Một đứa trẻ 9 tuổi đã phải chịu một cơn ác mộng khi vô tình nuốt chiếc răng của mình trong khi ngủ. Kết quả, cô bé phải đến bệnh viện làm phẫu thuật để lấy nó ra khỏi phổi.
Theo một báo cáo công bố trên tạp chí y tế thế giới Clinical Case Reports International, vào hồi tháng 2/2019, một đứa trẻ giấu tên đến từ Thổ Nhĩ Kỳ đã được đưa đi cấp cứu tại bệnh viện sau khi bố mẹ cô bé nhận ra chiếc răng của bé đã "không cánh mà bay", trong khi rõ ràng vào tối hôm trước, nó vẫn còn trong miệng cô bé.

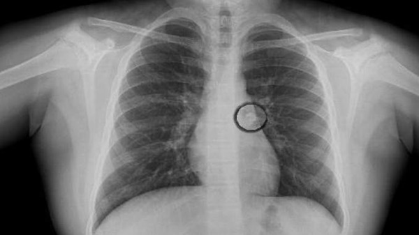
Các bác sĩ đã thực hiện chụp X-quang và phát hiện chiếc răng nằm ở phế quản chính bên trái đường thở dẫn đến phổi trái của cô. Các bác sĩ phẫu thuật đã phải tiến hành phẫu thuật nội soi phế quản bằng sợi quang để lấy chiếc răng ra. Sau thời gian điều trị, bệnh nhân đã được ra viện.
Hít vật lạ vào cơ thể (thường là hít vật lạ vào hệ hô hấp) là một tình trạng có thể đe dọa tính mạng của một người. Với trường hợp của cô bé 9 tuổi này, thật là may mắn khi cha mẹ cô đã quyết định đưa cô nhanh chóng đến bệnh viện. Bởi vậy mà, mặc dù đúng là gặp phải chứng hít vật lạ vào hệ hô hấp và không có bất kì triệu chứng nào như ho hay khò khè... nhưng cô bé vẫn được phát hiện kịp thời và cứu sống.

Hít vật lạ vào cơ thể có thể đặc biệt nguy hiểm ở trẻ dưới 3 tuổi vì khí quản của chúng có đường kính tương đối nhỏ hơn, các vật dễ bị kẹt trong đường thở hơn.
Qua sự kiện này, bác sĩ "Busra Sultan Kibar, bác sĩ chính điều trị cho trường hợp này, đã nói rằng, trường hợp của em bé này xảy ra ở nhà và bố mẹ bé biết được rằng em đang có một chiếc răng lung lay nên họ đã cảnh giác với khả năng răng bị nuốt vào trong cơ thể nên đã kịp thời cứu con. Bởi vậy, cha mẹ nên có kinh nghiệm trong những trường hợp tương tự để ngăn ngừa những nguy cơ tử vong ở con trẻ.
Theo Helino
