Mọi người ngày càng dành nhiều thời gian dùng điện thoại di động thông minh và hậu quả không chỉ dừng lại ở tác động đến mắt mà còn ảnh hưởng đến cả cấu trúc của hộp sọ.
Các nhà nghiên cứu tại trường Đại học Sunshine Coast (Úc) đã tiến hành kiểm tra não của hơn 1000 người trong độ tuổi 18-86 và phát hiện ra rằng ngày càng có nhiều người có sự tăng trưởng ở xương não bộ, cụ thể hơn, có thể thấy một kết cấu nhô ra thêm ở chẩm bên ngoài ở đáy hộp sọ của họ.
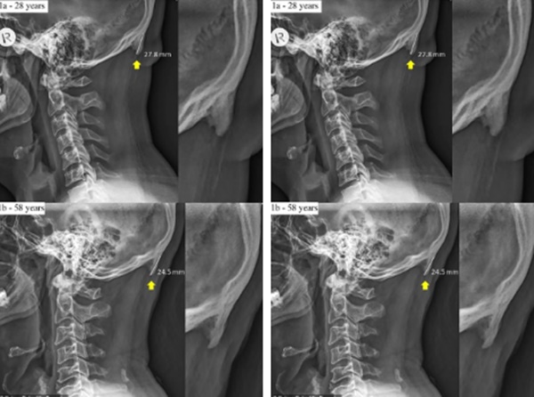
Khối u chẩm ngoài mở rộng có thể mô tả như một chiếc gai, một cục xương thừa lạ lùng mọc nối dài thêm ở khu vực đáy sọ, gần thùy chẩm, tức phía gáy của bạn. Và những người trẻ tuổi đang phát triển chúng nhanh hơn, phổ biến nhất ở những người từ 18-30 tuổi.

Khối u chẩm ngoài mở rộng vẫn xuất hiện dưới hình dạng phần gai xương nối dài thêm
Nhà nghiên cứu chính, Tiến sĩ David Shahar, nói với BBC: "Tôi đã là một bác sĩ lâm sàng trong 20 năm và chỉ trong thập kỷ qua, tôi ngày càng phát hiện ra rằng bệnh nhân của tôi có sự phát triển này trên hộp sọ.
Nguyên nhân là do lượng thời gian mà mọi người dành cho các sản phẩm điện tử của mình, nhất là những người xem điện thoại từ khi còn trẻ. Thời gian tiếp xúc với điện thoại thông minh, máy tính bảng và máy tính xách tay có thể gây quá nhiều căng thẳng cho các bộ phận ít sử dụng trên cơ thể đến mức các bộ phận cơ thể thực sự thay đổi.
Cụ thể, các cơ nối cổ với phía sau đầu bị lạm dụng quá mức khi chúng cố gắng giữ yên hộp sọ - đầu một người trưởng thành nặng trung bình khoảng 5kg. Tiến sĩ Shahar nói thêm rằng: "Để đáp ứng với những cơ bắp ngày càng lớn hơn, bộ xương phát triển các lớp xương mới để củng cố và mở rộng khu vực này".
Không những thế, Tiến sĩ Shahar còn khuyến cáo: Phần gai nối dài trên hộp sọ này phần lớn có liên quan tư thế xấu khi sử dụng điện thoại thông minh ở mọi lứa tuổi, bao gồm cả trẻ em. Rối loạn cơ xương liên quan đến tư thế xấu trong khi sử dụng máy tính và máy tính bảng đã được nghiên cứu rộng rãi và được xác định là yếu tố nguy cơ cho sự phát triển của các triệu chứng liên quan ở cổ, vai và cẳng tay.

Và vị tiến sĩ này cũng nói rằng, mặc dù các khối xương không có khả năng tự gây ra bất kỳ tác động có hại nào, nhưng chúng có thể không bao giờ biến mất, thậm chí tiếp tục phát triển.
Đây không phải lần đầu tiên các nhà khoa học phát hiện xương người bị biến đổi vì thói quen dùng smartphone. Năm ngoái, tiến sĩ James Carter, một bác sĩ danh tiếng ở Niagara Park (New South Wales, Úc) cũng đã cảnh báo tình trạng thay đổi hình dạng của bộ xương ở trẻ em do hàng ngày cúi xuống nhiều giờ đồng hồ để xem điện thoại. "Thanh thiếu niên và trẻ em khoảng bảy tuổi đang phát triển gù lưng và gai cong bất thường vì nghiện điện thoại thông minh", tiến sĩ James Carter cho biết.
Theo Helino
