Theo đó, bệnh nhân nam, 21 tuổi, nhập viện trong tình trạng khó thở và sưng bụng ngày càng nặng. Anh ta cho biết có triệu chứng khó thở sau khi vận động trong 4 tháng qua, các triệu chứng nặng dần lên. Đồng thời, người này bắt buộc phải ngồi thẳng lưng hoặc bán nghiêng (hơi nghiêng - PV) để đỡ khó thở hơn (không thể nằm - PV). Anh bị sụt cân, thường xuyên cảm thấy mệt mỏi.
Cách đây 3 tháng, do có đờm và sốt nên anh đã khám với bác sĩ gia đình và được cho uống thuốc. Nhưng sau khi uống thuốc, các triệu chứng không thuyên giảm đáng kể, 3 tháng trở lại đây tình trạng bệnh rất tồi tệ nên anh ta phải nghỉ học và nghỉ ngơi ở nhà.
Bệnh nhân không có tiền sử bệnh mãn tính hoặc tiền sử gia đình. Anh ta đã bỏ thuốc cách đây 3 năm, không có tiền sử uống rượu hay lạm dụng chất kích thích. Nhưng điều đáng chú ý là bệnh nhân đã uống 4 chai nước tăng lực 500ml mỗi ngày trong 4 năm.

Ảnh minh họa.
Sau khi thu thập chi tiết, các bác sĩ thấy rằng mỗi chai nước tăng lực mà anh ta thường xuyên uống chứa 160mg caffeine, cũng như taurine và các thành phần khác.
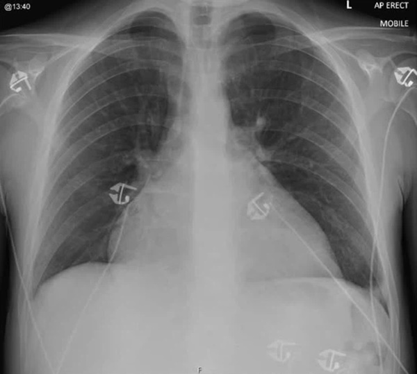
Kiểm tra cho thấy tình trạng của bệnh nhân rất nghiêm trọng, ngoài việc phải ngồi mới thở được, bệnh nhân còn bị phù nề chi dưới và cổ trướng; có triệu chứng suy thận kèm theo bí tiểu, thận ứ nước hai bên và phải can thiệp ngoại khoa để giải quyết tình trạng tắc nghẽn đường tiết niệu. Siêu âm tim cho thấy tình trạng suy tim nghiêm trọng.

Tình trạng bóng tim mở rộng có thể nhìn thấy trên X-quang ngực (Ảnh: Báo cáo Ca bệnh BMJ).
Do bị suy tuần hoàn, bệnh nhân được chuyển đến một bệnh viện đa khoa địa phương lớn ở Anh. Tại đây, anh ta được phát hiện bị nhồi máu não và phải chạy thận nhân tạo gấp.
Sau gần 2 tháng (58 ngày) nhập viện với nhiều lần rơi vào tình trạng nguy kịch, bệnh nhân cuối cùng đã ổn định sức khỏe và có thể xuất viện.
Nhiều trường hợp cấp cứu vì nước tăng lực
Đây không phải là trường hợp duy nhất mắc bệnh do lạm dụng nước tăng lực. Theo tờ Daily Telegraph của Anh vào năm 2008, một người đàn ông 40 tuổi nước này đã chết vì một cơn đau tim mà nguyên nhân sâu xa hơn là do uống quá nhiều nước tăng lực mỗi ngày vào ca làm đêm, ít nhất 4 lon (500ml/lon).
Năm 2016, Tạp chí Y học Cấp cứu Hoa Kỳ đăng tải 1 ca bệnh tại Đại học Alabama (Birmingham): người đàn ông 57 tuổi bị xuất huyết nội sọ 15 phút sau khi uống nước tăng lực và đó cũng là lần đầu tiên anh ta uống loại nước này.

Nước tăng lực gây hại sức khỏe?
Vào năm 2015, Tạp chí của Hiệp hội Y khoa Hoa Kỳ (JAMA) đã xuất bản một bài báo nói rằng thậm chí chỉ cần uống một lon nước tăng lực cũng có thể làm tăng nguy cơ mắc bệnh tim. Một lon nước tăng lực 450ml chứa nhiều đường, caffeine, taurine và các chất chiết xuất từ thực vật.
1. Nước tăng lực chứa nhiều caffeine
Nồng độ cao của caffeine trong nước tăng lực có thể tác động lên các thụ thể adenosine ở tim và làm tăng giải phóng catecholamine. Điều này có thể dẫn đến tình trạng quá kích giao cảm trong thời gian dài, có liên quan mật thiết đến bệnh cơ tim do căng thẳng.
Ngoài việc trực tiếp gây ra bệnh cơ tim, hưng phấn giao cảm còn có thể gây ra các rối loạn nhịp tim như rung nhĩ và nhịp nhanh trên thất. Đây cũng là yếu tố dễ đẩy nhanh quá trình phát triển bệnh cơ tim thành suy tim.
Vào năm 2019, Tạp chí của Hiệp hội Tim mạch Hoa Kỳ đã công bố một nghiên cứu về những người từ 18-40 tuổi sử dụng nước tăng lực. Kết quả cho thấy 4 giờ sau khi uống loại nước này, nhịp tim và huyết áp của họ tăng lên đáng kể.

Ảnh minh họa.
Các nhà nghiên cứu khuyến cáo mọi người nên nhận thức được những tác động tiêu cực của nước tăng lực đối với sức khỏe. Bệnh nhân mắc bệnh tim bẩm sinh, Hội chứng QT dài, cao huyết áp nên hạn chế uống rượu, không khuyến khích những người dưới 18 tuổi uống nước tăng lực.
2. Nó cũng rất nhiều đường
Ngoài caffeine, hàm lượng đường cao cũng giúp thức uống này trở nên thơm ngon hơn. Tháng 9/2020, Hội đồng Người tiêu dùng quận Phúc Điền và quận Bảo An, Thâm Quyến (Trung Quốc) đã cùng nhau tiến hành kiểm tra so sánh 10 loại nước tăng lực.
Người ta phát hiện ra rằng 9 loại trong số chúng chứa trên 10g đường/100ml, với lượng đường trung bình là 11,7g/100ml. Sau khi uống hết một lon nước tăng lực khoảng 550ml, lượng đường nạp vào cơ thể sẽ vượt quá giới hạn trên của lượng đường khuyến nghị hàng ngày theo Tổ chức Y tế Thế giới (WHO) quy định.
Vì vậy, để bảo vệ sức khỏe, nếu như bạn không tập thể dục hoặc hoạt động cường độ cao, tốt nhất nên hạn chế hoặc không sử dụng nước tăng lực.
Theo Pháp luật & Bạn đọc
