Sáng ngày 21/2, ThS.BS Nguyễn Công Hựu - Trung tâm tim mạch - Bệnh viện E cho biết, cơ sở vừa tiến hành phẫu thuật cắt bỏ thành công khối u lồng ngực nặng đến 700gram, cứu sống một nam sinh viên.

Hoảng hốt khi phát hiện khối u lớn trong lồng ngực
Khai thác nhanh bệnh sử, người nhà cho biết, thời gian gần đây, bệnh nhân có biểu hiện đau ngực, khó thở, thở gắng sức khi đi cầu thang. Đến khi đến viện khám, các bác sĩ phát hiện khối u có kích thước lớn trong lồng ngực chèn ép tim, đường thở và mạch máu.
ThS.BS Hựu cho biết: "U tế bào mầm thường xuất phát từ mô tuyến sinh dục. Những trường hợp ngoài tuyến sinh dục thì vị trí phổ biến nhất là ở trung thất trước của lồng ngực. Khối u phát triển lan tỏa chèn ép, xâm lấn và các cơ quan lân cận: phổi, màng tim, khí quản, mạch máu lớn trong ngực…".
Vì chèn ép, xâm lấn nên khối u gây ra các triệu chứng đau ngực, khó thở. Tuy nhiên biểu hiện ho ra máu như bệnh nhân này hiếm gặp hơn. Thậm chí, một số bệnh nhân không có biểu hiện đặc biệt, chỉ là cảm giác mệt khi đi cầu thang, tình cờ phát hiện khi đi khám sức khỏe.
Theo GS.TS Lê Ngọc Thành, Giám đốc Bệnh viện E, sau khi tiến hành làm các thủ tục chụp chiếu, xét nghiệm bệnh nhân được chẩn đoán u tế bào mầm trung thất ác tính.
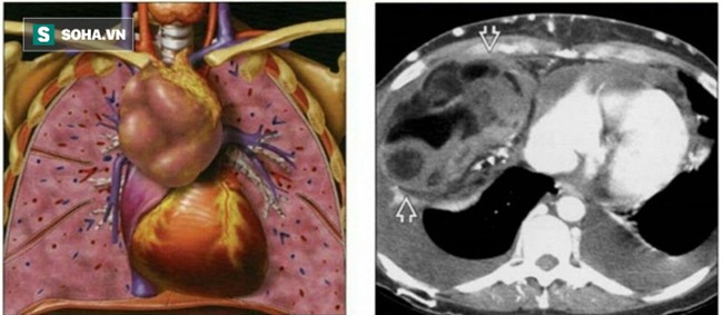
Phát hiện khối u chiếm toàn bộ khoang lồng ngực trái, kéo dài từ nền cổ tới gần sát cơ hoành, đè đẩy tim và các mạch máu lớn, mật độ chắc, phát triển lan tỏa ra xung quanh vào khoang màng phổi 2 bên, chèn ép đẩy lệch khí quản, tim , phổi và mạch máu, u bọc quanh các dây thần kinh.
Căng não phẫu thuật loại bỏ khối u
Bệnh u tế bào mầm trung thất ác tính gặp nhiều ở nam hơn nữ giới. Điều trị loại u này phải kết hợp nhiều phương pháp: hóa trị, xạ trị và phẫu thuật.

Bệnh u tế bào mầm trung thất ác tính gặp nhiều ở nam hơn nữ giới.
Vì thế, với bệnh nhân này, khối u với kích thước quá lớn và có thể gây nguy hiểm đến tính mạng của bệnh nhân, vì vậy các bác sĩ Khoa tim mạch trước khi tiến hành phẫu thuật các bác sĩ cũng đã tiến hành hóa trị để thu nhỏ bớt khối u.
Khi khối u được thu nhỏ bớt, ca phẫu thuật được thực hiện, ca mổ được lên kế hoạch và chuẩn bị rất kỹ các phương án, biến cố nặng và dự trù đủ lượng máu mất đi. Bệnh nhân được phẫu thuật cưa mở toàn bộ xương ức, mở rộng lồng ngực.
Việc phẫu thuật lấy u trong những trường hợp này thường rất khó khăn, đòi hỏi sự kiên nhẫn, tinh tế khéo léo và nắm bắt thật rõ về cấu trúc giải phẫu vì đây là vị trí cửa ngõ sống còn của cơ thể: đường thở, đường ăn, mạch máu chính, tim phổi, dây thần kinh.
Khối u bọc quanh các thành phần này. Phẫu thuật viên phải khéo léo bóc tách u, chỉ cần phạm phải một trong các thành phần trên sẽ đe dọa đến tính mạng và ảnh hưởng đến chức năng sống.
Sau cuộc phẫu thuật kéo dài gần 4 giờ, ca phẫu thuật thành công lấy được toàn bộ khối u (nặng 700gr) và các tổ chức thâm nhiễm xung quanh. Hiện tại, bệnh nhân đã tỉnh táo, tự thở sau 6h hậu phẫu, ra bệnh phòng ngày đầu sau mổ.
"Dù trong cuộc đời đã 30 năm cầm dao mổ, chúng tôi đã phẫu thuật rất nhiều loại u này nhưng đây là một trường hợp may mắn cho người bệnh bởi khối u kích thước khá lớn, nhưng qua phẫu thuật đã lấy được toàn bộ nguyên khối u và lấy bỏ được rộng rãi các tổ chức thâm nhiễm xung quanh mà vẫn bảo tồn được nguyên vẹn các cấu trúc thần kinh mạch máu", PGS Thành chia sẻ.
May mắn nữa, đó là khối u chưa xâm lấn phá hủy các cấu trúc đó. Nhiều trường hợp chỉ lấy được một phần u để giải phóng chèn ép. Những trường hợp u xâm lấn vào mạch máu có thể phải cắt nối bằng mạch nhân tạo thay thế, chuẩn bị sẵn máy tim phổi nhân tạo trong trường hợp cần thiết.
BS khuyến cáo, khi thấy dấu hiệu bất thường như ho, tức ngực, khó thở cần được đi khám sớm để được chẩn đoán và điều trị kịp thời.
Theo Trí thức trẻ