Các bác sĩ vô cùng kinh ngạc khi phát hiện bệnh nhân bị phình đại tràng, đại tràng của anh ta giãn đến 18cm và phần cuối của đại tràng chứa đầy chất thải.
Nhóm nghiên cứu tại Bệnh viện Đại học Newham đã công bố trường hợp bất thường này trên tạp chí Y khoa. Theo hồ sơ bệnh án của người đàn ông cho thấy anh mắc chứng tự kỷ và đã từng nhập viện nhiều lần vì táo bón kể từ năm 2014.
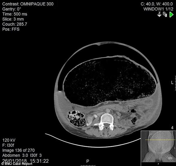
Sau khi kiểm tra tổng quát, các bác sĩ đã tiến hành chụp CT cho bệnh nhân, và nhận thấy đại tràng của anh giãn nở quá mức và bị quá tải chất thải. Các bác sĩ đã đưa cho anh thuốc nhuận tràng và thuốc xổ nhằm giúp giảm bớt tình trạng nhưng người đàn ông kiên quyết từ chối.

Hai ngày sau, nam bệnh nhân nói rằng cơn đau bụng của anh ta đang ngày càng tệ hơn. Bác sĩ quyết định kiểm tra 1 lần nữa và nhận thấy bệnh nhân bị viêm phúc mạc – một bệnh nhiễm trùng đe dọa tính mạng và làm suy giảm ý thức.
Các xét nghiệm sau đó cũng cho thấy thận của anh đã suy yếu, máu tăng dần độ axit. Các bác sĩ sau đó phải tiến hành chụp CT lần hai và lần này phát hiện thấy đại tràng đã bị thủng. Người đàn ông ngay lập tức được đưa đến phòng chăm sóc đặc biệt để tiến hành phẫu thuật.
Sau khi phẫu thuật, bệnh nhân đã dần hồi phục. Bác sĩ chia sẻ: “Bệnh nhân này bị phình đại tràng mãn tính và phình đại tràng. Bệnh án cũ cho thấy bệnh nhân đã nhiều lần bị táo bón, đau bụng, đầy bụng từ khi còn nhỏ cho tới vị thành niên. Những bệnh nhân này có nguy cơ bị loét thành ruột và có nguy cơ thủng đại tràng rất cao.”

Phình đại tràng là bệnh gì?
Phình đại tràng là hiện tượng giãn bất thường của đại tràng, do hậu quả của việc táo bón kéo dài nghiêm trọng. Bệnh gây khó khăn cho việc đi vệ sinh, nó cũng có thể gây áp lực lên bàng quang, gây khó đi tiểu.
Phình đại tràng gây ra các triệu chứng như sau:
- Táo bón kéo dài.
- Đau bụng từng cơn.
- Sờ thấy khối phân cứng ở thành bụng.
- Trẻ em thường có dấu hiệu “tháo cống”, phân ra nhiều sau khi kích thích hậu môn.
- Khi có biến chứng viêm ruột người bệnh thường sốt cao, tiêu phân máu, nhịp tim nhanh và trụy mạch.
Theo Khám phá
