Chủ đề

khối u

khối u

Có khối u ác tính hay không? Bạn có thể nhận biết bằng cách quan sát phần thân dưới!

Từ cơn đau chân cho đến thay đổi thói quen đại tiện... tất cả đều là những thông điệp sức khỏe quan trọng cần chú ý.

Đi khám định kỳ, người đàn ông 54 tuổi tình cờ phát hiện u tuyến nước bọt

U tuyến nước bọt thường không có triệu chứng rõ ràng. Một số bệnh nhân có thể thấy sưng nhẹ và sờ thấy khối u ở vùng trước tai, góc hàm, dưới hàm, vùng cổ, hoặc trong khoang miệng...

Khối u 'khủng' tồn tại hơn 20 năm trên cơ thể người phụ nữ Ninh Bình

Một khối u bướu giáp khổng lồ tồn tại hơn 20 trên cơ thể cụ bà 93 tuổi ở Ninh Bình vừa được phẫu thuật cắt bỏ thành công.

Bất ngờ phát hiện u quái có chứa da, tóc trong lần kiểm tra sức khỏe tổng quát

Cô gái 21 tuổi vào viện khám vì rối loạn kinh nguyệt, được chỉ định kiểm tra sức khỏe tổng quát. Kết quả khám khiến cô bất ngờ vì phát hiện có khối u quái lớn, chứa dịch, bã nhờn, da, tóc...

Người đàn ông 42 tuổi mang khối u nặng 3,6kg trong lồng ngực mà không biết

Khối u trung thất khổng lồ, có kích thước lên tới 30x20 cm, nặng 3,6 kg. Đây là một trong những khối u lớn hiếm gặp trong y văn, đe dọa nghiêm trọng đến chức năng hô hấp của người bệnh.

Người đàn ông mất xương hàm vì bác sĩ "nhầm"

Một người đàn ông ở Rome đã bị cắt bỏ hàm sau khi bác sĩ nhầm kết quả kiểm tra của anh với một bệnh nhân có khối u ác tính nguy hiểm.

Đi khám vì đầy bụng, nữ sinh bàng hoàng nhận tin chỉ còn 1 tuần để sống

Nữ sinh 16 tuổi chỉ đi khám vì bị đầy bụng, sau đó được chẩn đoán gặp một vấn đề sức khỏe cực kỳ hiếm gặp và chỉ còn 1 tuần để sống.

Biến dạng tứ chi do bệnh gout

Có tiền sử bị bệnh gout nhưng không điều trị, gần đây người đàn ông đau nhức, đến viện trong tình trạng chân tay biến dạng, các khớp nhiều khối u lớn.

Suýt mất mạng vì mang khối u khổng lồ 14 năm không điều trị

Khối u trên má phải xuất hiện cách đây 14 năm nhưng người phụ nữ không điều trị, gần đây thấy khối u gây đau, đi khám thì biết u bị vỡ, chảy máu trong.

Tưởng tăng cân, ai ngờ mang khối u nặng 8kg trong bụng

Thấy vùng bụng to lên bất thường nhưng lại nghĩ do tăng cân nên nam thanh niên 23 tuổi không đi khám.

3 dấu hiệu cảnh báo có khối u tại vùng sàn sọ, rất dễ bị nhầm lẫn với đau đầu thông thường

Các khối u sàn sọ thường gặp bao gồm u màng não, u nguyên bào thần kinh khứu giác, u tuyến yên, u dây sống, u sọ hầu, u xương và sụn xương, các ung thư ở xoang cạnh mũi.

4 giờ cân não để phẫu thuật khối u não khổng lồ cho cụ bà 83 tuổi

Bệnh viện Gia An 115 (quận Bình Tân, TP.HCM) vừa phẫu thuật thành công lấy khối u não khổng lồ cho cụ bà 83 tuổi.

4 thắc mắc phổ biến khi bất ngờ sờ thấy u ở ngực

Mọi bất thường ở vòng một cũng có thể khiến chị em lo ngại nguy cơ mắc ung thư vú, bởi đây là loại ung thư phổ biến ở nữ giới.

Căn bệnh rất hiếm gặp khiến cô bé có làn 'da trâu' phủ nửa mặt

Khối u hắc tố màu đen khổng lồ chiếm nửa khuôn mặt cô bé ngay từ khi sinh ra khiến em bị các bạn xa lánh khi đi học.

Mang khối u nặng 10kg nhưng tưởng béo bụng

Bà P. thấy bụng to bất thường, cứng nên được người nhà khuyên đi khám. Kết quả, bệnh nhân có khối u xơ nặng 10kg.

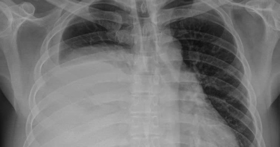
Ho nhiều, khó thở, cô gái 18 tuổi phát hiện điều "khủng khiếp" ở lồng ngực

Nữ bệnh nhân 18 tuổi ho ra máu, người mệt mỏi, khó thở, được chẩn đoán có u quái trưởng thành (lành tính) tại trung thất trước.

Người đàn ông nhận tin mắc u ác tính sau nửa năm đau bụng

Đau tức bụng, khó chịu, anh S. (38 tuổi, ở Quảng Ninh) đi khám phát hiện u sau phúc mạc. Sợ mổ đau, anh tự uống thuốc, nửa năm sau bác sĩ chẩn đoán khối u tiến triển thành ác tính.

Nháy giật mắt cảnh báo 4 vấn đề sức khỏe, thậm chí là xuất hiện khối u

Nhiều người cho rằng nháy giật mắt là điềm báo cho chuyện gì đó, nhưng theo y học, chúng là dấu hiệu cảnh báo nhiều vấn đề sức khỏe.

Bệnh nhân đầu tiên ở Việt Nam điều trị ung thư xương bằng ni tơ lỏng hồi phục thần kỳ

Lần đầu tiên tại Việt Nam, bệnh nhân giữ được xương nguyên bản, không phải sử dụng các loại khớp nhân tạo tốn kém. Sau gần 1 năm, hình ảnh X-quang của bệnh nhân cho thấy xương ghép đã liền và không còn tế bào ung thư.

Cứu bệnh nhân bị 'nổ tung' khối u khổng lồ

Nam bệnh nhân nhập viện trong tình trạng khối u khổng lồ chiếm trọn vùng hàm dưới đè ngang cổ bị vỡ, máu tuôn ào ạt. Các bác sĩ đã nỗ lực cấp cứu, giữ lại sinh mạng người bệnh khi đã cận kề cửa tử.