Nếu không biết về đợt bùng phát này, bạn sẽ đọc bản quét và cho rằng bệnh nhân này bị viêm phổi vì đây là chứng bệnh phổ biến nhất mà chúng ta có thể trông thấy bằng hình ảnh "tổn thương kính mờ".
Người phụ nữ 33 tuổi đến bệnh viện ở Lan Châu, Trung Quốc để khám bệnh trong tình trạng sốt và ho kéo dài 5 ngày. Bệnh nhân giấu tên, hơi thở có mùi hôi và nhiệt độ cơ thể lên đến 39 độ C. Bệnh nhân có lượng bạch cầu thấp - dấu hiệu cho thấy cơ thể đang bị nhiễm trùng nghiêm trọng. Các bác sĩ chẩn đoán cô bị nhiễm coronavirus mới đã lan rộng khắp Trung Quốc. Tính đến tối 31.1, hơn 9.900 trường hợp đã nhiễm loại virus này và 213 người đã tử vong.

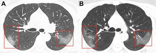
Trong một nghiên cứu được công bố trên tạp chí Radiology tối qua, một nhóm các nhà nghiên cứu tại Bệnh viện đầu tiên của Đại học Lan Châu đã chia sẻ hình ảnh 2 tia chụp X-quang phổi và ngực của người phụ nữ này. Các bản quét cho thấy các mảng trắng ở góc dưới phổi của cô cho thấy hình ảnh "tổn thương kính mờ".
"Nếu bạn phóng to hình ảnh, nó trông giống như tấm thủy tinh mờ. Đó là hình ảnh đại diện cho chất lỏng trong phổi", Paras Lakhani, một bác sĩ X quang tại Đại học Thomas Jefferson, người không tham gia vào nghiên cứu nhưng kiểm tra các hình ảnh, chia sẻ với Business Insider. Đặc biệt, những tia X-quang này cung cấp cho các nhà nghiên cứu một vài manh mối mới về bản chất của loại virus này.
Hình ảnh X-quang cho thấy coronavirus mới trông tương tự như SARS và MERS
Virus corona là một nhóm lớn các loại virus thường ảnh hưởng đến đường hô hấp. Chúng cũng gây viêm phổi và cảm lạnh thông thường. Các triệu chứng của coronavirus mới bao gồm sốt, ớn lạnh, đau đầu, khó thở và đau họng. Coronavirus mới được xác định lần đầu tiên trong số một nhóm nhỏ người biểu hiện các triệu chứng giống như viêm phổi tại Vũ Hán, Trung Quốc, vào tháng 12. Bệnh nhân 33 tuổi này làm việc ở Vũ Hán, nhưng đã đi đến Lan Châu một ngày trước khi các triệu chứng của cô bắt đầu.

Nếu không biết về đợt bùng phát này, bạn sẽ đọc bản quét và cho rằng bệnh nhân này bị viêm phổi vì đây là chứng bệnh phổ biến nhất mà chúng ta có thể trông thấy bằng hình ảnh "tổn thương kính mờ". Tuy nhiên, bạn không hay biết rằng hình ảnh này còn đặc biệt hữu ích để xác định một loại coronavirus.
"Bạn có thể thấy nó với tất cả các loại nhiễm trùng - vi khuẩn, virus, hoặc đôi khi là thứ không gây nhiễm trùng bởi ngay cả việc hút vaping cũng bị lột trần theo cách này", Lakhani nói.

Tuy nhiên, trong trường hợp này, các nhà nghiên cứu còn nhận thấy "tổn thương kính mờ" kéo dài ra ngoài rìa phổi. Đây thực sự là điều bất thường. Lakhani nói: "Điều này chỉ xuất hiện với hội chứng hô hấp cấp tính nặng (SARS) và hội chứng hô hấp Trung Đông (MERS)". Cả SARS và MERS cũng là coronavirus. Chúng là nguyên nhân khiến 8.000 trường hợp mắc bệnh và 774 trường hợp tử vong từ tháng 11/2002 đến tháng 7/2003 tại Trung Quốc. Lakhani cho biết, khi quét các loại virus này, ông nhận thấy "rất nhiều sự tương đồng" với hình ảnh X-quang từ bệnh nhân 33 tuổi.
Cách tốt nhất để chẩn đoán coronavirus không phải là qua tia X mà là xét nghiệm trong phòng thí nghiệm, bao gồm lấy nước bọt hoặc chất nhầy từ mũi và miệng của bệnh nhân hoặc xét nghiệm dịch đờm. Tuy nhiên, xét nghiệm không phải là lựa chọn hoàn hảo bởi khi ấy, virus xâm nhập đã làm xuất hiện các triệu chứng cụ thể. Do đó, việc chụp X-quang có thể là giải pháp hoàn hảo hơn nếu muốn phát hiện cơ thể nhiễm virus corona hay không.
Theo Báo dân sinh
