Đó là trường hợp của bà L.T.M (45 tuổi, ngụ tại tỉnh Bà Rịa – Vũng Tàu). Ngày 20/2, thông tin từ Bệnh viện Quân y 175 TPHCM cho biết, bệnh nhân nhập viện trong tình trạng xuất hiện các cơn co giật.
Gia đình bệnh nhân cho biết, khoảng 3 tháng trước, người bệnh thường xuyên mất ngủ, kèm theo những hành vi bất thường như tự cười, nói những câu vô nghĩa một mình, ít giao tiếp với mọi người xung quanh. Bệnh nhân đã được đưa đi khám ở 3 bệnh viện và đều được chẩn đoán bị loạn thần nhưng điều trị không mang lại kết quả. Tình trạng ngày càng trầm trọng, người bệnh bắt đầu la hét, khóc cười và xuất hiện các cơn co giật.

Nữ bệnh nhân được chẩn đoán bị loạn thần nhưng điều trị nhiều bệnh viện không mang lại kết quả (ảnh: BVCC)
Khi vào viện cấp cứu tại Bệnh viện Quân y 175, bệnh nhân đã suy giảm ý thức, mất tự chủ, la hét, hoảng loạn. Bệnh viện đã tiến hành hội chẩn liên chuyên khoa tìm nguyên nhân.
BS Huỳnh Thị Như Ý, Trưởng nhóm bệnh lý Thần Kinh tự miễn, Khoa Nội thần kinh, Bệnh viện Quân y 175 cho biết: “Qua các kết quả điện não và xét nghiệm dịch não tủy, chúng tôi đã tìm ra căn nguyên của người bệnh là do bệnh lý viêm não tự miễn. Ngay sau đó, người bệnh được truyền các thuốc điều trị đặc hiệu nhằm nhanh chóng làm giảm các tác động gây hại của kháng thể đến các tế bào thần kinh”.
BS Hoàng Tiến Trọng Nghĩa – Chủ nhiệm khoa Nội Thần kinh chia sẻ: “Nhờ vào kinh nghiệm điều trị các ca bệnh tương tự trước đây với những điểm tương đồng, chúng tôi nhận định đây là một trường hợp rất nặng, việc điều trị tích cực để loại bỏ kháng thể gây bệnh bằng phối hợp điều trị thay huyết tương là cần thiết để cứu lấy bộ não người bệnh, sau đó phải nhanh chóng tìm ra các yếu tố thủ phạm âm thầm gây bệnh”.

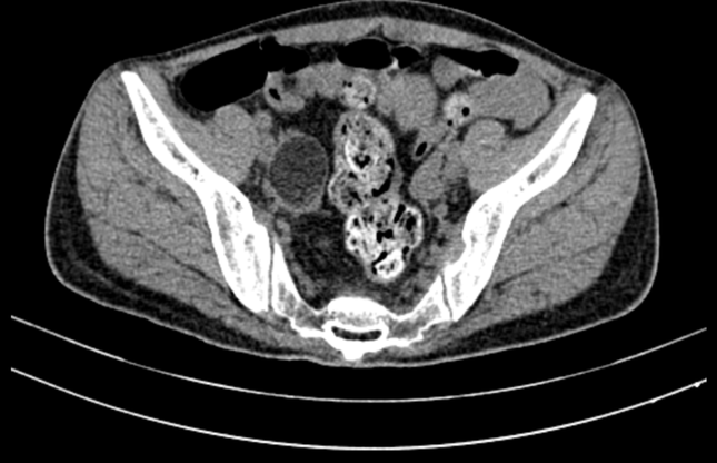
Hình ảnh khối u quái buồng trứng bên phải - nguyên nhân gây bệnh lý viêm não tự miễn cho bệnh nhân (ảnh: BVCC)
Qua chẩn đoán hình ảnh, các bác sĩ phát hiện bệnh nhân bị khối u ở buồng trứng. Kết quả sinh thiết tế bào dưới kính hiển vi cho thấy đây là dạng u quái - nguyên nhân gây bệnh viêm não tự miễn kháng thể kháng thụ thể NMDA ở phụ nữ. Sau 7 lần thay huyết tương, người bệnh được phẫu thuật nội soi cắt u quái thành công. Gần 1 tháng sau cuộc mổ, sức khỏe của người bệnh đã bình phục tốt, đủ điều kiện xuất viện.
Viêm não tự miễn là bệnh lý hiếm gặp. Nguyên nhân là do các tự kháng thể bất thường được sinh ra trong cơ thể người bệnh. Bình thường các kháng thể có vai trò bảo vệ cơ thể, giúp cơ thể chống chọi lại những tác nhân nguy hại từ môi trường như vi rút, vi khuẩn… Tuy nhiên ở một số trường hợp bất thường bệnh lý, các kháng thể này lại tấn công chính các tế bào thần kinh, gây ra thương tổn ở não bộ.
Theo Tienphong
