Chủ đề

sâu răng

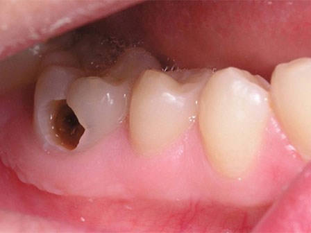
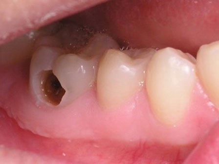
Sâu răng

Tìm thấy 1 thực phẩm ngừa sâu và làm trắng răng an toàn, hiệu quả hơn cả kem thông thường

Các nha sĩ khuyên mọi người nên sử dụng 1 loại thực phẩm thay thế cho các loại kem đánh răng thông thường nhờ đặc tính kháng khuẩn, bảo vệ khoang miệng và an toàn cho sức khỏe.

Chỉ với 1 cốc nước gừng nóng: 10 chứng bệnh từ đầu đến chân sẽ ‘’tiêu tan’’ nhanh chóng

Gừng là món gia vị có sẵn trong bếp của mỗi gia đình. Nhưng nhiều khi nó sẽ bị khô đi vì bạn chưa biết hết cách sử dụng chúng. Đây là 10 giải pháp chữa bệnh bạn đừng nên bỏ qua.

Tránh xa những loại thực phẩm này nếu không muốn rụng răng, hôi miệng

Có nhiều loại thực phẩm bạn vẫn sử dụng hằng ngày mà không biết rằng đó là nguyên nhân của nhiều vấn đề về răng nếu ăn quá nhiều.

4 dấu hiệu ở miệng cảnh báo bệnh nguy hiểm

Những triệu chứng từ miệng như sâu răng hay chảy máu nướu răng đôi khi cũng là dấu hiệu cảnh báo một vấn đề cơ bản liên quan đến sức khỏe.

Không ai ngờ sâu răng cũng có thể gây chết người

Sâu răng là bệnh không quá xa lạ với mọi người, nhưng bởi sâu răng mà tử vong thì không phải ai cũng biết.

Đun quả này lấy nước ngậm trong miệng, đau nhức do sâu răng, viêm nướu sẽ vĩnh viễn ra đi

Đặc trị đau nhức do sâu răng, viêm nướu, nhiệt miệng mà chẳng tốn 1 đồng mua thuốc kháng sinh nếu áp dụng theo công thức sau.

Thấy răng chớm có chấm sâu, đắp liền thứ này vào sẽ khỏi ngay, răng lại còn trắng ra

Đừng để tình trạng sâu răng trở nặng rồi mới vội vã đi chữa thì vừa đau lại vừa tốn kém bạn nhé!

Chỉ vì một cái răng sâu mà tử vong, đừng chủ quan trong điều trị

Khi bị sâu răng, rất nhiều người chủ quan không thăm khám cẩn thận, dẫn đến bị áp xe sàn miệng, thành bên hầu… Nếu không được điều trị kịp thời sẽ dẫn đến tử vong.

Những phương thuốc tự nhiên này sẽ giúp bạn chữa sâu răng hiệu quả ngay tại nhà

Sử dụng nước muối, dầu dừa, bột nghệ, tinh dầu đinh hương... sẽ giúp bạn giảm sâu răng trông thấy mà không cần tốn quá nhiều công sức.

Những nguyên nhân gây chảy máu răng bạn nhất định không được chủ quan

Chảy máu răng có thể chỉ là viêm lợi nhưng đó còn là dấu hiệu cảnh báo những vấn đề nghiêm trọng hơn đang diễn ra trong cơ thể bạn.

Chớ coi thường cơn đau răng, đã có người chết trong đau đớn chỉ vì 1 cái răng sâu

Một người đàn ông đến bệnh viện khám răng đã chết trong đau đớn vì chữa trị quá muộn màng.

Trẻ "thối" hết cả hàm răng vì uống nhiều nước ngọt có ga

Bác sĩ không khỏi giật mình khi bé Quân há miệng để kiểm tra. Hàm răng của cậu không khác bị "bộ nhai" của một ông già. Nguyên nhân là do một thức uống rất phổ biến hiện nay.

Ai cũng nên kiểm tra răng miệng theo cách đơn giản nhưng chính xác này

Thay vì để răng thương tổn trầm trọng rồi hốt hoảng đến gặp nha sĩ, chị em có thể kiểm tra sức khỏe răng miệng sơ bộ cho cả gia đình bằng cách… ăn đồ lạnh như kem.

Hơi thở có mùi cảnh báo vấn đề sức khỏe gì?

Ngoài việc vệ sinh răng miệng kém, hơi thở có mùi còn là dấu hiệu cảnh báo nhiều vấn đề sức khỏe như mất nước...