Vừa qua, các bác sĩ ở Trung tâm Y học hạt nhân và Ung bướu, Bệnh viện Bạch Mai cho biết đã khám và điều trị cho nam bệnh nhân (47 tuổi) bị ung thư gan.
Được biết, trước khi vào viện 1 tháng, bệnh nhân xuất hiện vàng da, vàng mắt tăng dần, vàng sậm toàn thân, nước tiểu vàng đậm, phân nhạt màu, kèm ngứa nhiều toàn thân.
Bệnh nhân có kèm đau tức âm ỉ hạ sườn phải, đau tăng khi vận động, khi ho, gầy sút 5kg/1 tháng, mệt mỏi nhiều, ăn kém, không sốt. Bệnh nhân đi khám tại bệnh viện địa phương, điều trị không đỡ, sau đó được chuyển đến Bệnh viện Bạch Mai.

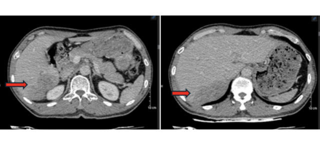
Sau khi chụp chiếu, bác sĩ chẩn đoán bệnh nhân bị ung thư biểu mô tế bào gan, kèm xơ, viêm gan. Bệnh nhân được điều trị bằng liệu pháp toàn thân, thuốc miễn dịch và thuốc đích, kết hợp điều trị viêm gan B.
Sau ba tháng, kích thước khối u gan giảm. Bác sĩ chỉ định phẫu thuật cắt gan phân thùy sau chứa u. Người bệnh tiếp tục duy trì thuốc và nâng cao chất lượng cuộc sống.
Ung thư gan là gì?
Ung thư gan là tình trạng các khối u ác tính phát sinh trong gan, dẫn đến việc sẽ phá hủy các tế bào gan và cản trở khả năng hoạt động bình thường của cơ quan quan trọng này..
Ung thư ở gan có hai loại chính, đó là ung thư gan nguyên phá t(hình thành từ chính các tế bào trong gan) và ung thư gan thứ phát (phát triển khi các tế bào ung thư từ cơ quan khác di căn đến gan như ung thư phổi, ung thư đại tràng, ung thư vú…)
Ung thư nguyên phát thường có dấu hiệu nghèo nàn và dễ nhầm với các dấu hiệu bệnh khác. Các dấu hiệu rõ ràng thường đến ở giai đoạn muộn như: Giảm cân không rõ nguyên nhân; ăn không ngon miệng; cảm giác nặng, đau tức hoặc tự sờ thấy khối vùng hạ sườn phải; buồn nôn và nôn; mệt mỏi, suy nhược cơ thể; vàng da, vàng mắt, nước tiểu sẫm màu, phân nhạt màu...

Phòng ngừa bệnh ung thư gan như thế nào?
Chúng ta không thể phòng ngừa mắc ung thư gan, tuy nhiên một số giải pháp giúp giảm thiểu nguy cơ tiến triển thành ung thư gan như:
- Tiêm phòng vacxin ngừa viêm gan B. Đây là một trong các biện pháp hữu hiệu nhất giảm nguy cơ mắc viêm gan B – tiền căn phát triển ung thư gan.
- Tránh lạm dụng rượu bia, thuốc lá.
- Duy trì lối sống lành mạnh, dinh dưỡng hợp lý.
- Quan hệ tình dục an toàn, tránh nguy cơ lây nhiễm virus viêm gan từ bạn tình.
- Không dùng chung đồ dùng cá nhân với người khác, đặc biệt với người nhiễm virus viêm gan B.
- Duy trì cân nặng phù hợp, giảm cân, tránh béo phì.
- Không tự ý sử dụng thuốc Tây, chỉ sử dụng theo toa kê của bác sĩ.
Kiểm tra sức khỏe và chức năng gan định kỳ. Đặc biệt với những người có tiền sử gia đình mắc các bệnh ung thư tiêu hóa, người có thói quen sử dụng thuốc lá, rượu bia kéo dài.
Theo Gia Đình & Xã Hội
