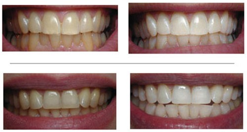
Từ trước đến giờ các bạn vẫn chỉ quen với việc dùng dầu dừa trong việc dưỡng da, tóc nhưng ít ai biết rằng việc súc miệng bằng dầu dừa giúp các bị trị tận gốc hôi miệng và các bệnh liên quan đến đường hô hấp, cổ họng. Đặc biệt, nếu dùng đúng cách dầu dừa còn có khả năng làm trắng răng rất hiệu quả.

Bài viết dưới đây, Eva xin hướng dẫn các bạn cách tẩy trắng răng không thua gì nha sĩ chỉ với dầu dừa và bột banking soda.
1. Nguyên liệu
- Dầu dừa
- Bột banking soda
- Bát và thìa sạch

2. Cách làm
- Lấy 1 thìa dầu dừa cùng 1 thìa bột banking soda trộn đều đến khi được hỗn hợp đồng nhất. Các bạn chú ý trộn đặc một chút giống như kem đánh răng.

3. Sử dụng
- Lấy bàn chải sạch quết một lượng đều hỗn hợp dầu dừa + banking soda tương đương với 1 lần lấy kem đánh răng lên bàn chải.

- Đánh răng như bình thường trong vòng 3 - 5 phút.
- Súc miệng bằng nước ấm và cảm nhận sự thay đổi rõ rệt chỉ sau 5 phút.

Áp dụng 1 tuần 2 - 3 lần để thu được kết quả tốt nhất. Tránh việc ngày nào cũng sử dụng vì sẽ khiến men răng tự nhiên của bạn yếu đi, dễ bị ố vàng sau này.
Chúc các bạn thành công!
Theo Khám phá
