Ngày 25/8, thông tin từ Bệnh viện Đa khoa Hùng Vương (Phú Thọ) cho biết, các bác sĩ đơn vị này vừa cấp cứu thành công một bệnh nhân 34 tuổi bị nhồi máu cơ tim cấp.
Theo đó, bệnh nhân được đưa vào viện trong tình trạng đau ngực dữ dội. Theo lời kể của người nhà, bệnh nhân có tiền sử hút thuốc lá nhiều năm. Buổi chiều trước khi vào viện, bệnh nhân bị khó thở.
Tại bệnh viện, các bác sĩ trực cấp cứu nhận thấy dấu hiệu bệnh nhân bị nhồi máu cơ tim cấp, huyết áp bắt đầu tụt, lactac bắt đầu tăng, sắp đi vào sốc. Trước tình thế nguy cấp, kíp trực đã gọi điện cho các bác sĩ khoa Tim mạch của bệnh viện đến hỗ trợ cấp cứu người bệnh.

Ngay khi nhận được điện thoại từ đồng nghiệp, BS Việt Anh, Khoa Tim mạch đã lập tức đến ngay bệnh viện.
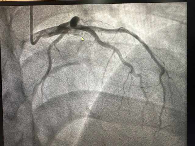
Khi chụp mạch vành, các bác sĩ phát hiện bệnh nhân bị tắc cụt hoàn toàn động mạch liên thất trước từ đoạn đầu, diện nhồi máu rất lớn, lý giải phần nào cho việc bệnh nhân đi vào sốc sớm.
Theo BS Việt Anh, may mắn, sau 45 phút can thiệp, mạch vành tắc đã được tái thông, bệnh nhân tạm thời qua cơn nguy kịch.
Nhồi máu cơ tim đang gia tăng ở người trẻ
Theo Tổ chức Y tế thế giới (WHO), ước tính mỗi năm toàn cầu có 17,5 triệu người tử vong do các bệnh tim mạch. Trong đó, nhồi máu cơ tim là cấp cứu khẩn, nếu không điều trị kịp thời, nguy cơ tử vong là 50%.
Tại Việt Nam, mỗi năm khoảng 200.000 người tử vong vì bệnh tim mạch, chiếm 33% tổng số ca tử vong. Tỷ lệ này gấp đôi số người qua đời vì bệnh ung thư, và đây cũng là bệnh lý gây tử vong nhiều nhất hiện nay.
Các bác sĩ Bệnh viện Trung ương Quân đội 108 cho biết, nhồi máu cơ tim cấp là một tình trạng nguy hiểm tính mạng, xảy ra khi dòng máu đến cơ tim đột ngột bị ngừng trệ, dẫn đến thiếu máu mô cơ tim.
Bệnh thường là kết quả của sự tắc nghẽn của hệ thống mạch vành. Tắc nghẽn có thể do sự hình thành mảng xơ vữa tại chỗ với thành phần chủ yếu là chất béo, cholesterol và sản phẩm thải của tế bào hoặc do huyết khối từ nơi khác đến làm giảm đột ngột dòng máu đến tim.
Triệu chứng của nhồi máu cơ tim cấp rất đa dạng nhưng điển hình là đau ngực và khó thở. Các triệu chứng bao gồm cảm giác nặng ngực hoặc thắt bóp trong tim; đau vùng ngực lan ra sau lưng, lên hàm hoặc cánh tay trái; khó thở, vã mồ hôi, buồn nôn, cảm giác ngột thở, nhịp tim nhanh, mệt mỏi…
Đáng chú ý, nếu như trước đây, nhồi máu cơ tim được biết đến là bệnh thường gặp ở người cao tuổi thì hiện tại, nhồi máu cơ tim đang có xu hướng trẻ hóa. Nghĩa là người trẻ mắc nhồi máu cơ tim nói riêng và bệnh lý tim mạch nói chung đang có xu hướng tăng cao. Đây thực sự là vấn đề đáng báo động của bệnh nhồi máu cơ tim, cũng như mức độ nguy hiểm của bệnh đối với giới trẻ hiện nay.
Ai có nguy cơ bị nhồi máu cơ tim?
Cũng theo các bác sĩ Bệnh viện Trung ương Quân đội 108, yếu tố chính thúc đẩy quá trình tạo mảng xơ vữa là chất béo trong máu. Do đó, ăn nhiều thực phẩm chiên rán và chế biến sẵn, thịt, thực phẩm hàng ngày chứa nhiều chất béo không có lợi và chất béo chuyển hóa bão hòa gây nguy cơ cao dẫn đến nhồi máu cơ tim. Trong đó, béo phì có thể tăng nguy cơ gặp tình trạng này.

Những người thừa cân, béo phì, thường xuyên hút thuốc lá, rượu bia, căng thẳng... là nhóm nguy cơ dễ bị nhồi máu cơ tim. Ảnh minh họa
Các yếu tố nguy cơ có thể dẫn đến nhồi máu cơ tim như: Hút thuốc lá, rối loạn chuyển hóa lipid máu, đái tháo đường, tăng huyết áp, thừa cân nặng, lười vận động, thường xuyên stress, sử dụng chất kích thích; uống nhiều rượu bia…
Bên cạnh đó, nhóm bệnh nhân tăng huyết áp, đái tháo đường, từng bị tai biến mạch máu não hoặc có tiền căn nhồi máu cơ tim, tiền căn gia đình có người mắc bệnh động kinh cũng có nguy cơ cao mắc bệnh lý về tim mạch.
Để phòng tránh mắc các bệnh lý tim mạch, nhất là tình trạng nhồi máu cơ tim cấp, các chuyên gia khuyến cáo, người dân cần thay đổi lối sống, chế độ sinh hoạt một cách khoa học. Không hút thuốc lá, thuốc lào hoặc bất kỳ loại thuốc lá mới nào; xây dựng chế độ ăn uống, dinh dưỡng hợp lý; hạn chế rượu bia, chất kích thích, chất béo. Ổn định cân nặng ở mức tương đối, phù hợp.
Cùng với đó, kết hợp tập luyện thể dục, vận động thường xuyên; giữ tinh thần thoải mái, tránh stress, áp lực trong thời gian dài.
Ngoài ra, thực hiện khám sức khỏe định kỳ 1-2 lần/năm để đảm bảo sức khỏe, tầm soát bệnh nói chung. Đặc biệt, đối với người trẻ có nguy cơ tăng huyết áp, nhiều cholesterol, đái tháo đường, gia đình có người bị nhồi máu cơ tim cần khám sức khỏe thường xuyên để dự phòng các yếu tố nguy cơ.
Theo Gia đình & xã hội
