Bệnh nhân Trịnh Thị C (69 tuổi, Hà Nội), bắt đầu biểu hiện bệnh từ khoảng 30 năm về trước. Bà thường xuyên có những đợt ho khạc đờm kéo dài hàng tháng, một năm 3-4 đợt, điều trị có khi đỡ được 2-3 năm sau, tình trạng tái diễn.
Tháng 10/ 2018 bà đã điều trị một đợt tại bệnh viện khác, sau khi chụp phim cắt lớp vi tính lồng ngực thì phát hiện có một thùy phổi biệt lập bên phổi trái. Bác sĩ chỉ định phẫu thuật cắt bỏ thùy phổi biệt lập này.

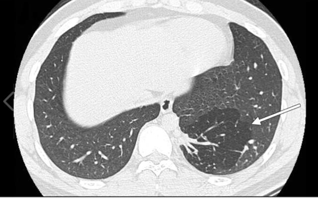
Hình ảnh chụp cho thấy có một thuỳ phổi biệt lập bên phổi trái của bà C
Bà quyết định chọn khu Phẫu thuật Theo yêu cầu, Bệnh viện Trung ương Quân đội 108 để thực hiện ca phẫu thuật. Ngày 25/10 ca phẫu thuật diễn ra thành công, bằng phẫu thuật nội soi lồng ngực các bác sĩ đã cắt bỏ hoàn toàn thùy phổi biệt lập. Sau phẫu thuật 5 ngày, sức khỏe của bệnh nhân đã hồi phục và có thể ra viện.
Các bác sĩ cho biết, phổi biệt lập là một rối loạn phát triển thời kỳ bào thai dẫn đến hình thành một khối kén mô phổi không có chức năng, khối này được nuôi dưỡng bởi một động mạch bất thường.
Đây là tình trạng phát triển bất thường của phổi, trong đó có một phát triển thành mô phổi có nguồn động mạch cấp cứu riêng, không chung với nguồn cung cấp máu động mạch phổi.
Mô được cô lập này không được kết nối với khí phế quản, vì vậy không góp phần vào sự hô hấp của cơ thể. Đây là một dị tật bẩm sinh hiếm gặp của đường hô hấp, ước tính chiếm 0,15-6,4% của tất cả dị dạng phổi bẩm sinh.
Phổi biệt lập ngoại thuỳ (một loại phổi biệt lập) thường có biến chứng ho máu, xuất huyết khoang màng phổi, nhiễm trùng mãn tính, giãn phế quản, lao phổi, nấm phổi, thậm chí, Ung thư phổi .
Bệnh phổi biệt lập thường chỉ có các triệu chứng không đặc hiệu như: Ho, ho ra máu, đau ngực. Vì vậy, bệnh nhân cần phối hợp tốt với thầy thuốc thực hiện thêm các kỹ thuật chẩn đoán hình ảnh như chụp cắt lớp vi tính, chụp cộng hưởng từ để phát hiện sự hiện diện của động mạch nuôi khối kén mô phổi là chẩn đoán xác định bệnh.
Khi đã phát hiện được bệnh thì cần mổ sớm để tránh nhiễm khuẩn, ảnh hưởng đến các vùng phổi bình thường vì có thể phải cắt bỏ cả phần phổi lành bị viêm nhiễm này.
Theo Khám phá
