Mùa lạnh là thời điểm mà trẻ em bị nhiễm bệnh về đường hô hấp tăng cao. Các triệu chứng như sốt, sổ mũi, ho thường hay bị cha mẹ chủ quan và cho rằng chỉ là cảm lạnh hoặc cảm cúm thông thường. Mới đây, một trường hợp có những triệu chứng tương tự như vậy, nhưng hậu quả lại khiến cho nhiều người đau lòng.
Ngô Trường Đằng, bác sĩ cấp cứu khoa Nhi ở Bệnh viện Trường Canh, Lâm Khẩu, Đài Loan chia sẻ một trường hợp mình từng tiếp nhận vào tháng trước. Theo đó, một cậu bé 10 tuổi được cha mẹ đưa đến bệnh viện trong tình trạng sốt, chảy nước mũi và một số triệu chứng khác. Gia đình cậu bé nghĩ rằng đây chỉ là cảm nhẹ, nhưng lại có triệu chứng ho dữ dội kèm nôn mửa. Cho đến một ngày, khi uống thuốc không có tác dụng, toàn thân suy nhược, sốt cao 41 độ, khó thở, cậu bé mới được cha mẹ vội vàng đưa đến bệnh viện cấp cứu.

Cậu bé được đặt nội khí quản gấp nhưng vẫn không cứu vãn được tình hình.
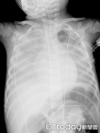
Bác sĩ Ngô nhớ lại rằng, tình hình lúc đó rất nguy cấp, kết quả xét nghiệm ban đầu cho thấy âm tính với bệnh cúm. Tuy nhiên, cậu bé bị tăng bạch cầu và tăng axit chuyển hóa trong máu. Chụp X-quang cho thấy thùy phổi 2 bên có vấn đề. Những dấu hiệu này chứng tỏ cậu bé bị viêm phổi nặng, thậm chí còn có các triệu chứng suy hô hấp và bất tỉnh. Bác sĩ quyết định đặt nội khí quản ngay lập tức.
Không ngờ diễn biến bệnh tình của cậu bé trở nên nặng và nhanh. Ngay sau khi đặt nội khí quản, tim bỗng nhiên ngừng đập. Mặc dù được hô hấp nhân tạo cho đến khi chuyển viện qua tuyến trên, nhưng vẫn không cứu được. Chỉ trong vòng 3 ngày kể từ khi nhập viện, cậu bé đã tử vong. Tin này khiến cho cha mẹ cậu bé không thể tin vào tai mình và ngã quỵ.
Bác sĩ Ngô nói thêm rằng, cậu bé còn bị nhiễm trùng Streptococcus pneumoniae (phế cầu khuẩn). Bệnh do phế cầu khuẩn gây ra có tỷ lệ tử vong cao ở trẻ hơn 1 tuổi, nhưng trường hợp trẻ trên 10 tuổi tử vong là do bệnh đã quá nặng và tương đối hiếm gặp.
Mặc dù đã có vắc xin phế cầu khuẩn cho trẻ em, có thể chống lại 13 loại liên cầu khác nhau, nhưng vẫn còn một số ít chủng phế cầu khuẩn chưa có vắc xin phòng ngừa. Một khi đã xâm nhập vào phổi, nếu không chủ động đi khám sẽ để lại hậu quả đáng tiếc.

Đối với những bệnh nhân nhiễm vi khuẩn Streptococcus pneumoniae, ban đầu sẽ có các triệu chứng về đường hô hấp nhẹ, nhưng sau đó vi khuẩn lan nhanh, khiến tỷ lệ tử vong tăng từ 20% lên 50%.
"Gần gây, mọi người đều lo lắng về dịch Covid-19. Các triệu chứng viêm đường hô hấp trên thường na ná nhau, nên nhiều người chủ quan bỏ qua, nhất là vào mùa thu đông là thời điểm virus hoành hành. Các bậc cha mẹ nên đặc biệt chú ý đến sức khỏe của con mình", bác sĩ Ngô nói.
Bác sĩ Ngô khuyên cha mẹ nên chú ý đến sức khỏe của con mình hơn, ngoài sốt, trẻ còn biếng ăn, lười vận động, dễ mệt mỏi cũng cần lưu tâm. Ngoài ra, nên cho trẻ đi tiêm chủng đầy đủ các loại vắc xin để tạo sức đề kháng cho cơ thể trẻ.
Theo Pháp luật và bạn đọc
