâm thẩm mĩ răng mài từ 3-7 ca/ngày (tương đương 90-210 bộ răng bị tàn phá/tháng). Những hàm răng lệch lạc, hô vẩu cũng được mài bằng, gọt phẳng để bọc sứ. Điều này ảnh hưởng tới răng miệng của người làm cũng như sức khỏe nói chung.
Theo TS, BS Phạm Thanh Hà, - Phó Giám đốc Trung tâm chỉ đạo tuyến, Trưởng Khoa điều trị Nội nha, Bệnh viện Răng Hàm Mặt Trung ương, làm răng sứ là can thiệp lớn. Để xác định có làm hay không phải xét về chuyên môn và sức khoẻ của mọi người.
Dù chỉ là răng sứ nhưng nó vẫn ảnh hưởng tới sức khoẻ chung, nên người làm cần cân nhắc rất kỹ trước nhu cầu cần thiết có nên làm hay không. Bên cạnh đó, làm răng sứ không chỉ tốn kém tiền bạc mà còn còn liên quan tới sức khoẻ của bản thân.
Có nên làm răng sứ?
BS. Hà cho biết, không thể phủ nhận lợi ích của bọc răng sứ về tính thẩm mỹ, giúp răng trắng sáng, đều, thậm chí tác dụng bảo vệ hàm răng trong một số trường hợp như răng thưa, răng sâu đã được xử lý...
Tuy nhiên, khi thực hiện bọc răng sứ vẫn có sự ảnh hưởng nhất định tới sức khoẻ chung nên người có nhu cầu cần cân nhắc rất kỹ. Đồng thời, nha sĩ cũng cần giải thích những biến chứng có thể gặp khi thực hiện thủ thuật nha khoa này cho bệnh nhân.
Ông Hà cũng cho hay, tai biến sau bọc răng sứ thường xảy ra khi kỹ thuật làm không tốt, chỉ định sai: ví dụ như răng hô, móm, lệch lạc vẫn mài bằng để bọc sứ sẽ để lại hậu quả vô cùng nặng nề.
Trong trường hợp răng đều nhưng màu răng xấu, men răng bị tổn thương, hình thể răng không đẹp thì bọc răng sứ là một trong những giải pháp tốt để khắc phục những khuyết trên.
Khi kỹ thuật bọc răng sứ không được đảm bảo thì biến chứng là điều khó tránh khỏi. TS Hà đưa ra ba biến chứng kinh khủng với hàm răng đó là:
- Thứ nhất: Tổn thương tủy răng thường do việc mài răng "quá đà" gây nên. Thực tế, các bác sĩ thường có thiên hướng mài răng càng nhiều càng tốt để lắp răng sứ cho đẹp.
Nếu trường hợp bệnh nhân không may mắn răng chết tuỷ không biết thì tổn thương còn trầm trọng nhiều, gây viêm xương hàm do gián tiếp từ việc bọc răng sứ, gây viêm tuỷ và ảnh hưởng nghiêm trọng tới xương hàm.
- Thứ hai: Ảnh hưởng tới khớp cắn ở người bình thường. Đôi khi khớp cắn có lệch lạc nhưng nó vẫn nằm ở vị trí cân bằng tự nhiên nếu làm can thiệp làm ảnh hưởng tới khớp cắn hai hàm răng .
Nếu không tái thiết lập được cân bằng khớp cắn mới thì gây ảnh hưởng tới răng và khớp cắn.
- Thứ ba: Tình trạng ảnh hưởng tổ chức nha chu vì răng giữ lại sau khi mài và răng sứ mới có mối nối, khi giữ lại và bọc răng sứ vẫn có "lỗ hổng" là nơi thức ăn đọng lại, phân huỷ tạo vi khuẩn sản sinh ra axit và tạo ra các tổ chức viêm nha chu
Theo khuyến cáo của BS. Hà, trước khi quyết định bọc răng sứ, bệnh nhân nên tìm hiểu rủi ro có thể xảy ra, nên chọn cơ sở uy tín, bác sĩ có chuyên môn… Sau khi thực hiện bọc răng sứ cũng cần lưu ý giữ gìn và khám định kỳ, sàng lọc nguy cơ 6 tháng, 1 năm/lần đề phòng ngừa biến chứng sau bọc răng sứ có thể xảy đến.
Theo Trí thức trẻ
