Nam thanh niên nghĩ mình mình mọc răng khôn vì thường xuyên sưng đau vị trí gần răng số 7. Tuy nhiên khi khám chuyên sâu, bác sĩ phát hiện ‘thủ phạm’ ẩn giật.
BS CKI Nguyễn Thanh Thái, Trưởng khoa Phẫu thuật tạo hình hàm mặt, BV Việt Nam – Cu Ba, Hà Nội cho biết, nam bệnh nhân 26 tuổi ở Hà Nội chưa từng đi khám răng miệng trong suốt nhiều năm.
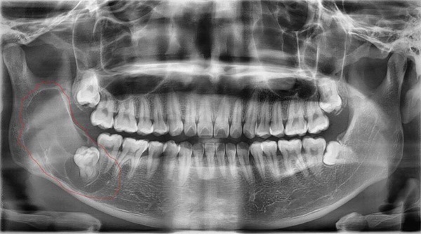
Thời gian gần đây, nam thanh niên thường xuyên thấy đau góc hàm bên phải, nghĩ rằng mình mọc “răng khôn”. Tuy nhiên khi thăm khám trên lâm sàng, bác sĩ không phát hiện bất thường nên chỉ định cho bệnh nhân chụp X-quang.

Kết quả cho thấy, bệnh nhân bị nang răng sừng hoá (hay còn gọi nang răng sinh sừng). Trường hợp bệnh nhân này nang rất lớn, phát triển từ răng số 7 lan lên tới tận xương hàm trên.
Ngày 4/6, BS Thái trực tiếp phẫu thuật cắt bỏ toàn bộ khối nang cho bệnh nhân, kích thước hơn 5 cm. Hiện tại, sức khoẻ bệnh nhân đã ổn định.
Trước đó, khoa cũng phẫu thuật cắt nang răng sừng sừng hoá ở cả 4 góc hàm cho nữ bệnh nhân 22 tuổi.
Theo BS Thái, nang răng sừng hoá thường hình thành do nhiễm khuẩn, hay gặp ở độ tuổi 30. Ở giai đoạn sớm, bệnh nhân không có biểu triệu chứng nào. Đến khi nang to, bội nhiễm sẽ gây đau đớn khiến nhiều người trưởng thành nhưng dễ nhầm lẫn với mọc răng khôn.

Nhiều trường hợp chủ quan đến viện muộn, khi đó nang đã phát triển rộng, khiến cho răng, xương bị phá hủy, gây biến dạng khuôn mặt. Chỉ một số ít trường hợp phát hiện sớm do tình cờ đi kiểm tra, chụp X-quang răng miệng.
Theo BS Thái, tỉ lệ tái phát của nang răng sừng hoá rất cao, lên tới 60%. Vì vậy, bệnh nhân thường sẽ phải phẫu thuật nhiều lần do bệnh tái đi tái lại sau khi nạo vết các tổ chức u. Bác sĩ chỉ lấy được chân nang chứ không thể tiêu diệt mầm bệnh tận gốc.
Tuy nhiên, những năm gần đây, một số nước phát triển như Anh, Mỹ, Canada đã ứng dụng một loại thuốc có tác dụng tiêu diệt tận gốc nang sừng hoá.
Để điều trị cho bệnh nhân, bác sĩ sẽ phẫu thuật vét nang răng sau đó đặt thuốc đặc trị để phá toàn bộ xương nang răng. Qua theo dõi 5 bệnh nhân được điều trị bằng phương pháp này tại BV Việt Nam – Cu Ba, tình tình trạng tái phát hoàn toàn không có.
Do việc nhập khẩu thuốc khá khó khăn, nhu cầu sử dụng không nhiều nên hiện tại, BV Việt Nam – Cu ba là cơ sở đầu tiên tại Việt Nam ứng dụng phương thức điều trị này cho bệnh nhân bị nang răng sừng hoá.
Để phát hiện sớm các bất thường răng miệng, bác sĩ khuyến cáo người dân cần kiểm tr răng miệng định kỳ 6 tháng/lần. Đặc biệt ở tuổi trưởng thành, nếu chưa từng đi khám càng nên đi kiểm tra để biết được tình trạng răng miệng của mình, có thể bác sĩ sẽ chỉ định chụp X-quang để biết răng khôn có mọc lệch (đâm ngang, răng nhiều chân...) hoặc gặp tình trạng u nang răng hay không để can thiệp kịp thời.
Theo VietNamNet
