Khi nghe con bảo bị té ngã, đập đầu xuống đất, cha mẹ bé chủ quan nghĩ rằng chỉ là một tai nạn bình thường nên đã không cho con đi đến bệnh viện. Kết quả, bé 5 tuổi suýt tử vong vì chấn thương sọ não.
Theo lời kể của cha mẹ bé T.H.N.T (sinh năm 2014, ngụ TP.HCM) vào tối ngày 23/9, bé T được chị của bé (9 tuổi) lấy xe đạp chở đi chơi. Khi về, bé T nói với mẹ là hai chị em bị ngã xe và bé bị đập đầu xuống đất ở phía sau gáy.
“Nghĩ rằng đây chỉ là một tai nạn bình thường nên gia đình không chở bé đi bệnh viện kiểm tra vì không thấy có chấn thương nghiêm trọng. Nhưng đến 4 giờ sáng hôm sau, tôi bé thấy bé T kêu đau đầu và bắt đầu ói mửa. Ngay sau đó, gia đình đã đưa em đi cấp cứu tại khoa Cấp Cứu – Bệnh viện quận Thủ Đức”, mẹ bé T nói.
Sau khi nhập viện kiểm tra và theo dõi, bé T được phát hiện bị máu tụ ngoài màng cứng hố sau bên phải. Ngay lúc này, bé được chỉ định can thiệp lấy máu tụ để giải ép do các bác sĩ khoa Ngoại Thần Kinh phối hợp với các bác sĩ hồi sức Nhi, bác sĩ gây mê tiến hành.

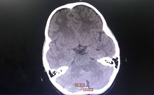
Hình ảnh máu tụ trong não bé trước phẫu thuật.
BS.CKI. Trương Long Vỹ - Trưởng khoa Ngoại Thần Kinh - phụ trách chính ca phẫu thuật chia sẻ: “Thông thường, máu tụ ngoài màng cứng hố sau rất nguy hiểm, cần phải được quyết định can thiệp nhanh chóng và kịp thời, tránh tình trạng gây chèn ép tụt não, ảnh hưởng đến tính mạng bệnh nhân. Đặc biệt ca phẫu thuật lần này trên bệnh nhân nhi 5 tuổi cần sự tỉ mỉ, chính xác và dụng cụ phải phù hợp. Nếu như bệnh nhân không được phát hiện sớm, mổ kịp thời thì bệnh nhân có thể rơi vào tình trạng nguy hiểm. Cuộc phẫu thuật kéo dài trong 1 giờ và theo dõi sau mổ bệnh nhân đã hồi phục.”
Sau phẫu thuật một ngày bé T đã được chỉ định chụp CT lại để kiểm tra, đánh giá. Bé tỉnh, da hồng hào, vết mổ khô. Bé nằm tại khoa Ngoại Thần kinh khoảng mười ngày sau khi mổ để được theo dõi. Hiện tại, bé T đã được cắt chỉ và xuất viện về nhà.
Theo các chuyên gia, trường hợp của bé T là lời nhắc nhở cho các bậc cha mẹ. Chấn thương sọ não là nguyên nhân gây tử vong cao, để lại nhiều di chứng nặng nề cho người bệnh. Nhất là chấn thương sọ não ở trẻ em luôn là mối nguy hiểm tiềm tàng, bởi đây là lứa tuổi hiếu động, thích nô đùa chạy nhảy, dễ bị vấp ngã và hầu hết chưa có kiến thức nhiều về sự nguy hiểm từ chấn thương sọ não gây ra.
Theo nghiên cứu tại Bệnh viện Nhi Đồng 2 cho biết chấn thương sọ não ở trẻ thường do tai nạn trong sinh hoạt hoặc giao thông. Trong số các ca chấn thương sọ não ở trẻ em có 84,5% trẻ > 2 tuổi, tỷ lệ nam/nữ là 1,5/1 và tai nạn giao thông là nguyên nhân chính gây ra chấn thương sọ não ở trẻ.

Sau ca phẫu thuật, bé T đã ổn định sức khỏe và được xuất viện.
Ngoài ra, các nguyên nhân chấn thương sọ não ở trẻ em thường thay đồi theo lứa tuổi: đa số chấn thương sọ não ở trẻ dưới 14 tuổi liên quan đến ngã, trẻ sơ sinh nguyên nhân chấn thương do các can thiệp khi đẻ; trẻ nhỏ hơn 4 tuổi thường do nguyên nhân ngã (từ võng, giường, nôi…); trẻ từ 4-8 tuổi thường do ngã và tai nạn xe cộ hoặc những tai nạn liên quan đến đi lại (như xe đạp, ngồi sau xe máy bị ngã…), nguyên nhân bạo hành ở trẻ em (bị đánh đập ở nhà hoặc ở lớp…).
Chấn thương sọ não sẽ có các mức độ chấn thương khác nhau, tuỳ theo lực va đập mạnh hay nhẹ mà phân chia thành các hình thức chấn thương sọ não sau đây:
- Chấn động não: Đây là mức độ nhẹ nhất, bệnh nhân chỉ bị chấn động não do lực va đập nhẹ và có thể hồi phục hoàn toàn sau một thời gian ngắn.
- Nứt sọ: Đây là tình trạng đầu bị va đập tương đối mạch làm nứt phần xương sọ.

Tụ máu não là tình trạng va đập rất mạnh làm tổn thương và đứt các mạch máu bên trong họp sọ và não gây chảy máu tạo máu tụ. Tình trạng này bắt buộc phải phẫu thuật lấy máu tụ kịp thời nếu chậm người bệnh sẽ tử vong.
- Dập não: Là tình trạng va đập mạnh hơn gây tổn thương nặng nề đến tổ chức não bên trong hộp sọ.
- Tụ máu các loại: Là tình trạng va đập rất mạnh làm tổn thương và đứt các mạch máu bên trong họp sọ và não gây chảy máu tạo máu tụ. Tình trạng này bắt buộc phải phẫu thuật lấy máu tụ kịp thời nếu chậm người bệnh sẽ tử vong.
Trong trường hợp bị trẻ bị chấn thương đầu, nếu có một trong những dấu hiệu kể sau, các bậc cha mẹ cần đưa trẻ đến bệnh viện ngay:
- Ngay sau ngã, trẻ bất tỉnh hơn 1 phút.
- Sau chấn thương, trẻ thường quấy khóc, đôi khi vật vã hoặc lừ đừ, rên rỉ và bỏ bú.
- Nhiều trẻ ngay sau khi ngã vẫn tỉnh táo nhưng sau đó một thời gian lại xuất hiện những dấu hiệu tri giác bất thường như ngủ nhiều, lơ mơ, tiếp xúc kém hoặc bất tỉnh hoàn toàn.
- Trẻ có thể buồn nôn hay nôn trên 5 lần trong một thời gian ngắn hoặc nôn kéo dài hơn 6 giờ sau khi ngã (mà trước đó trẻ bình thường), kể cả không ăn uống gì.
- Thóp của trẻ sau một thời gian chấn thương bị phồng, căng lên, kèm theo vẻ mặt xanh xao và than đau đầu.
- Trẻ bị chấn thương nhiều nơi, có máu chảy nhiều.
- Trong một số trường hợp, lỗ tai hay lỗ mũi trẻ có thể bị chảy máu hoặc chảy dịch trong vài giờ hay vài ngày sau tai nạn.
Theo Khám Phá
