
Vừa qua, Khoa Phẫu thuật Lồng ngực và Mạch máu, Bệnh viện Bạch Mai đã thực hiện thành công một ca phẫu thuật đầy thách thức: Cắt bỏ hoàn toàn khối u trung thất khổng lồ, có kích thước lên tới 30x20 cm, nặng 3,6 kg. Đây là một trong những khối u lớn hiếm gặp trong y văn, đe dọa nghiêm trọng đến chức năng hô hấp của người bệnh.
2 năm gắng gượng vì chủ quan
Nam bệnh nhân 42 tuổi đến Bệnh viện Bạch Mai trong tình trạng đau tức ngực, khó thở tăng dần, đặc biệt khi nằm. Triệu chứng này thực tế đã âm ỉ từ 2 năm trước, khiến anh luôn trong trạng thái mệt mỏi, không thể lao động nặng, nhưng do chủ quan nên không đi khám. Chỉ đến khi cảm giác đau tức ngực và khó thở tăng lên rõ rệt, anh mới tới bệnh viện kiểm tra.


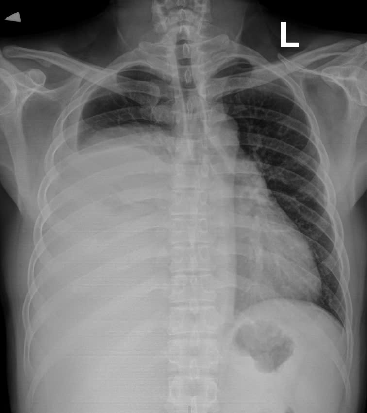
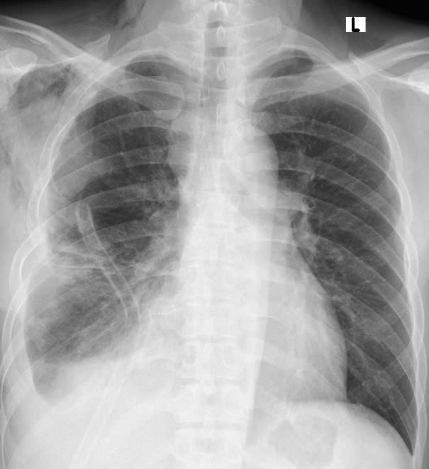
Hình ảnh phim chụp X.quang trước và sau khi phẫu thuật. (Hình trước phẫu thuật bên trái). Ảnh BVCC
Qua thăm khám và chụp cắt lớp vi tính lồng ngực, các bác sĩ phát hiện khối u trung thất khổng lồ nằm lệch trong khoang màng phổi phải, chèn ép gây xẹp gần như toàn bộ phổi phải, đẩy lệch cơ hoành. Kết quả sinh thiết xác định đây là u bao sợi thần kinh Schwannoma - Một loại u lành tính hiếm gặp xuất phát từ bao thần kinh nhưng kích thước "khủng" hiếm thấy. Khối u xâm chiếm khoang ngực, gây xẹp gần như toàn bộ phổi phải
Cuộc phẫu thuật đầy thách thức
Khối u không chỉ lớn mà còn nằm sâu trong lồng ngực - một không gian vốn dĩ bị giới hạn bởi các xương sườn. Dù đã sử dụng dụng cụ banh rộng khe liên sườn tối đa, kíp mổ vẫn không thể đưa khối u ra ngoài nguyên vẹn. Các bác sĩ buộc phải quyết định cắt bỏ một đoạn xương sườn để mở rộng đường vào, tạo không gian thao tác.
"Trong quá trình phẫu tích, khối u dính chặt vào mạch máu trung thất, có vỏ mềm và tăng sinh nhiều mạch máu gây chảy máu ồ ạt. Ê kíp đã có sự chuẩn bị từ trước, xác định ca mổ có nguy cơ chảy nhiều máu, bệnh nhân được chuẩn bị sẵn sàng máu để truyền. Trong mổ bệnh nhân được truyền bù 02 đơn vị máu, đồng thời ê kíp nhanh chóng kiểm soát tình hình bằng kỹ thuật kiểm soát cuống mạch nuôi khối u và khâu buộc thắt mạch cầm máu. Việc tiếp cận và bóc tách đòi hỏi độ chính xác tuyệt đối để tránh tổn thương các cơ quan quan trọng như tim, phổi và mạch máu lớn. Sau 02 giờ căng thẳng, khối u khổng lồ đã được lấy trọn vẹn ra ngoài, phổi phải giãn nở trở lại, hồi phục hình thái và chức năng bình thường", TS.BS Ngô Gia Khánh - Trưởng khoa Phẫu thuật Lồng ngực và Mạch máu chia sẻ.
Chỉ một ngày sau mổ, bệnh nhân đã có thể ngồi dậy, đi lại nhẹ nhàng và xuất viện sau 4 ngày trong trạng thái khỏe mạnh, nhẹ nhõm. "Tôi có cảm giác như được sống lại lần thứ hai. Cảm ơn các bác sĩ của Bệnh viện Bạch Mai đã mang lại cho tôi một cuộc đời mới", bệnh nhân xúc động nói.
Ca mổ thành công không chỉ nhờ tay nghề vững vàng của các phẫu thuật viên Khoa Phẫu thuật Lồng ngực và Mạch máu mà còn đến từ sự phối hợp chặt chẽ, chuẩn bị kỹ lưỡng và tinh thần trách nhiệm cao của toàn bộ ê kíp y bác sĩ, Trung tâm Gây mê Hồi sức, Trung tâm Huyết học và Truyền máu - Bệnh viện Bạch Mai.

Khối u có kích thước 30x20 cm, nặng 3,6 kg, xâm chiếm gần như toàn bộ khoang ngực của bệnh nhân. Ảnh BVCC
Lời cảnh tỉnh từ một ca bệnh
Trường hợp này là một lời cảnh tỉnh cho rất nhiều người: Đừng chủ quan với các dấu hiệu bất thường của cơ thể, đặc biệt là cảm giác mệt mỏi, tức ngực kéo dài. Việc khám sức khỏe định kỳ là vô cùng quan trọng để phát hiện sớm và điều trị kịp thời các bệnh lý nguy hiểm.
TS.BS Ngô Gia Khánh cho biết: "U trung thất thường không có triệu chứng rõ ràng ở giai đoạn sớm. Vì vậy, khi thấy các triệu chứng như: Đau ngực dai dẳng, khó thở khi nằm, ho khan không rõ nguyên nhân thì người bệnh nên đi khám sớm".

Theo Gia đình và Xã hội