Phát hiện khối u khổng lồ sau những cơn đau bụng
Ths.Bs Phạm Thị Diệu Hà – Phó khoa Ngoại phụ khoa (Bệnh viện K cơ sở Tân Triều) cho biết, khoa vừa phẫu thuật thành công cho bệnh nhân Nguyễn Thị P. (54 tuổi, quê Hải Phòng) mang trong mình một khối u cổ tử cung khổng lồ nặng 7kg.
Khối u trong mổ
Theo BS Hà, khối u khổng lồ này chèn ép vào ổ bụng, gây suy thận, tắc ruột nếu không phẫu thuật kịp thời bệnh nhân thì nguy cơ tử vong rất lớn.
Bệnh nhân P. nhập viện trong tình trạng mệt mỏi, đau hạ vị và bụng căng to.
Qua khai thác bệnh sử, các bác sĩ Khoa Ngoại Phụ khoa cho biết, bệnh nhân có triệu chứng đau bụng kéo dài 6 tháng, nhưng do chủ quan nên không đi thăm khám sức khỏe định kì.
Tuy nhiên 1 tháng trở lại đây, gia đình phát hiện bụng bệnh nhân ngày càng to ra kèm theo dấu hiệu mệt mỏi, ăn uống kém thấy đau tức bụng, chướng bụng nhiều hơn, sờ rõ khối u kích thước lớn nổi gồ, đẩy lệch hẳn về bên phải thành bụng, đại tiện khó khăn nên gia đình đưa bệnh nhân vào viện.
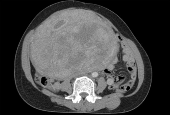
Qua kiểm tra, các bác sĩ phát hiện trong ổ bụng bệnh nhân có khối u lớn.
Phim chụp khối u
Tiên lượng đây là một ca bệnh khó vì khối u rất lớn, chèn ép nhiều cơ quan, cộng thêm thách thức là bệnh nhân bị suy thận, nếu không phẫu thuật kịp thời, nguy cơ bệnh nhân tử vong rất cao. Không còn thời gian chờ đợi, các bác sĩ quyết tâm tiến hành phẫu thuật.
BS Hà chia sẻ, do khối u kích thước lớn làm biến đổi giải phẫu các cấu trúc trong tiểu khung như niệu quản, trực tràng, động mạch chậu 2 bên, mặt khác u lại giàu mạch máu nuôi dưỡng nên nguy cơ chảy máu rất cao nên gây nhiều khó khăn trong việc phẫu thuật.
Sau nhiều giờ phẫu thuật, các bác sĩ đã bóc tách thành công khối u ra khỏi cơ thể bệnh nhân P.. Được biết, khối u sau khi được lấy ra có trong lượng 7kg. Hiện bệnh nhân dần ổn định và tiếp tục được điều trị phục hồi sau mổ.
Phụ nữ cần đi khám phụ khoa định kỳ
Ths.BS Phạm Thị Diệu Hà cho biết, u xơ cổ tử cung là bệnh có thể gặp ở bất cứ phụ nữ nào, thường là lành tính.
Tuy nhiên nếu không được phát hiện và xử trí kịp thời, bệnh nhân vẫn có thể phải đối mặt với những nguy hiểm của u cổ tử cung khi vỡ vào trong ổ bụng, hay u to gây chèn ép các cơ quan, bộ phận bên trong.
Do vậy, nếu phát hiện u cổ tử cung thì chị em phụ nữ cần phải đi khám ngay để được chỉ định điều trị hay phẫu thuật sớm để tránh biến chứng và xác định chính xác bản chất khối u là lành tính hay ung thư.
Theo BS Hà, việc chẩn đoán u cổ tử cung hiện nay không quá khó qua khám lâm sàng và sự trợ giúp của siêu âm, vì vậy chị em phụ nữ cần có ý thức tuân thủ việc thăm khám sức khỏe định kỳ, nhất là khi thấy các bất thường.
Bác sĩ Diệu Hà khuyến cáo, chị em phụ nữ nên đi khám phụ khoa và siêu âm ít nhất 1 lần/năm. Đặc biệt là những phụ nữ ở độ tuổi sinh đẻ, nếu có những dấu hiệu bất thường ở ổ bụng (bụng dưới) như bụng to lên nhanh, đau bụng vùng hạ vị, rối loạn kinh nguyệt…, cần đi khám ngay để loại trừ các u cổ tử cung, u nang buồng trứng…
Bởi khi phát hiện sớm, các bác sĩ sẽ có tư vấn cần thiết và chỉ định can thiệp sớm cho bệnh nhân, tránh tình trạng để u quá to, ảnh hưởng tới sức khỏe mới đi thăm khám.
Theo Trí thức trẻ


