Chủ đề

bọc răng sứ

bọc răng sứ

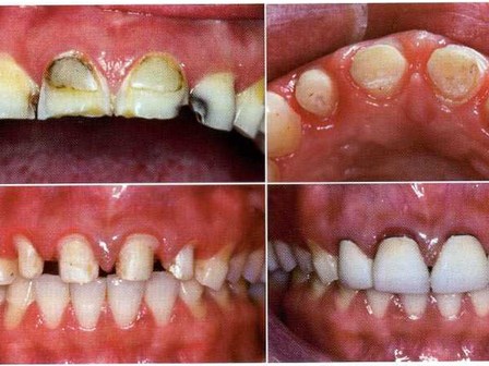
Bác sĩ BV Răng hàm mặt Trung ương chỉ rõ 3 biến chứng đáng sợ của răng sứ thẩm mỹ

Lạm dụng chỉ định, thực hiện sai kỹ thuật cùng với quảng cáo "thổi phồng" về răng sứ khiến không ít người phải trả giá nặng nề về quyết định thay đổi nụ cười của mình.

Muốn làm răng nên suy nghĩ cho thật kỹ rồi hãy quyết định!

"Lúc đầu mình thích lắm, răng đều, đẹp, trắng, tự tin hơn hẳn khi giao tiếp, khi cười

Loạt ảnh trước - sau của sao Việt cho thấy sức mạnh ghê gớm của việc chỉnh răng

Nhìn những ví dụ trước và sau khi làm răng dưới đây bạn mới hiểu được hàm răng ảnh hưởng đến ngoại hình như thế nào!