Long Chun được biết đến là một trong những hot TikToker quen mặt của giới trẻ. Anh chàng gây ấn tượng với người xem nhờ sự duyên dáng, hài hước nhưng không kém phần "xéo sắc" trong mỗi clip đăng tải. Gần đây, Long Chun còn trở thành cái tên "ăn khách" khi tham gia chương trình Gương Mặt Thân Quen 2020. Đang dần tạo được tiếng vang lớn sau 4 tuần thi đấu, Long Chun khiến người hâm mộ vô cùng lo lắng khi bất ngờ đăng tâm thư xin rút để tập trung chữa bệnh.

Long Chun nói lời tạm biệt Gương Mặt Thân Quen để tập trung chữa bệnh.
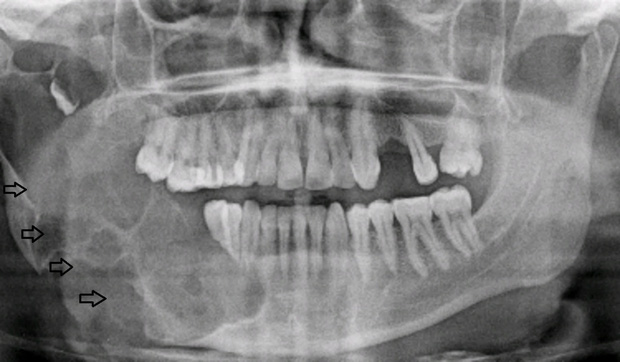
Theo chia sẻ từ Long Chun, sau buổi ghi hình số thứ 4 của chương trình, anh chàng đi khám và phát hiện bên xương hàm phải có một khối u khá lớn và nó đã ăn vào gần như hết vùng xương hàm bên phải. Ngay lập tức, Long Chun phải đặt vé máy bay trở về Hà Nội để kiểm tra chính xác tình trạng bệnh mà mình đang gặp phải. Kết luận cho thấy, Long Chun có một khối u nguy hiểm mang tên u men xương hàm. Nếu để lâu mà không điều trị ngay thì khối u có thể ăn vào máu và làm tăng nguy cơ mắc ung thư máu cao.


Để ý kỹ trong một vài tập Gương Mặt Thân Quen trước đó, phần má phải của Long Chun đã có hiện tượng sưng nhẹ.
Điều này khiến Long Chun phải đưa ra quyết định là dừng hết công việc và tập trung chữa trị bệnh trong một thời gian dài. Thực tế, có nhiều người cũng không hề biết rằng bản thân có nguy cơ mắc bệnh này hay không. Đôi khi chỉ thấy mặt tự dưng lệch hẳn sang một bên thì nghĩ có thể do trúng gió, sâu răng hoặc nhiễm trùng răng... nhưng đến lúc đi khám mới biết mình có khối u men răng. Vì vậy, việc phát hiện sớm để chủ động điều trị bệnh rất quan trọng.
U men xương hàm là gì?
U men là loại u khá phổ biến ở vùng xương hàm mặt (tên gọi đầy đủ là u nguyên bào tạo men - Ameloblastoma). Bệnh thường gặp ở những người trẻ từ 20 - 30 tuổi, chiếm tỷ lệ khoảng 50% trong tổng số các loại u lành tính của xương hàm mặt (không kể nang do răng), có nguồn gốc từ các tế bào tạo ra men răng.
U men răng cũng thường xảy ra ở đối tượng nam giới nhiều hơn. Khối u men răng có thể liên tục phát triển và xâm lấn một cách âm thầm. Sau một thời gian dài ủ bệnh, u men răng có thể biểu hiện ác tính, xâm lấn dần vào vùng xương hàm khiến cho phần má sưng đau, gây biến dạng mặt bất thường nếu u to lên.

Được biết, khối u này có tỷ lệ tái phát cao nên việc điều trị cần phải làm triệt để, nhất là với trường hợp u men răng tái phát sau khi được điều trị bảo tồn. Việc trị bệnh dứt điểm từ sớm có thể ngăn những di chứng nặng nề cho bệnh nhân về mặt thẩm mỹ và chức năng, nhất là người bệnh trẻ tuổi.
Dấu hiệu nhận biết u men xương hàm
- Ở giai đoạn sớm: khối u phát triển chậm, âm thầm và không có triệu chứng cụ thể nên thường chỉ phát hiện được khi tình cờ chụp X-quang kiểm tra. Dù vậy, nếu chỉ dựa vào phim X-quang để kết luận thì vẫn còn quá sớm, cần kết hợp thêm với kết quả giải phẫu bệnh lý của từng người.
- Ở giai đoạn u men phát triển: bạn có thể gặp phải một số vấn đề ở vùng xương hàm như tê môi cằm, sưng hàm, biến dạng mặt (khiến mặt lệch hẳn sang một bên), răng trên u có thể lung lay hoặc di lệch một ít kèm theo biểu hiện đau nhức, khó chịu và chảy mủ.
- Ở giai đoạn muộn: khối u lúc này đã đạt kích thước lớn, gây phồng xương nhiều nên làm mặt biến dạng rõ, xương bị phá hủy. Lúc này, bệnh nhân cũng cảm thấy đau nhức, răng lung lay nhiều và dễ bị xô lệch hơn.

Cách điều trị u men xương hàm
Có một số phương pháp điều trị bệnh này như sau:
1. Phẫu thuật cắt bỏ khối u: Khối u này thường phát triển ở vùng xương hàm nên bác sĩ sẽ phải cho tiếp cận phẫu thuật từ sớm để làm giảm nguy cơ tái phát u men răng.
2. Phẫu thuật sửa chữa hàm: Nếu phẫu thuật cắt bỏ u liên quan đến việc loại bỏ một phần xương hàm của bệnh nhân, bác sĩ có thể tiến hành một ca phẫu thuật khác để sửa chữa và tái tạo lại hàm. Điều này giúp cải thiện mặt thẩm mỹ và chức năng của hàm (hỗ trợ cho hoạt động ăn uống và nói chuyện).
3. Xạ trị: Liệu pháp xạ trị sử dụng chùm tia mang năng lượng cao nhằm điều trị triệt để khối u sau phẫu thuật. Bên cạnh đó, với những bệnh nhân chống chỉ định làm phẫu thuật thì xạ trị cũng là một phương pháp được ưu tiên.
4. Chăm sóc hỗ trợ: Các chuyên gia có thể hỗ trợ bệnh nhân trong những hoạt động như nhai nuốt, nói chuyện, ăn uống trong và sau khi điều trị.
Đặc biệt, sau điều trị, bệnh nhân vẫn phải tới tái khám định kỳ để theo dõi thường xuyên trong vài năm tiếp theo.
Theo Pháp luật bạn đọc
