Mới đây, Bệnh viện (BV) Nhi Đồng 1 (TP.HCM) cho biết tiếp nhận một trường hợp bé gái M.N.B.H. (10 tháng tuổi, ngụ tại Trà Vinh) nhập viện vì ho đàm, thở mệt.
Người nhà khai cách nhập viện 3 tuần bé khò khè khi bú và khi ngủ, tự mua thuốc uống. Sau đó 1 tuần thì bé thở mệt hơn không sốt, bú kém, được điều trị tại BV tỉnh nhưng không cải thiện.
Vì bé đã từng chẩn đoán suyễn 2 lần tại BV tỉnh và điểu trị có kết quả tốt nên lần này, BS vẫn điều trị suyễn tiếp tục.

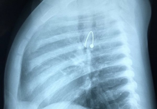
Ảnh chụp X-quang phát hiện dị vật.
Cách nhập viện 1 tuần, bé thở mệt hơn kèm khò khè và bú ít lại. Khi đến khám tại BV địa phương, bé không giảm triệu chứng và chụp X-quang. Ảnh chụp nghi ngờ có dị vật cản quang vùng thực quản.
Sau đó bé được chuyển đến BV Nhi Đồng 1 với triệu chứng của đường thở nhưng dị vật ở thực quản.
Tại đây, các bác sĩ tiến hành gây mê soi cấp cứu và gắp được chiếc bông tai cách miệng thực quản khoảng 12cm.

Dị vật có đầu nhọn cắm vào thực quản.
Bông tai có 1 đầu như chiếc kim gâm vào thành thực quản nên rất khó di chuyển.
Khi lấy bông tai ra, thực quản bị trầy sướt, chảy máu lượng ít và được cầm máu tại chỗ bằng bông gòn.
Hậu can thiệp, bé đã tỉnh táo, được nuôi ăn qua ống sonde dạ dày, không nôn ói, không sốt, không đau.

Chiếc bông tai sau khi lấy ra.
ThS.BS Phú Quốc Việt, BV Nhi Đồng 1 cho biết, việc hóc các loại dị vật như vật dụng, đồ chơi, đồng xu, pin...ở trẻ nhỏ rất thường gặp tại đây.
Tình trạng này nguy hiểm vô cùng, có thể dẫn đến các biến chứng nguy hiểm như không ăn uống được, áp xe thành sau họng, áp xe cổ, áp xe – thủng thực quản, tổn thương mạch máu...
"Việc hóc dị vật là kim loại mà lại phát hiện rất trễ là trường hợp rất lạ, có thể do ngay từ đầu triệu chứng giống với suyễn nên được điều trị theo tiền sử bệnh, đến khi bệnh nặng mới tầm soát các nguy cơ" - bác sĩ nói.
Bác sĩ khuyến cáo những trường hợp bệnh nhân điều trị lâu ngày nếu không cải thiện triệu chứng nên được đưa đến BV để tránh bỏ sót bệnh, tránh các biến chứng đáng tiếc xảy ra.
Theo Pháp luật và bạn đọc
