Mắc ung thư không phải dấu chấm hết. Nếu bệnh nhân điều trị đúng cách, tinh thần lạc quan, tin tưởng vào bác sĩ điều trị thì cơ hội sống không hề mong manh".
Nhiều người mắc ung thư cứ đi tìm kiếm "thần dược" là những loại thực phẩm chức năng, hay thảo dược này nọ được đồn thổi chữa được ung thư mà bỏ lỡ mất cơ hội vàng chữa bệnh. Đến khi tìm đến bệnh viện thì đã muộn.
Lời khuyên của TS.BS Nguyễn Quang Hùng, Phó giám đốc Trung tâm Y học hạt nhân và ung bướu (Bệnh viện Bạch Mai) nói trên, tuy ngắn gọn nhưng chính là điều bệnh nhân ung thư cần làm để có thể chống lại căn bệnh quái ác này.
Hồi phục kỳ diệu của bệnh nhân
Theo TS.BS Nguyễn Quang Hùng, Phó giám đốc Trung tâm Y học hạt nhân và ung bướu (Bệnh viện Bạch Mai), Trung tâm đã điều trị cho những bệnh nhân ung thư khá đặc biệt.
Có trường hợp bệnh nhân mắc hai căn bệnh ung thư cùng một lúc hoặc gia đình có hai mẹ con cùng mắc ung thư. Nhiều trường hợp bệnh nặng và muộn, tiên lượng xấu…
Trường hợp bệnh nhân Nguyễn Kim Hiền (38 tuổi, tại Hà Nội – tên nhân vật đã được thay đổi) bệnh nhân được chẩn đoán ung thư cổ tử cung giai đoạn muộn.
Bệnh nhân đã điều trị tại một bệnh viện tuyến trung ương nhưng không hiệu quả nên đã xin về chăm sóc tại nhà.
Khi về nhà chị Hiền đã áp dụng chế độ ăn chay, nhịn ăn với kỳ vọng "bỏ đói khối u". Do dinh dưỡng không đủ đáp ứng nhu cầu cần thiết cho hoạt động của cơ thể nên chị Hiền đã bị suy kiệt từ 52kg, chị chỉ còn 36kg (da bọc xương).
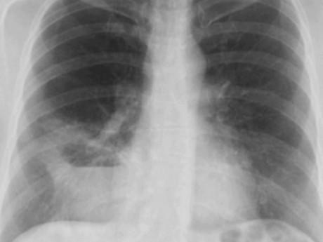
Bác sĩ Hùng cho hay, bệnh nhân Hiền tới Trung tâm điều trị không phải do bị mắc ung thư cổ tử cung mà có triệu chứng ho nhiều, đau ngực. Qua thăm khám và phim chụp CT scanner lồng ngực đã xác định chị Hiều có khối u tại phổi.
Về vấn đề logic trên lâm sàng, các bác sĩ tại Trung tâm nghĩ nhiều tới ung thư cổ tử cung di căn phổi. Nhưng khi sinh thiết tại tử cung và phổi thì là hai loại ung thư khác nhau.
"Cùng một lúc bệnh nhân có tới hai loại ung thư việc điều trị trở thành thách thức với các bác sĩ lâm sàng. Vì cả hai loại ung thư của bệnh nhân đều ở giai đoạn muộn, trên nền cơ thể bị suy kiệt do nhịn ăn", bác sĩ Hùng cho biết.
Lần điều trị này bệnh nhân Hiền đã tin tưởng hoàn toàn và nghe theo theo mọi chỉ định của bác sĩ. Bệnh nhân được kết hợp nhiều phương pháp điều trị và dùng thuốc. Sau 2 năm điều trị bệnh nhân đã kiểm soát được bệnh ung thư, khối u phổi từ 7cm, hiện tan hết, không còn tổn thương ở cổ tử cung.
Bên cạnh đó, bệnh nhân cũng đã thay đổi chế độ dinh dưỡng ăn uống đa dạng các dưỡng chất từ 36kg lên 52kg. Từ một người nằm chờ chết bệnh nhân đã tự đi lại phục vụ sinh hoạt cho bản thân và khi có thời gian còn đi du lịch nước ngoài.
Hiện tại, bệnh nhân đang tiếp tục được điều trị duy trì ở Trung tâm.

Bác sĩ Hùng cho hay sau 2 năm điều trị ung thư bệnh nhân đã kiểm soát được bệnh.
Còn trường hợp bệnh nhân ung thư vú Nguyễn Thị Khuyên 36 tuổi (tên bệnh nhân đã thay đổi) đã có hai con, sống tại địa bàn Hà Nội.
Bệnh nhân được chẩn đoán mắc ung thư vú điều trị tại bệnh viện tuyến trung ương nhưng trả về. Do bệnh ở giai đoạn muộn, tiến triển nặng, đáp ứng điều trị kém, xuất hiện nhiều tổn thương di căn não di căn xương và nhiều cơ quan khác.
Khi về nhà bệnh nhân tiếp tục được theo dõi, chăm sóc triệu chứng, nhưng tình trạng bệnh nhân nặng lên đã được gia đình đưa tới bệnh viện Bạch Mai. Qua khai thác bệnh sử thì bà, chị gái của bệnh nhân Khuyên cũng đã từng bị mắc ung thư vú.
Sau một thời gian dài điều trị tình trạng ung thư vú của bệnh nhân đã được kiểm soát. Từ một người bệnh không còn cơ hội sống, mất khả năng vận động, đến nay bệnh nhân đã tự đi tới bệnh viện khám và tiếp tục điều trị duy trì như một người không bệnh (nhìn bên ngoài).
Ung thư vẫn có cơ hội sống
Bác sĩ Hùng cho hay hai bệnh nhân Hiền và Khuyên là hai trường hợp khá đặc biệt đều đã bị bệnh viện trả về, nhưng Trung tâm đã điều trị thành công.
Mắc ung thư không phải dấu chấm hết, nếu như bệnh nhân điều trị đúng cách, tinh thần lạc quan, tin tưởng vào bác sĩ điều trị thì cơ hội sống không hề mong manh.
Ung thư hoàn toàn có thể ngăn ngừa được nếu như chúng ta có ý thức bảo vệ sức khỏe. Nên có chế độ ăn khoa học cân đối dinh dưỡng, ăn nhiều rau xanh và hoa quả tươi. Tránh xa rượu bia thuốc lá và những chất gây ung thư.
Tăng cường hoạt động thể chất để có sức khỏe, nâng cao sức đề kháng của cơ thể chống đỡ với bệnh tật. Đặc biệt, người dân cần phải chú ý nên đi khám sức khỏe định kỳ ngay cả khi sức khỏe vẫn tốt.
"Những căn bệnh ung thư cần lưu tâm đặc biệt ở hai giới sau tuổi 40 như: Ung thư gan, Ung thư phổi , ung thư dạ dày, ung thư vú, ung thư cổ tử cung, ung thư đại trực tràng…", bác sĩ Hùng nói
Theo Trí thức trẻ
