
Môi khô, bong tróc: Môi khô hay bong tróc là dấu hiệu của bệnh dị ứng. Trong trường hợp này, bạn cần chú ý tới mỹ phẩm mình đang sử dụng và cách vệ sinh răng miệng hàng ngày. Trong một số trường hợp, môi và mắt khô cũng là biểu hiện của các vấn đề về tiêu hoá hay bệnh tự miễn dịch.

Rụng lông mày: Rụng lông mày theo chu kỳ là việc bình thường. Nhưng nếu rụng lông mày quá nhiều thì bạn cần đi gặp bác sĩ sớm. Vì rất có thể tình trạng này do tuyến giáp của bạn đang gặp vấn đề.

Móng tay bất thường: Đột nhiên móng tay thay đổi cả về màu sắc và cấu trúc thì đây là tín hiệu báo động. Nếu móng tay mỏng, nhợt nhạt thì cơ thể bạn đang bị thiếu máu. Móng tay vàng là bạn đang bị rối loạn về gan, dạ dày và móng tay có đốm sọc trắng là cơ thể đang thiếu kẽm, I-ốt…

Đỏ mặt: Nếu khuôn mặt đột nhiên đổi màu đỏ dù không uống rượu, massage hay ở trong môi trường thời tiết nóng nực thì rất có thể bạn đang bị nhiễm trùng. Ngoài ra, phụ nữ sau 40 tuổi bị sụt giảm nồng độ hormone cũng dễ bị đỏ mặt.

Gót chân khô: Da chân bị khô do thiếu vitamin A và E. Đây cũng là biểu hiện của nhiễm nấm hoặc rối loạn nội tiết.

Khô tay và da: Da khô là tình trạng phổ biến thường gặp trong mùa lạnh. Bạn có thể khắc phục vấn đề trên bằng cách dùng kem dưỡng ẩm, uống nhiều nước và bổ sung vitamin. Tuy nhiên, nếu cảc giải pháp trên không giúp ích được cho bạn thì tốt nhất nên đi gặp bác sĩ. Bởi bạn đã mắc tiểu đường, suy giáp hoặc viêm da.

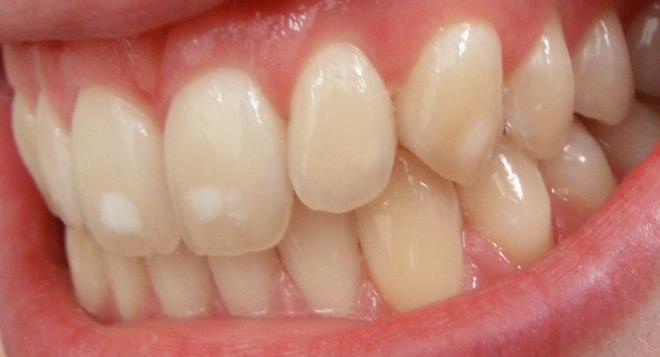
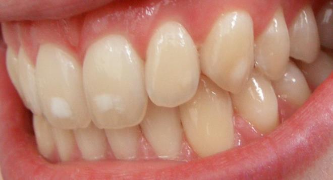
Vệt ố trắng trên rằng: Nhiễm fluor ở răng sẽ gây những vệt ố trắng ở răng. Nếu không được can thiệp kịp thời, tình trạng nhiễm fluor sẽ gây biến chứng phá huỷ mô răng và vỡ răng.

Rụng tóc: Trung bình mỗi người sẽ rụng khoảng 100 sợi tóc mỗi ngày vì nang tóc phải trải qua thời gian phát triển nhất định kéo dài từ 2-8 năm.Tuy nhiên, nếu bị rụng tóc nhiều hơn như vậy thì rất có thể bạn đang bị nhiễm trùng da, rối loạn tuyến giáp và rối loạn tự miễn dịch…
Theo VTC
