Vừa qua, Bệnh viện Hữu nghị Việt Đức tiếp nhận nam bệnh nhân H.H.C. (21 tuổi, tại Nghệ An) đang sinh sống và học tập tại Hà Nội với chẩn đoán gãy xương cánh tay phải sau khi chơi vật tay cùng bạn.
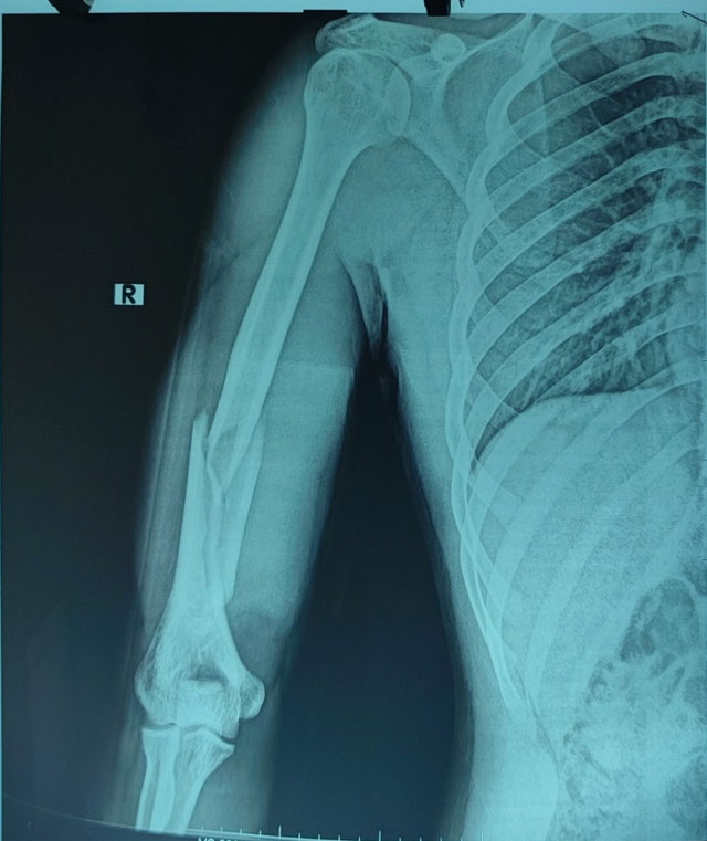
Anh C nhập viện trong tình trạng sưng đau, biến dạng, hạn chế vận động cánh tay phải. Vận động bàn ngón tay bình thường, không yếu liệt, hình ảnh X-quang cho thấy xương cánh tay phải gãy chéo vát ở 1/3 dưới có mảnh rời cánh bướm lớn.

Theo chia sẻ, anh C thường xuyên tập gym và chơi vật tay cùng bạn bè. Trước khi nhập viện, khi đang chơi vật tay cùng bạn thì C. đột nhiên thấy tiếng "cục" và sau đó đau chói, biến dạng, mất vận động cánh tay phải.
Các bác sĩ chẩn đoán nam thanh niên bị gãy kín xương cánh tay phải không liệt quay, chỉ định phẫu thuật kết hợp xương nẹp vít.
Sau phẫu thuật kết hợp xương nẹp vít, người bệnh được chụp X-quang kiểm tra sau mổ, giải phẫu xương cánh tay được phục hồi, người bệnh ra viện sau 4 ngày.
Phòng tránh tổn thương khi chơi vật tay
ThS.BS Nguyễn Văn Phan, Khoa Phẫu thuật Chấn thương chung, Bệnh viện Hữu nghị Việt Đức cho biết, xương cánh tay là một xương lớn của chi trên, khi gãy có thể gây biến chứng liệt thần kinh quay (tỷ lệ 8-20%). Gãy xương trong khi đang vật tay thường do cơ chế xoắn vặn nên ổ gãy thường là dạng chéo vát, có thể có mảnh rời.
Người tham gia thường dùng một lực rất lớn lên cánh tay khi khuỷu cố định trong tư thế gấp, dẫn tới một lực rất lớn dồn vào vùng 1/3 dưới xương cánh tay là vùng chuyển tiếp giữa thiết diện tròn và tam giác của thân xương, nguy cơ gãy xương rất cao.
Để tránh xảy ra tai nạn đáng tiếc, bác sĩ khuyến cáo:
- Lựa chọn đối thủ phù hợp, tránh chênh lệch quá lớn về cân nặng, chiều cao (do chênh lệch về chiều dài cẳng tay, khối lượng cơ)
- Lựa chọn chiến thuật thi đấu phù hợp, tránh đứt điểm đột ngột (gây quá tải cơ), kiểm soát trọng tâm của người tham gia để đảm bảo thăng bằng, tránh hụt đà, ngã khi chơi.
- Cần làm đúng kỹ thuật, không cố định cánh tay ở khớp vai (khớp ổ chảo – cánh tay) khi thi đấu.
Theo Gia đình & xã hội
