Khi con chào đời, cuộc sống của cha mẹ gần như tập trung xoay quanh đứa trẻ. Điều cha mẹ lo lắng nhất chính là sức khỏe của con.
Trẻ còn nhỏ, nhiều cha mẹ chỉ chú ý đến sức khỏe ở khía cạnh con có ốm không, có tăng cân đều không... mà ít để tâm đến sức khỏe răng miệng của trẻ. Trong khi đó, đây cũng là vấn đề cha mẹ cần lưu tâm bởi răng sữa dù sẽ thay đi nhưng nó ảnh hưởng trực tiếp đến hàm răng vĩnh viễn sau này.

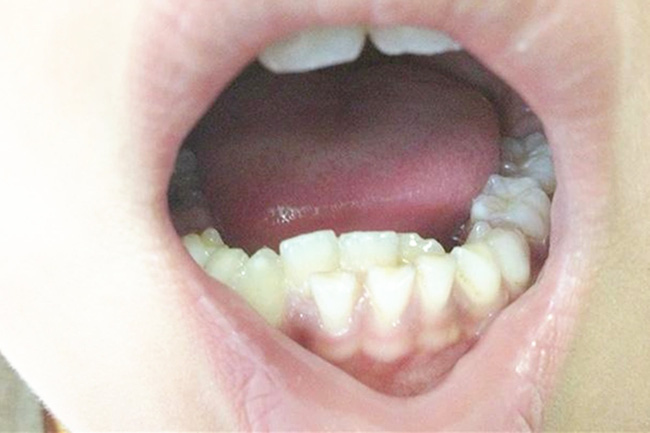
Hàm răng nhọn hoắt như răng cá mập.
Từ khi sinh con, cô Hoàng, một bà mẹ người Trung Quốc đã dành gần như toàn bộ thời gian của mình cho con. Mỗi ngày nhìn con lớn lên, đó niềm hạnh phúc không gì so sánh được của người mẹ này.
Đột nhiên một dạo cô Hoàng để ý thấy hàm răng của con có chiếc hình dạng rất bất thường, nhọn hoắt. Càng để lâu, cô thấy cả hàm răng của con giống như răng cá mập vậy.
Cô Hoàng lo lắng liền đưa con đi bác sĩ. Đứa trẻ vừa há miệng ra, bác sĩ đã giật mình vì đây là lần đầu tiên bác sĩ nhìn thấy trẻ có hàm răng nhọn hoắt như vậy.
Sau một hổi kiểm tra kĩ lưỡng và tìm hiểu thói quen sinh hoạt của bé, bác sĩ kết luận nguyên nhân khiến bé có hàm răng lạ thường như vậy là do gia đình cô Hoàng đã cho con ăn uống đồ ngọt vô tội vạ, thiếu kiểm soát. Lúc này, người mẹ thực sự hối hận vì đã chiều con quá.
Nguyên nhân khiến trẻ có hàm răng cá mập?
1. Ăn đồ ngọt sớm và không có sự kiểm soát
Hàm răng sữa của trẻ rất mỏng manh và không chắc khỏe như răng của người lớn. Trong khi đó những đồ ăn có hàm lượng đường cao, có tính bám dính vào bề mặt răng, đồ uống có ga, nước ngọt và đồ uống dễ lên men sinh axit chính là thủ phạm khiến răng sữa bị mòn rất nhanh. Bởi lẽ lớp men răng và lớp ngà của răng sữa tương đối mỏng, chưa hoàn thiện, độ canxi hóa còn thấp nên rất dễ bị vi khuẩn tấn công.
Khi những loại đồ ăn này bám lâu trên răng khiến răng dần mòn và tiêu đi mà không hề gây đau nhức. Khi răng bị mòn, bằng mắt thường sẽ khó phát hiện bởi nó mòn đi 1 cách từ từ.
2. Răng vĩnh viễn mọc trước

Hiện tượng trẻ có 2 hàm răng ở cùng vị trí không phải hiếm (Ảnh minh họa).
Răng sữa rụng đi rồi răng vĩnh viễn mới mọc lên, đó là quy luật thay răng thông thường. Nhưng có những trẻ răng vĩnh viễn đã mọc trước mà răng sữa chưa kịp rụng, điều này cũng dẫn đến sự hình thành của hàm "răng cá mập", tức là có 2 hàm răng tồn tại song song chen lấn nhau.
Cha mẹ nên chú ý điều gì khi trẻ thay răng?
1. Nhắc trẻ không được liếm nhiều
Khi trẻ mọc răng mới, chắc chắn sẽ cảm thấy không thoải mái, vì vậy trẻ sẽ tự ý liếm lưỡi, điều này sẽ khiến răng mọc theo hướng trẻ liếm dẫn đến bị mọc lệch, mọc sai vị trí. Vì vậy cha mẹ cố gắng nhắc nhở con không được đẩy lưỡi hoặc dùng lưỡi liếm nhiều vào cái răng mới mọc.

2. Không ăn thức ăn quá cứng
Khi đang thay răng, chiếc răng mới sẽ chưa thể chắc khỏe ngay lập tức nên nhai những đồ ăn cứng có thể khiến răng bị lệch. Ảnh hưởng nghiêm trọng nhất là nhai đồ cứng còn có thể khiến răng đang mọc dở ngừng phát triển.
3. Giám sát việc đánh răng của trẻ
Ở độ tuổi bắt đầu thay răng, hầu hết trẻ đã có thể tự đánh răng một mình, song không phải trẻ nào cũng biết đánh răng đúng cách. Bố mẹ nên giám sát trẻ mỗi lần đánh răng và hướng dẫn con cách đánh răng đúng nhất để không ảnh hưởng đến răng vĩnh viễn đang mọc.
Theo ICTVietNam
