Cao răng không chỉ gây mất thẩm mỹ mà còn tạo ra mùi khó chịu cho khoang miệng, bạn hoàn toàn có thể tự tẩy cao răng tại nhà chỉ với 3 phút.
>> Vitamin rất tốt cho cơ thể nhưng quá liều có thể gây sỏi thận, ung thư...
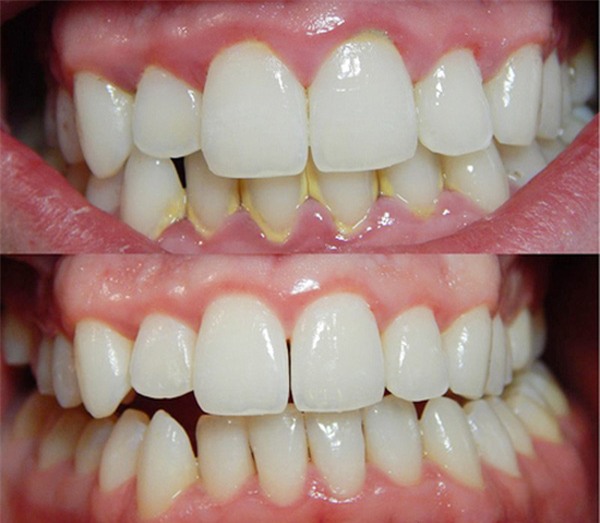
Cao răng là một chất lắng cặn cứng của các muối vô cơ gồm canxi carbonat và phosphate phối hợp với cặn mềm (mảnh vụn thức ăn, các chất khoáng trong môi trường miệng), vi khuẩn, xác các tế bào biểu mô, sự lắng đọng sắt của huyết thanh, bám rất chắc vào bề mặt răng hoặc dưới mép lợi (còn gọi là vôi răng).
Lâu ngày các mảng bám cao răng dày hơn, gây mất thẩm mỹ răng, nhất là những lúc cười tươi thì chẳng ai muốn người khác thấy được vết dơ trên răng mình đâu nhỉ? Không những vậy, cao răng lâu ngày không được vệ sinh sẽ dễ gây viêm nướu, tạo ra các mùi hôi khó chịu cho khoang miệng, khiến bạn mất tự tin khi giao tiếp.

Bạn hoàn toàn có thể tự làm sạch cao răng tại nhà nếu không có thời gian đến nha sĩ với phương pháp đơn giản sau:
Nguyên liệu để làm sạch cao răng:
- Nửa quả chanh tươi
- ½ thìa cà phê muối
- 1 muỗng cà phê baking soda (có thể mua tại các cửa hàng vật liệu bánh)
Cách thực hiện hỗn hợp lấy cao răng:
Pha hỗn hợp nước cốt nửa trái chanh với baking soda và muối tạo thành hỗn hợp sền sệt.
Tiến hành lấy cao răng:

Đầu tiên, bạn dùng nước ấm để đánh răng với kem như thông thường, nước ấm sẽ giúp làm mềm mảng bám và kem sẽ loại bỏ 1 phần vi khuẩn trong khoang miệng.
Kế tiếp, nhúng bàn chải vào hỗn hợp vừa pha phía trên, chà sạch toàn bộ hàm răng, từ trong ra ngoài, chà trên dưới. Chà khoảng 2-3 phút để làm sạch sâu các mảng bám răng.
Cuối cùng, súc miệng lại bằng 1 cốc nước muối ấm pha loãng.
Thực hiện phương pháp này 2-3 lần một tuần bạn sẽ chẳng phải tốn đồng xu nào cho việc đến nha sĩ lấy cao răng luôn ấy.
Một số biện pháp khác giúp hạn chế tạo mảng bám, gây cao răng
1. Đánh răng thường xuyên
Nếu không có nhiều thời gian để đánh răng sau mỗi bữa ăn thì bạn cũng cố gắng đánh răng tối thiểu 2 lần một ngày, trước khi đi ngủ và sau khi thức dậy để làm sạch mảng bám thức ăn mỗi ngày, hạn chế tạo cao răng.
2. Ăn nhiều thực phẩm giàu chất xơ, hạn chế thịt
Các thực phẩm giàu xơ sẽ góp phần giảm phát sinh mảng bám so với thực phẩm đạm và tinh bột. Hơn nữa, tiêu thụ các thực phẩm này còn giúp bạn hạn chế được nhiều bệnh về tim mạch, béo phì...
3. Hạn chế các thực phẩm ngọt
Bánh kẹo, nước ngọt là tác nhân lớn gây nên mảng bám tạo cao răng, không những vậy, khi ăn đồ ngọt mà không vệ sinh răng miệng kĩ sẽ góp phần giúp sin sôi vi khuẩn trong khoang miệng. Chính vì vậy, để hạn chế cao răng, bạn hãy giảm ăn đồ ngọt lại nhé.
>> Tuyệt chiêu đơn giản đẩy lùi căn bệnh mới của thời đại ai cũng cần phải biết
Theo Trí Thức Trẻ