Những hình ảnh dưới đây đến từ một ca bệnh dị ở Philippines đã làm nhiều người dùng mạng Thái Lan phát hoảng với hình ảnh những chiếc răng mọc chổng ra do niềng răng, sai cách.
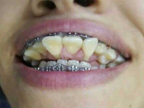
Mới đây, một trang fanpage của Thái Lan có tên "Doctor Kluoi" (Bác sĩ chuối) đã đăng tải lại hình ảnh một hàm răng được niềng cẩn thận nhưng điều khác lạ ở đây là những chiếc răng ở hàm trên đều đang trong tình trạng… chỉa thẳng lên trời. Ngay lập tức, hình ảnh này đã thu hút sự chú ý rất lớn của cư dân mạng xứ chùa Vàng.

Bài đăng của trang "Doctor Kluoi" vào ngày 19/7 vừa qua khiến cư dân mạng Thái Lan xôn xao
Được biết, hàm răng đặc biệt trên là một sản phẩm niềng răng lỗi đến từ đất nước Philippines. Bài đăng cho biết, khách hàng muốn làm răng nhưng chẳng may lại gặp phải ông bác sĩ kém bằng cấp, không có giấy phép hành nghề. Ông này đã dùng dây thép và tiến hành niềng răng lại. Tuy nhiên, loại dây thép này lại có tác dụng rất lớn lên răng, khiến cho hàm răng của khách hàng biến thành như trên. Điều quan trọng nhất là, sẽ không có cách nào có thể làm cho hàm răng này quay về giống như cũ được nữa.

Hàm răng bị biến dạng nghiêm trọng sau khi niềng răng sai cách...
Có thể thấy hàm răng này do bị niềng sai cách đã phải chịu một lực kéo căng tới biến dạng cả cấu trúc răng, thành thử các chân răng giờ đây đều lộ ra và... phô thẳng ra phía ngoài.
Hàm răng có 1-0-2 này đang khiến nhiều người lo sợ khi muốn đi niềng răng. Phía dưới bài đăng, rất nhiều cư dân mạng xứ chùa Vàng đã bày tỏ sự sợ hãi của mình khi lần đầu tiên nhìn thấy một sản phẩm niềng răng "thời trang" mà lỗi thảm hại như thế này.
Theo Trí thức trẻ
