Trung tâm chống độc, Bệnh viện Bạch Mai (Hà Nội) cho biết tại đây vừa tiếp nhận điều trị cho nữ bệnh nhân 36 tuổi trong tình trạng sốc nặng, huyết áp không đo được, giảm ôxy máu, lơ mơ.
Bệnh nhân H. cho biết chị có đến cơ sở thẩm mỹ để tẩy mụn trứng cá ở lưng. Nhân viên spa bôi thuốc tê nửa lưng rồi ủ tê bằng màng bọc thực phẩm. Sau khi lau thuốc tê, bước tiếp theo là dùng bàn lăn kim (dài 2 mm) kết hợp với thuốc đông y để trị mụn.

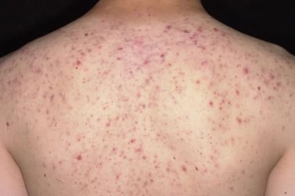
Hình ảnh mụn lưng của nữ bệnh nhân - Ảnh: Tiểu Vũ
Khoảng 30 phút sau khi lăn kim, chị H. xuất hiện đỏ toàn thân, ngứa, khó thở và rối loạn ý thức. Chủ cơ sở sơ cứu tại chỗ và chuyển chị đến Trung tâm chống độc, Bệnh viện Bạch Mai.
Tại Trung tâm chống độc, bệnh nhân được chẩn đoán sốc phản vệ kết hợp bị ngộ độc lidocain (thuốc gây tê tại chỗ hấp thu qua da trên diện rộng và từ từ gây ngộ độc). Các bác sĩ cấp cứu kết hợp lọc máu liên tục cho bệnh nhân. Sau 5 ngày điều trị tích cực, sức khỏe bệnh nhân đã dần hồi phục.
Bác sĩ Nguyễn Trung Nguyên, Giám đốc Trung tâm chống độc, Bệnh viện Bạch Mai, cho biết loại thuốc tê đã dùng cho bệnh nhân ở dạng gel chứa lidocain với hàm lượng trên 15% (hàm lượng rất cao so với loại thuốc tê dùng để tiêm thường chỉ ở nồng độ 2%).
Loại gel gây tê này đồng thời có chứa tá dược là methyl paraben có thể gây dị ứng. Trường hợp bệnh nhân là điển hình của ngộ độc thuốc tê do bị quá liều thuốc tê lidocain. Bệnh nhân không may bị sốc phản vệ nhiều khả năng là do methyl paraben.
Bác sĩ Nguyên khuyến cáo ngộ độc thuốc gây tê rất nặng, nguy kịch, dễ tử vong và dễ dàng xảy ra với nhiều phẫu thuật. Chẳng hạn bôi thuốc tê rộng trên da, đặc biệt kết hợp lăn kim trên da hoặc trên vùng da có tổn thương hoặc bệnh da có sẵn, gây tê lấy mỡ bụng ("xục" lấy mỡ bụng), gây tê tủy sống.
Đây đều là các trường hợp đòi hỏi người thực hiện là các nhân viên y tế được đào tạo chuyên khoa và tiến hành ở các bệnh viện có điều kiện cấp cứu hồi sức mới có thể đủ năng lực phòng tránh và xử trí các tai biến ngộ độc do thuốc tê.
"Người dân khi muốn làm thẩm mỹ với các thủ thuật, kỹ thuật xuyên qua da (gây chảy máu, hay còn gọi là các thủ thuật/kỹ thuật xâm nhập thường bằng kim hoặc dao mổ) hoặc có bôi/đắp các thuốc trên diện da rộng cần tới các bệnh viện đảm bảo đúng chuyên môn về thẩm mỹ và cấp cứu hồi sức, không nên đến các tiệm spa, hớt tóc hoặc các phòng khám không đảm bảo an toàn..."- bác sĩ Nguyên khuyên.
Theo NLD
