
Nam sinh N.H.N.A (15 tuổi, trú tại TPHCM) đến một cơ sở y tế tại Phan Văn Trị (TPHCM) khám sức khỏe, tiền sử không có triệu chứng nào bất thường.
Nam sinh này chưa từng làm các xét nghiệm đánh giá bệnh lý về thận trước đó (siêu âm bụng, tổng phân tích nước tiểu, Creatinin) nhưng gia đình có tiền sử bệnh thận đa nang.
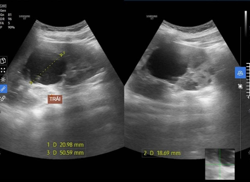
Khi khám, bác sĩ phát hiện hình ảnh siêu âm bụng phát hiện thận đa nang hai bên (thận trái > 7 nang, thận phải >10 nang), kích thước thận to, chưa có suy giảm chức năng thận. Bác sĩ tiếp tục tư vấn bệnh nhân làm thêm các xét nghiệm tầm soát biểu hiện ngoài thận của bệnh thận đa nang như: Siêu âm bụng (nang gan, nang tụy...), điện tim, siêu âm tim (bệnh van tim, bệnh mạch vành...).
Dựa vào kết quả lâm sàng và cận lâm sàng, bác sĩ chẩn đoán A. mắc bệnh thận mạn giai đoạn 1 và thận đa nang chưa có biểu hiện tại thận cũng như ngoài thận.
Gia đình của A. có 3 thế hệ đều mắc bệnh này: Bà ngoại được chẩn đoán năm 60 tuổi. Mẹ A. phát hiện năm 35 tuổi; dì ruột (em gái mẹ) năm 33 tuổi.
Chị gái (17 tuổi): Đã siêu âm bụng, chưa phát hiện thận đa nang tại thời điểm khám chung với A.

Theo bác sĩ chuyên khoa 2 Nguyễn Thị Mỹ Lệ - Chuyên khoa Nội, trường hợp của A. là đời thứ ba mang bệnh thận đa nang. Đây là một rối loạn di truyền, đặc trưng bởi thận to và hình thành nhiều nang ở thận. Có khoảng 25% trường hợp chưa được chẩn đoán, vì không có biểu hiện lâm sàng.
Số lượng nang sẽ tăng dần theo thời gian kèm chức năng thận dần suy giảm theo tuổi. Nếu không được phát hiện và theo dõi sớm, thận đa nang có thể tiến triển đến bệnh thận mạn giai đoạn cuối, buộc phải thay thế thận (chạy thận nhân tạo, lọc màng bụng, ghép thận).
Ngoài ra, bệnh còn gây tăng huyết áp, sỏi thận, nhiễm trùng tiểu, đau lưng, tiểu máu, hay các biến chứng ngoài thận như nang gan, phình động mạch não (nguy cơ xuất huyết não) và bệnh lý tim mạch.
Theo bác sĩ Lệ, khi đã được chẩn đoán thận đa nang cần phải có chương trình quản lý, theo dõi định kỳ để kiểm soát huyết áp, bảo vệ thận một cách tối đa, chậm diễn tiến đến bệnh thận mạn giai đoạn cuối, đánh giá nguy cơ suy thận tiến triển nhanh, đánh giá điều trị các biến chứng tại thận.

Theo VietNamNet