Khi phụ nữ bước sang tuổi 30, cơ thể bắt đầu có những biến đổi về mặt nội tiết tố, do đó có thể dẫn đến nguy cơ của một số căn bệnh phức tạp.
Phụ nữ khi sang tuổi 30, không chỉ có những thay đổi về mặt tâm lý mà về sinh lý cơ thể cũng có những biến đổi không ngừng và đó là lí do ở độ tuổi này, phụ nữ thường rất dễ mắc một số bệnh phức tạp. Giai đoạn này, các chị em cần phải đặc biệt quan tâm đến vấn đề sức khỏe, nhất là phải có thói quen thường xuyên kiểm tra sức khỏe định kỳ để sớm có thể phát hiện những bệnh hiểm nghèo sau đây.

Ảnh: Internet
Đây là một trong những loại ung thư phổ biến nhất ở phụ nữ, đứng thứ 4 trong các loại ung thư mà phụ nữ thường gặp và hầu như có thể phòng ngừa được. Nghiên cứu khoa học cho thấy, phụ nữ có nguy cơ mắc ung thư cổ tử cung ở tuổi trung niên, phổ biến nhất là từ 35 đến 55 tuổi.
Virus HPV là nguyên nhân chính gây ra các ca ung thư cổ tử cung. Nhưng ung thư cổ tử cung còn có thể do nguyên nhân di truyền, béo phì, nghiện thuốc lá, quan hệ tình dục bừa bãi.
Theo khuyến cáo, phụ nữ trung niên nên làm xét nghiệm tầm soát ung thư cổ tử cung hay còn gọi là xét nghiệm PAP mỗi năm 1 lần. Nếu đang có vấn đề về viêm nhiễm phụ khoa như khí hư bất thường, viêm âm đạo, viêm lộ tuyến cổ tử cung… thì cần đi khám và chữa trị dứt điểm để bệnh không tiến triển nặng hơn. Bên cạnh đó, trong cuộc sống thường ngày, chị em nên giữ gìn vệ sinh vùng kín sạch sẽ, quan hệ tình dục lành mạnh, sử dụng các biện pháp tránh thai an toàn.
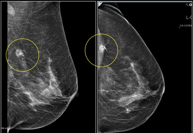
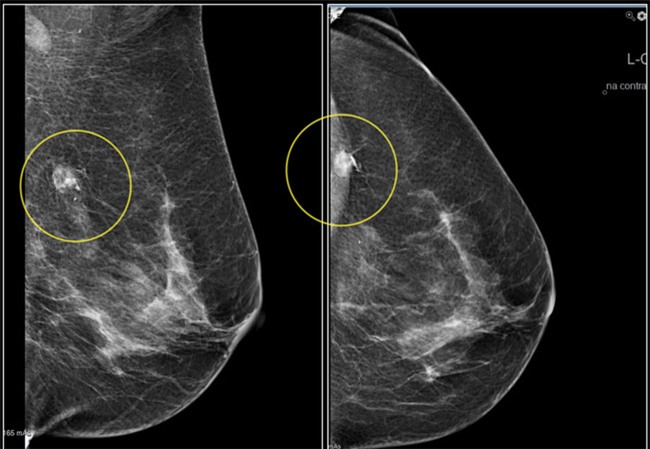
Khi bắt đầu bước sang tuổi 30, phụ nữ nhất định phải tập thói quen tự kiểm tra ngực hàng tháng. Cách đơn giản để phát hiện những bất thường là đứng trước gương tự sờ ngực và nằm ngửa sờ nắn ngực xem có những u cục lạ không. Nếu xuất hiện những cơn đau ngực bất thường, cần phải đi khám sớm để bác sĩ chẩn đoán kịp thời.

Ảnh: Internet
Nếu trong gia đình có chị em từng bị ung thư vú thì bạn nên cẩn thận đi xét nghiệm sớm. Phụ nữ sinh con muộn sau tuổi 30, người nghiện thuốc lá, uống rượu và bia cũng sẽ có nguy cơ mắc ung thư vú cao hơn.
Phụ nữ từ 40 tuổi trở lên là đối tượng dễ bị mắc bệnh ung thư vú cao gấp 3 lần so với những độ tuổi khác. Vì thế, phụ nữ cần chọn cho mình chế độ ăn uống, ngủ nghỉ, tập thể dục hợp lý và và nhất là phải thường xuyên khám ngực định kì.
Mỡ trong máu
Estrogen là nội tiết tố chủ yếu của cơ thể phụ nữ, nó ảnh hưởng rất lớn đến quá trình chuyển hóa lipid và các mạch máu. Nữ giới trong độ tuổi 15-45 thường có hàm lượng triglyceride thấp hơn so với nam giới. Nhưng khi họ bước vào độ tuổi trung niên, tức là giai đoạn mãn kinh thì lượng triglyceride và cholesterol xấu sẽ càng tăng cao hơn, từ đó gây ra rối loạn mỡ máu hay tăng cholesterol trong máu, dẫn đến cao huyết áp, nhồi máu cơ tim, tai biến mạch máu não, xơ vữa động mạch…
Độ tuổi trên 30, phụ nữ muốn phòng tránh mỡ trong máu cần tập cho mình lối sống lành mạnh, thường xuyên tập thể dục, chế độ ăn uống cân bằng, bổ sung thêm omega-3 và vitamin K2. Đồng thời, nên hạn chế ăn những đồ ăn nhanh như đồ chiên rán, đồ nướng, xào nấu, thay vào đó hãy ưu tiên sử dụng đồ luộc, hấp hoặc hầm sẽ tốt hơn.
Bệnh loãng xương

Ảnh: Internet
Phụ nữ dễ bị mất xương, loãng xương hơn nam giới, đặc biệt sau tuổi 30. Cần thực hiện kiểm tra 5 năm/lần bởi người phụ nữ bị mất 30% khối lượng xương của mình trong vòng 5 năm từ thời kỳ mãn kinh.
Những phụ nữ nhẹ cân có khối lượng xương thấp thì càng có nguy cơ cao. Nếu mật độ xương của bạn có vẻ thấp, bạn có thể cần làm thêm các xét nghiệm để đo tốc độ mất đi khối lượng xương. Phụ nữ ngoài 30 cần chú ý bổ sung canxi cùng với Vitamin D, kết hợp chế độ tập thể dục đều đặn để củng cố cho sức khỏe xương.
Những người mắc tiểu đường dễ có nguy cơ mắc đột quy hoặc đau tim cao gấp 5 lần so với người bình thường. Những rắc rối khác mà bệnh nhân tiểu đường có thể gặp phải là suy giảm thị lực, dễ bị tổn thương các mạch máu, dây thần kinh và các cơ quan nội tạng. Phụ nữ bị béo phì và mang thai cần thận trọng, nên thực hiện xét nghiệm sàng lọc bệnh tiểu đường định kỳ sau 30 tuổi để có thể kiểm soát kịp thời và tránh những biến chứng phức tạp khác khi mang thai.
Rối loạn tuyến giáp
Phụ nữ có khả năng bị các chứng rối loạn tuyến giáp cao hơn gấp 10 lần so với nam giới, đặc biệt là với phụ nữ trên 30 tuổi. Do đó, các bác sĩ khuyên rằng sau 30 tuổi, bạn nên thường xuyên thực hiện xét nghiệm máu để kiểm tra mức độ hormone kích thích tuyến giáp. Một khi tuyến giáp bị rối loạn, tức là hoạt động quá mạnh hay quá yếu, đều sẽ dẫn đến hàng loạt các vấn đề sức khỏe như mệt mỏi, kiệt sức, rối loạn giấc ngủ, chán nản, thay đổi vị giác, chán sex, hay lo lắng, hoạt động não kém, da khô, tim đập nhanh, móng tay và tóc yếu giòn và dễ gãy...
Theo Thời đại