Theo đó, một trong các hoạt động hợp tác hàng đầu được hai bên cùng chú trọng là công tác nghiên cứu khoa học và phát triển ứng dụng AI trong sàng lọc, chẩn đoán ung thư gan.
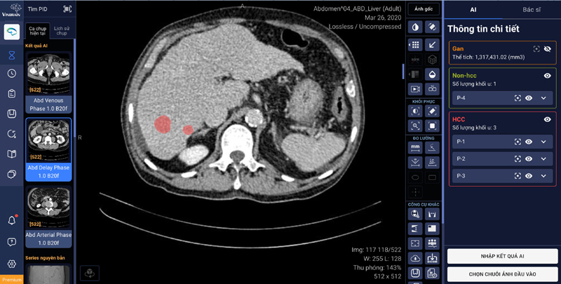
Hiện nay, chẩn đoán ung thư gan thường được thực hiện thông qua ảnh chụp cắt lớp vi tính (CT) gan đa thì, tuy vậy, ảnh CT gồm nhiều thì, nhiều lát cắt, việc trực quan hoá dữ liệu để phân tích đặc điểm y học từ ảnh CT một cách toàn diện gặp khó khăn, dẫn đến tiêu tốn nhiều thời gian của các bác sĩ chẩn đoán hình ảnh. Tính năng mới của phần mềm DrAid™ sẽ hỗ trợ tính năng tự động khoanh vùng và phân loại tổn thương gan bằng ứng dụng trí tuệ nhân tạo, kết nối trực tiếp với PACS (hệ thống lưu trữ và truyền tải hình ảnh Y tế) và trả về trên phần mềm kết quả AI khoanh vùng của gan và các tổn thương cũng như phân loại các loại tổn thương.
Theo đại diện VinBrain, giai đoạn một của quá trình nghiên cứu, DrAid có thể xác định được liệu một tổn thương có phải là ung thư tế bào gan (hepatocellular carcinoma - HCC) hay không với độ nhạy đạt 89%, độ đặc hiệu đạt 88%. Sự song hành của hai đơn vị đã mang lại kết quả là bộ dữ liệu CT gan đa thì với sàng lọc và khoanh vùng 11 loại tổn thương khu trú ở gan của hơn 1.000 bệnh nhân có tổn thương gan; 01 Công bố khoa học quốc tế được xuất bản tại tạp chí Khoa học Y tế Cureus (PubMed, ISI); và 01 Công bố khoa học quốc tế chờ bình duyệt tại tạp chí Y khoa Medical Image Analysis (ISI, Q1).
Trong tương lai, những nghiên cứu, phát hiện mới về ứng dụng trí tuệ nhân tạo trong hỗ trợ chẩn đoán và điều trị bệnh lý liên quan đến gan sẽ tiếp tục được tập trung đầu tư. Dự kiến, đến đầu năm 2023 tính năng phát hiện và chẩn đoán ung thư gan của phần mềm DrAid sẽ đạt độ nhạy và độ đặc hiệu trên 90% cho 4 loại u gan khác nhau và có thể được ứng dụng vào thực tế khám chữa bệnh.

DrAid™ hỗ trợ tính năng tự động khoanh vùng và phân loại tổn thương gan ứng dụng trí tuệ nhân tạo, kết nối trực tiếp với phần mềm quản lý hình ảnh của bệnh viện (PACS)
Trước đó, từ tháng 3/2021, BV Đại học Y dược TP.HCM đã triển khai ứng dụng DrAid Appliance trong việc tự động sàng lọc bất thường và không bất thường trên ảnh X-quang ngực thẳng.
“Tốc độ và hiệu quả” là nhận định của đội ngũ bác sĩ sau thời gian ứng dụng DrAid trong hoạt động khám chữa bệnh. Theo TS.BS Võ Tấn Đức, Trưởng Khoa Chẩn đoán hình ảnh, bác sĩ khi đọc kết quả từ ảnh X-quang có thể bị tác động bởi các yếu tố: trạng thái tâm sinh lý (mức độ tập trung, tính chủ quan); kiến thức, kỹ năng, thái độ tiếp cận loại bệnh; chất lượng công cụ (màn hình, phần mềm xử lý…) và kinh nghiệm. Với AI, thế mạnh là luôn tập trung, có tính khách quan, độ chính xác cao khi được phát triển dựa trên sức mạnh của dữ liệu lớn.
“Trí tuệ nhân tạo có thể phát hiện những tổn thương nhỏ mà bác sĩ khó nhìn thấy, đồng thời cũng hỗ trợ cho các bác sĩ cung cấp thêm thông tin tham khảo hữu ích để từ đó đưa ra hướng chẩn đoán và chiến lược quản lý thích hợp.”, BS CKI. Phan Công Chiến - Khoa Chẩn đoán hình ảnh bệnh viện cho biết. Phần mềm DrAid của VinBrain là phần mềm AI cho X-quang ngực thẳng tiên phong ở Đông Nam Á đạt được chấp thuận của FDA (Cơ quan quản lý Thực phẩm và Dược phẩm Hoa Kỳ) về chất lượng, độ bảo mật và độ an toàn.
Từ những tiền đề trên, BV Đại học Y dược TP.HCM và VinBrain trong tương lai sẽ tiếp tục đẩy mạnh hơn nữa các sản phẩm AI, giải pháp tiên phong, hướng tới hoàn thiện hệ sinh thái Y tế số tại Việt Nam và thế giới.
Thế Định