Chủ đề

Lăn kim

Lăn kim

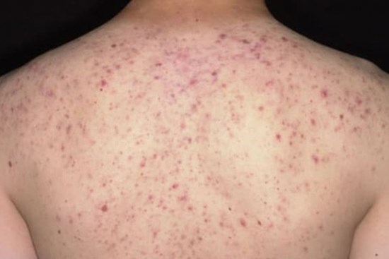
Lăn kim trị mụn lưng, người phụ nữ trẻ suýt mất mạng

Sau 30 phút thực hiện trị mụn lưng tại cơ sở thẩm mỹ, nữ bệnh nhân xuất hiện đỏ toàn thân, ngứa, khó thở và được đưa đến bệnh viện trong tình trạng sốc nặng, giảm ôxy máu, lơ mơ…

Đi lăn kim tại spa trôi nổi với giá 40 triệu đồng, người phụ nữ nhận cái kết "đắng": Mặt mưng mủ, nhiễm trùng khủng khiếp

Khi nhập viện, mặt người phụ nữ đã trong tình trạng đỏ da, phù nề, bưng mủ, rỉ dịch... gây đau nhức khó chịu.

Từ vụ 2 người bị nhiễm HIV sau khi lăn kim, chuyên gia muốn bạn nhớ rõ điều này

Lăn kim làm đẹp da đòi hỏi sự thận trọng cao, nếu không, bạn khó tránh khỏi nguy cơ mắc bệnh

Góc cảnh báo: Cứ thích lăn kim, lột da nữa đi, bạn sẽ 'mất mặt' như chơi đó!

Phái đẹp đua nhau đi lăn kim, lột da mà không hề biết rằng, nếu không may chúng sẽ để lại hậu quả kinh hoàng dưới đây.

Hướng dẫn cách dưỡng da sau lăn kim với 3 lưu ý "sống còn"!

Nếu không biết cách chăm sóc sau liệu trình sẽ để lại biến chứng khó chữa như sạm và nám, thậm chí dẫn đến hoại tử.

Lăn kim - Phương pháp làm đẹp được cho là "thần thánh" nhưng chứa đầy rủi ro

Lăn kim vỗn dĩ là tác động làm đau từng tế bào da để kích thích khả năng tự làm lành, đàn hồi và chữa trị các vấn đề về da nhưng sau khi thực hiện, làn da thậm chí còn hư tổn nghiêm trọng hơn.

9X xinh đẹp chia sẻ trải nghiệm 'tiền mất tật mang' vì lăn kim

Chạy theo trào lưu làm đẹp bằng phương pháp lăn kim, Ngọc Bích đã phải gánh chịu hậu quả nặng nề chỉ sau 3 buổi trải nghiệm.

Những điều cần biết khi làm đẹp da bằng phương pháp lăn kim

Cụ thể phương pháp lăn kim là gì và có thể mang đến tác dụng như thế nào cho da?

Lăn kim "rạch da" trị bọng mắt và quầng thâm liệu có an toàn?

Với tác động gây tổng thương nhỏ trên da, liệu phương pháp này có an toàn với vùng da mắt mỏng manh.