Đến bác sĩ cũng phải ngạc nhiên khi phát hiện hai song thai này đã bị biến dạng song vẫn còn phát triển trong bụng cô gái 17 tuổi này.
Một thiếu nữ 17 tuổi, người Ấn Độ phát hiện mình có một khối u bí ẩn trong dạ dày. Đôi khi nó gây đau tức bụng và thỉnh thoảng nó khiến cô có cảm giác no trong khi cô hầu như không ăn gì.
Quyết định đến viện kiểm tra, cô ngã ngửa khi bác sĩ kết luận cô không hề mắc các căn bệnh dạ dày thông thường mà là mang trong mình 1 "cặp song thai" suốt 17 năm qua.

Bụng cô gái với khối u phát triển trong dạ dày.
Cụ thể, khi các bác sĩ kiểm tra bụng của cô, họ cảm nhận được một khối sần khá cứng nhưng không thống nhất. Nó dường như là một khối u có kích thước lớn và kỳ lạ.
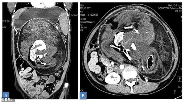
Các bác sĩ quyết định chụp cắt lớp để xem xét khối u một cách rõ ràng và họ phát hiện ra bên trong nó có chứa các bộ phận và mô. Một số chỗ trông giống như mỡ, những khu vực khác xuất hiện như các mô mềm của các cơ quan trong cơ thể. Khi kiểm tra kỹ hơn, lượng canxi tồn tại không chỉ là các chất cặn lắng đọng, chúng trông giống như xương - cụ thể là đốt sống, xương sườn và "xương dài".

Ảnh chụp CT cắt lớp của khối u kì lạ trong bụng cô gái 17 tuổi, có thể nhìn thấy phần xương màu trắng.
Khối u của cô có khả năng là một cặp sinh đôi dị dạng cùng phát triển trong bụng mẹ, bị hấp thụ vào cơ thể của cô gái và không thể phát triển thêm nữa. Các bác sĩ lý giải, trong bụng người mẹ khi ấy mang 3 thai nhi. Một trong ba thai phát triển và lấn lướt 2 thai kia, khiến chúng không phát triển bình thường.
Cuối cùng, cô gái được sinh ra nhưng 2 thai kia vẫn sống "ký sinh" trong bụng cô nhờ hấp thụ chất dinh dưỡng, tuy nhiên chúng không phát triển hệ thần kinh và não.
Hiện tượng này được gọi là thai trong thai, chỉ xảy ra ở một trong số 500.000 ca sinh sản trên thế giới. Hơn nữa, điều này chỉ thường thấy ở nam giới và hiếm có đứa trẻ nào sống sót đến tuổi trưởng thành.
Trường hợp cô gái trẻ này được báo cáo mới đây trên Tạp chí y khoa Anh, là người đầu tiên mang thai song sinh bất thường trong cơ thể mình đến tuổi trưởng thành. Theo Viện khoa học Y khoa All India, cô cũng là người phụ nữ lớn tuổi nhất được xác định vẫn "mang dấu tích của một song thai".
'Em đã rất lo lắng về khối u trong bụng mình. Sau khi phẫu thuật, em cảm thấy khỏe hơn, bụng phẳng và không còn khó chịu, bố mẹ em cũng rất vui vì điều đó', cô gái trẻ tâm sự sau khi trải qua 2 năm kể từ khi phẫu thuật lấy quái thai ra khỏi bụng mình.
Hiện tại, sức khỏe của cô gái tương đối khỏe mạnh và ổn định.
Theo Helino
