Thông tin chia sẻ uy tín, chuẩn xác từ TS. BS Nguyễn Ngọc Cương - Trung tâm Chẩn đoán hình ảnh và Can thiệp điện quang, Bệnh viện Đại Học Y Hà Nội.
Theo nghiên cứu, phần lớn người bệnh đến khám khi ung thư gan đã tiến triển đến giai đoạn muộn gây khó khăn cho việc điều trị. Vì vậy, việc phát hiện sớm là vô cùng quan trọng và rất nhiều người bệnh băn khoăn làm thế nào để phát hiện được sớm căn bệnh này?
1. Ca bệnh điển hình
Bệnh nhân nam 49 tuổi, tiền sử xơ gan do virus viêm gan B . Đáng chú ý, bệnh nhân thăm khám rất đều đặn định kỳ 3 tháng một lần nhưng vẫn bỏ sót và khối u chỉ được phát hiện ở giai đoạn muộn.
Theo lời kể của bệnh nhân, vào tháng 1/2021 bệnh nhân đã đi khám tại một bệnh viện ở Hà Nội. Ở đây các bác sĩ đã chỉ định làm xét nghiệm máu thấy chất chỉ điểm ung thư gan tăng nhẹ. Siêu âm bụng chỉ thấy nhu mô gan thô mà không có khối u nào được phát hiện. Bệnh nhân được hẹn khám lại vào tháng 4/2021.
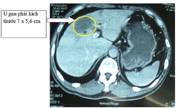
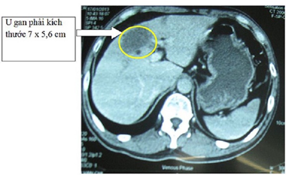
Đến lịch hẹn nhưng do trở ngại dịch bệnh COVID -19 và bệnh nhân không thể đi khám đúng hẹn. Tháng 9/2021 bệnh nhân đến Bệnh viện Đại học Y Hà Nội khám. Tại đây các bác sĩ khám và làm các chẩn đoán phát hiện một khối u lớn ở trung tâm gan, khối u đã xâm lấn vào tĩnh mạch cửa phải. Không còn khả năng phẫu thuật triệt để.
Theo các nghiên cứu, ung thư gan giai đoạn tiến triển thì thời gian sống thêm của bệnh nhân chỉ có thể tính bằng tháng.

Hình ảnh tiến triển của viêm gan và ung thư gan.
2. Truy tìm nguyên nhân
Sau khi được chẩn đoán, bệnh nhân và các bác sĩ đều băn khoăn và đặt ra nhiều giả thuyết. Nhưng điều khiến các bác sĩ đau đáu nhất là làm thế nào để giúp bệnh nhân vượt qua cú sốc này. Trong khi bệnh nhân vẫn chăm lo cho sức khỏe đều đặn định kỳ. Từ tháng 1/2021 liệu đã có khối u gan chưa? Liệu thời điểm đó bác sĩ có bỏ sót khối u gan trên siêu âm? …
Đi tìm lời giải thích về vấn đề này, sau khi đã tìm hiểu và đọc nhiều tài liệu, bác sĩ thấy có nhiều tài liệu và có một nghiên cứu gần đây về vai trò của siêu âm trong tầm soát phát hiện sớm khối u gan trên nền bệnh nhân xơ gan.
Theo đó, những người bị xơ gan được khuyến cáo đi khám bệnh định kỳ để phát hiện ra những khối ung thư từ khi còn kích thước nhỏ. Ung thư gan luôn có xu hướng hình thành và phát triển trên nền gan bệnh mạn tính, vì vậy cần định kỳ đi khám để phát hiện sớm các khối u khi kích thước còn nhỏ để có thể điều trị khỏi hoàn toàn.
Theo các nghiên cứu, ung thư gan giai đoạn sớm điều trị triệt để thì 86.2% khỏi hoàn toàn (sống trên 5 năm).

Nhiễm virus viêm gan B có thể dẫn đến ung thư gan.
3. Vậy nguyên nhân do đâu mà khám định kỳ không phát hiện được ung thư gan?
Trong quá trình nghiên cứu, tìm hiểu câu hỏi khám bệnh định kỳ bằng phương tiện gì? Hai phương tiện đầu tay là xét nghiệm chất chỉ điểm u và siêu âm gan. Chất chỉ điểm u AFP cao trong khoảng 60% các bệnh nhân ung thư gan giai đoạn sớm. Đáng chú ý, giá trị AFP được coi là cao có ý nghĩa khi nồng độ trên 400 ng/dl.
Cùng với xét nghiệm, siêu âm luôn được chỉ định cho các thăm khám ban đầu về gan. Tuy nhiên trong bệnh lý xơ gan, nhu mô gan nhiều xơ và nhiều các nốt gan tân tạo làm cho khối u khó quan sát thấy.
Độ nhạy và độ đặc hiệu của siêu âm phát hiện các khối ung thư gan là không cao, thậm chí là thấp: độ nhạy từ 42% đến 60% tùy vào nghiên cứu. Gần đây với các máy siêu âm tốt, phối hợp với tiêm thuốc cản âm trong khi siêu âm đã làm cho độ nhạy của siêu âm tăng lên, tuy nhiên nhìn chung là không vượt quá 60% đối với các khối ung thư gan nhỏ.
Như vậy cho thấy, rất có thể ở bệnh nhân trên, việc không phát hiện ra khối u thư gan ở thời điểm đầu năm 2021 cũng có thể hiểu được vì độ nhạy của siêu âm không cao.

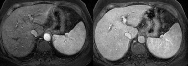
Hình ảnh về tác dụng của phương pháp cộng hưởng từ đặc hiệu mô gan.
4. Vậy tầm soát sớm ung thư gan bằng gì?
Cộng hưởng từ là phương tiện tốt nhất để chẩn đoán các khối u ở gan. Tốt hơn nhiều so với siêu âm và chụp CT gan. Cộng hưởng từ cũng rất an toàn, không nhiễm xạ, có thể chụp rất nhiều lần cho bệnh nhân trong quá trình theo dõi bệnh.
Một số nước phát triển đang đề xuất chụp cộng hưởng từ 6 tháng một lần cho các bệnh nhân viêm gan mạn và xơ gan cho đến cuối đời để tránh các bỏ sót đáng tiếc trên siêu âm. Ở nhiều trung tâm tiêu hóa của Pháp, các bệnh nhân đã được chẩn đoán ung thư gan đang theo dõi và điều trị thì đều được chụp cộng hưởng từ gan 3 – 6 tháng một lần cho đến cuối đời (nếu không có chống chỉ định cộng hưởng từ).
Tuy nhiên, nhược điểm của cộng hưởng từ là đắt tiền. Vì thế nó không được đưa vào khuyến cáo sàng lọc phát hiện bệnh rộng rãi cho cộng đồng người dân.


Hình ảnh u gan.
5. Lời kết
Việc phát hiện sớm ung thư gan là vô cùng quan trọng. Trong khi nguyên nhân gây bệnh ung thư gan đến nay theo các nghiên cứu vẫn chưa được xác định rõ và ở giai đoạn đầu ung thư gan thường rất khó phát hiện.
Vậy để chẩn đoán bệnh, với bệnh nhân viêm gan mạn hoặc xơ gan cần siêu âm tìm kỹ các nốt ở gan, nhất là các nốt giảm âm (hơn 70% ung thư gan giảm âm). Tìm càng kỹ càng tốt. Đừng bao giờ quên xét nghiệm bộ ba chẩn đoán ung thư gan sớm: AFP, PIVKA II, AFP L3. Bất kỳ một chỉ số nào tăng đều nghĩ đến tình huống xấu nhất để tìm kỹ cho bệnh nhân .
Đối với người bệnh gan mạn tính cần siêu âm định kỳ 3 tháng một lần, xét nghiệm chất chỉ điểm theo chỉ định của bác sĩ. Nếu có điều kiện, hãy chụp cộng hưởng từ gan 6 tháng 1 lần, có điều kiện hơn nữa 3 tháng một lần điều này sẽ giúp ích cho bệnh nhân để tầm soát bệnh tốt hơn.
Theo SKĐS
