Chị Dương bị sảy thai nhiều lần nhưng không hề có vấn đề về sức khỏe sinh sản, hóa ra nguyên nhân lại đến từ một căn bệnh quen thuộc ai cũng có thể mắc.
Mang bầu và sinh con là mong ước của tất cả chị em phụ nữ, tuy nhiên chẳng phải ai cũng dễ dàng thực hiện vai trò thiêng liêng đó. Không ít bà mẹ đã phải chấp nhận đánh mất những đứa con bé bỏng khi chúng còn chưa kịp chào đời, nhưng nếu liên tục bị sảy thai, mọi người cần phải đi khám để tìm ra gốc rễ nguyên nhân.
Chị Dương (sống tại Trịnh Châu, Hà Nam, Trung Quốc) cũng nằm trong những hoàn cảnh đó. Chị đã bị sảy thai 4 lần trong vòng 3 năm mà không rõ lý do. Ngay cả khi đã đến viện làm các bài kiểm tra khác nhau, bác sĩ cũng không thể tìm ra điều gì bất thường về sức khỏe sinh sản của chị.

Vậy thì đâu là nguyên nhân khiến chị Dương bị sảy thai liên tục trong suốt 3 năm? Sau khi kiểm tra chi tiết về sức khỏe của chị, bác sĩ nhận ra chị Dương đã mắc bệnh viêm nha chu nặng, đây chính là nguyên nhân chính khiến cho chị bị sảy thai nhiều lần.
Tại sao bệnh viêm nha chu lại khiến chị Dương bị sảy thai nhiều lần?
Nghe lý do chị Dương bị sảy thai, hẳn ai cũng cảm thấy thắc mắc vì sao lại liên quan đến một căn bệnh bình thường như vậy. Theo bác sĩ Trần Trác, trưởng khoa Nha khoa tại Bệnh viện Trung ương Trịnh châu liên kết với Đại học Trịnh Châu, việc mang thai khiến cho nội tiết tố progesterone tăng, sức đề kháng giảm và nướu trở nên nhạy cảm và dễ viêm nhiễm hơn, vi khuẩn dễ tấn công hơn, chúng tạo điều kiện cho hiện tượng viêm lợi trở thành viêm nha chu.

Bác sĩ Trần Trác, trưởng khoa Nha khoa tại Bệnh viện Trung ương Trịnh châu liên kết với Đại học Trịnh Châu.
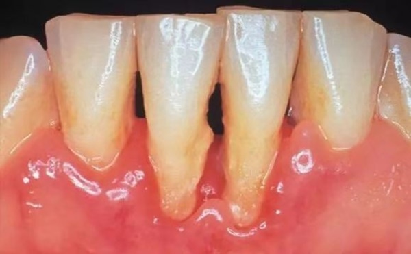
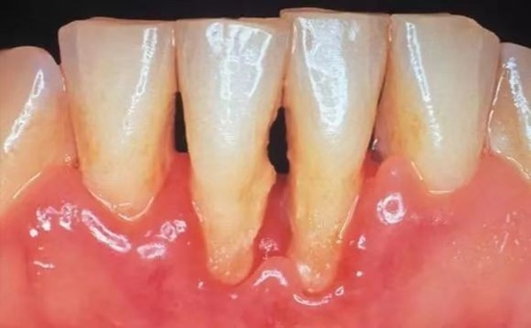
Bệnh viêm nha chu (Periodontitis) là một bệnh nhiễm trùng nướu nghiêm trọng làm tổn thương mô mềm và phá hủy xương xung quanh răng. Viêm nha chu có thể khiến răng bị lỏng hoặc dẫn đến mất răng. Phụ nữ mang thai nếu mắc bệnh tiểu đường thì càng dễ mắc bệnh nha chu hơn.
Biến chứng của bệnh viêm nha chu nguy hiểm hơn nhiều người nghĩ. Theo nghiên cứu, trường hợp bị bệnh nha chu, nếu nhẹ sẽ gây phản ứng co bóp tử cung, nặng có thể dẫn đến sảy thai, sinh non, nhiễm trùng tử cung, hoặc đứa trẻ sinh ra trọng lượng quá nhẹ.
Làm thế nào để ngăn ngừa bệnh nha chu khi mang thai?
Sau trường hợp không may mắn của chị Dương, bác sĩ Trần Trác khuyên chị em phụ nữ để tránh nguy cơ phải điều trị răng khi mang thai, phụ nữ trong độ tuổi sinh đẻ nên đi khám và điều trị dự phòng trước khi quyết định có bầu. Hãy điều trị dứt điểm các vấn đề liên quan đến răng miệng càng sớm càng tốt.

Ngoài ra, cần tuân thủ các quy tắc sau:
- Chải răng đúng cách, ít nhất 2 lần mỗi ngày
- Làm sạch kẽ răng bằng chỉ nha khoa, ít nhất 1 lần mỗi ngày
- Nên đi khám răng để được làm sạch răng nếu cần thiết, thời điểm thích hợp là trong khoảng 3 tháng giữa thai kì
- Ăn uống đủ chất, đặc biệt bổ sung đầy đủ canxi
- Súc miệng bằng nước muối sinh lý.
Theo Helino
