Chủ đề

niềng răng sai cách

niềng răng sai cách

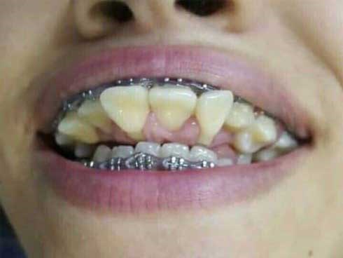
Cư dân mạng Thái Lan phát hoảng với hình ảnh hàm răng bị niềng sai cách dẫn tới biến dạng trầm trọng

Những hình ảnh dưới đây đến từ một ca bệnh dị ở Philippines đã làm nhiều người dùng mạng Thái Lan phát hoảng với hình ảnh những chiếc răng mọc chổng ra do niềng răng sai cách.