Gan là cơ quan giải độc rất quan trọng trong cơ thể chúng ta. Tuy nhiên, giới trẻ thời nay vì không duy trì lối sống sinh hoạt lành mạnh, nhiều người có thói quen thức khuya làm việc quá giờ hay uống rượu bia, ăn uống không điều độ nên làm cơ quan gan chịu tổn thương nghiêm trọng. Những thói quen xấu này rất dễ khiến gan của chúng ta bị quá tải, từ đó làm một số chất độc trong cơ thể không kịp đào thải ra ngoài và khiến vi khuẩn phát triển theo thời gian.
Gan bị ảnh hưởng cũng sẽ kéo theo các cơ quan khác chịu tổn thương, điều này có thể dẫn đến những thay đổi bệnh lý khác. Đặc biệt, vì gan là cơ quan giải độc chính của cơ thể nên nếu gan không ổn thì các chất độc sẽ khó đào thải ra ngoài, từ đó gây ảnh hưởng lớn cho sức khỏe.
Dù thuộc giới tính nào, nếu có 3 đặc điểm này sau khi ngủ dậy thì bạn cần hết sức lưu ý vì nó có thể là dấu hiệu cảnh báo gan bị tổn thương rồi đó!
1. Khô miệng, đắng miệng
Buổi sáng ngủ dậy nếu thấy miệng khô đắng ngắt kèm theo mùi hôi thì có thể do gan khí trong cơ thể bị cản trở. Một số chất độc có mùi hôi sẽ tích tụ trong cơ thể, từ đó khiến hơi thở của chúng ta có mùi mốc và hôi.
Mùi hôi nếu quá nồng là dấu hiệu cho thấy gan gặp vấn đề nghiêm trọng, từ đó gây ảnh hưởng tới chức năng gan. Điều này cũng có thể làm tăng nồng độ nitơ urê và amoniac trong máu. Đồng thời, nó sẽ loại bỏ một số khí có mùi từ miệng và mũi của chúng ta thông qua việc thở, từ đó tạo ra mùi hôi miệng.
Vì vậy, trong cuộc sống bình thường, nếu sau khi ngủ dậy miệng bạn có mùi hôi thì đừng bỏ qua. Đó có thể là do các cơ quan trong cơ thể bạn đang bị tổn thương. Lúc này, bạn nên đến bệnh viện để kiểm tra kịp thời, tránh gặp vấn đề ảnh hưởng đến sức khỏe.

2. Nước tiểu có màu đậm
Bằng cách quan sát màu sắc của nước tiểu, chúng ta cũng có thể nhận biết được tình trạng sức khỏe gan có ổn hay không. Do nước tiểu của người khỏe mạnh thường có màu vàng nhạt
Tuy nhiên, nếu gan trong cơ thể bị tổn thương thì nó sẽ ảnh hưởng đến quá trình chuyển hóa bilirubin trong cơ thể của chúng ta, từ đó làm nhiều bilirubin đi vào máu. Lúc này, lượng nước tiểu bài tiết ra khỏi cơ thể sẽ nhiều hơn bình thường nên màu sắc của nước tiểu cũng sẽ đậm hơn. Nước tiểu có màu càng đậm thì chứng tỏ tế bào gan của cơ thể càng bị ảnh hưởng nặng hơn.

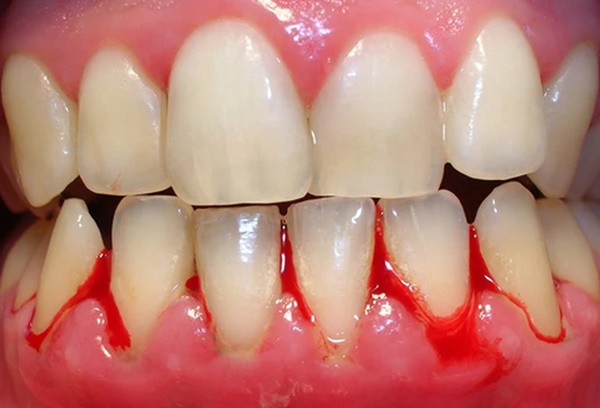
3. Chảy máu từ nướu hoặc mũi
Nếu bạn gặp phải tình trạng chảy máu từ nướu hoặc mũi khi đang đánh răng hoặc rửa mặt vào buổi sáng thì càng nên cảnh giác. Nguyên nhân chính khiến tình trạng này thường xuyên xảy ra lúc bình thường có thể là do các tế bào gan trong cơ thể bị tổn thương.
Gan sản xuất ra chất làm giảm chức năng của các yếu tố đông máu nên tình trạng chảy máu ở nướu hoặc mũi sẽ rất khó xảy ra. Chỉ khi cơ chế đông máu bị cản trở sẽ gây ảnh hưởng tới chức năng làm việc của gan. Do đó, bạn cần đến bệnh viện để được chẩn đoán và điều trị kịp thời.

Theo Pháp luật & Bạn đọc
