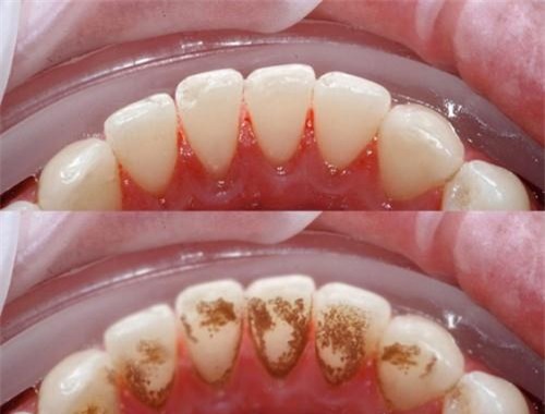
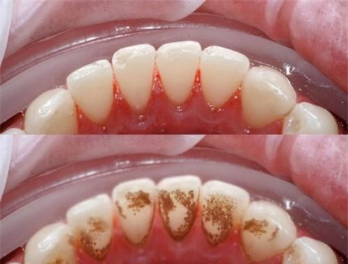
Cao răng được hình thành từ canxi carbonat và phosphate với nguyên liệu chính là cặn mềm, vụn thức ăn. Vụn và mảng bám thức ăn không được vệ sinh sạch sẽ đọng lại trong khoang miệng lâu ngày sẽ gây ra cao răng.
Cao răng không chỉ gây giảm thẩm mỹ cho nụ cười mà nó còn tiềm ẩn các nguy cơ về bệnh răng miệng như: viêm nướu, sâu răng, viêm nha chu... nếu cao răng không được vệ sinh thường sẽ chuyển biến xấu gây ra các bệnh khác về răng miệng nguy hiểm hơn như tụt nướu, lộ chân răng hay xấu nhất là dẫn đến răng lung lay, teo xương, áp xe răng...
Bạn hoàn toàn có thể tự làm dung dịch tẩy cao răng tại gia vừa hiệu quả vừa tiết kiệm chi phí với các nguyên liệu rẻ tiền dễ kiếm như sau:
Nguyên liệu cần có:

(Ảnh: Internet)
- Đường nâu
- Nước lọc ấm
- Muối biển sạch
Cách thực hiện:
- Cho 1 muỗng cà phê muối biển tinh vào nửa cốc nước lọc ấm
- Khuấy đều cho muối hòa tan vào nước
Thực hiện súc miệng để đánh bật cao răng

(Ảnh: Internet)
Bước 1: Súc miệng bằng nước ấm khoảng 30 giây để làm mềm các mảng bám và diệt 1 phần vi khuẩn trong khoang miệng.
Bước 2: Ngậm nửa muỗng cà phê đường nâu trong miệng 15 phút, trong lúc ngậm nhớ dùng lưỡi đẩy phần đường cho bao phủ hết răng, đường nâu như 1 nguyên liệu tẩy tế bào chết, đẩy mảng bám ra khỏi răng.
Bước 3: Súc sạch miệng và đánh răng lại kĩ càng với đánh răng
Bước 4: Dùng nước muối ấm súc cuối cùng để diệt khuẩn hiệu quả cho toàn khoang miệng và giúp chắc răng.

(Ảnh: Internet)
Lưu ý:
Để răng khỏe đẹp, ít mảng bám thì bạn cần hạn chế các thức uống có hại như nước có ga, cà phê... thức ăn quá nóng hoặc quá lạnh sẽ khiến hư men răng, giảm độ trắng sáng răng.
Thời điểm đánh răng tốt nhất là ngày 2 lần sáng và tối, chải răng kĩ càng, súc miệng lại cuối cùng với nước muối ấm để răng được sạch sẽ và được bảo vệ khỏi mảng bám.
Theo Trí Thức Trẻ